Tailor-made Antibodies
and Tools for Life Science
Home | | | | | Technical Support

Neuropeptides

 

Overview

Introduction

Neuropeptides are the largest and most diverse class of signaling molecules in the brain. They can act as neurotransmitters directly, as modulators of ongoing neurotransmissions by other transmitters, as autocrine or paracrine regulators in a close cellular environment, and as hormones in the long term (Burbach, 2011).

Synthesis and processing

Neuropeptides are synthesized and/or used by neurons (Kastin, 2000, Russo, 2017). They are initially synthesized as part of large, inactive precursor proteins called prepropeptides (Figure 1). The prepropeptide contains an N-terminal signal peptide that is required for entry of the newly synthesized gene product into the ER lumen. The signal sequence is cleaved off during passage across the ER membrane, creating the propeptide in the ER-Golgi for further sorting into the regulated secretory pathway (Burbach, 2011). To release the bioactive neuropeptide, the propeptide is further cleaved by endopeptidases and exopeptidases and is posttranslationally modified, e.g., by glycosylation, phosphorylation, sulfation, acetylation, addition of oligosaccharides, and N-terminal pyroglutamate formation (Hook, 2008, Sun and Zhao, 2017, Mains and Eipper, 1999). The most common modification is C-terminal amidation (Eipper, 1992). About half of the known bioactive peptides are α-amidated (Figure 1) (Mains and Eipper, 1999).

Neuropeptide processing

Figure 1: Neuropeptide processing. Neuropeptides are synthesized as part of large, inactive precursor proteins, the prepropeptides. Several proteolytic cleavage steps and posttranslational modifications result in the bioactive peptides.

 

Endoproteolytic cleavage and posttranslational modification occur both in the trans-Golgi network and in dense core vesicles in which the peptides are packaged. Dense core vesicles are transported throughout the neuron and can release peptides at the synaptic cleft, in the cell body, and along the axon (Mains and Eipper, 1999, Russo, 2017) (Figure 2).

Neuropeptide activation and release

Figure 2: Neuropeptide activation and release. Neuropeptides are initially synthesized in the endoplasmic reticulum, cleaved and posttranslationally modified in the trans-Golgi network and in dense core vesicles in which the peptides are packaged. Neuropeptides are transported in dense core vesicles along the axon, are released upon Ca2+ influx and distributed by diffusion. 

 

Neuropeptide release, dispersion, and inactivation

Neuropeptides are often co-released with other neuropeptides and neurotransmitters in a single neuron, resulting in a variety of effects (Hökfelt et al., 2003, van den Pol, 2012).  At synapses, dense core vesicles colocalize with synaptic vesicles containing classic neurotransmitters such as glutamate (Russo, 2017).  Although dense core vesicles and synaptic vesicles are often co-released, they use different mechanisms. Like neurotransmitters, neuropeptides are released by calcium-dependent exocytosis in response to depolarization or other signals (Russo, 2017). However, neuropeptides from dense core vesicles are released at lower concentrations of cytosolic [Ca2+] than neurotransmitters from synaptic vesicles. The release of conventional neurotransmitters is thought to occur very close to the site of Ca2+ entry, whereas neuropeptides are usually released some distance from the site of Ca2+ entry. Thus, the location of dense core vesicles relative to the site of Ca2+ influx may determine the amount of Ca2+ required for secretion (Mains and Eipper, 1999).

In contrast to classical neurotransmitters, neuropeptides diffuse from their site of release and can therefore act over a relatively large distance (nm to mm) (Figure 2). This diffusion-driven distribution is referred to as volume transmission or dispersion (van den Pol, 2012, Russo, 2017). 

Since there are no reuptake machineries for peptides, they are only slowly removed from the extracellular space. In contrast, classical neurotransmitters are rapidly removed from the synaptic cleft by specialized transporters. The combination of volume transmission and lack of reuptake contributes to the relatively long-lasting effects of neuropeptides (Russo, 2017).

Compared to neurotransmitters, neuropeptides are long-lived, but their effect is terminated. Inactivation occurs by extracellular proteases, which in some cases can even generate new bioactive peptides by cleaving existing neuropeptides. (Russo, 2017).

Receptor activation

All neuropeptides act as signal transducers via cell surface receptors. Almost all neuropeptides act on G protein-coupled receptors that trigger second messenger cascades to modulate cell activity (Hökfelt et al., 2003, Russo, 2017). Like peptide ligands, receptors are widely distributed not only in the nervous system but also in many other tissues (Hökfelt et al., 2003).

Neuropeptide receptors have relatively high ligand affinities (nanomolar Kds) compared to neurotransmitter receptors (micromolar Kds). In this way, a small amount of diffused peptide can still activate receptors. This fact and their long lifespan allow neuropeptides to be active at relatively low concentrations over relatively long distances (Russo, 2017).

Differential expression and processing diversity

The individual neuropeptide gene often exhibits multiple phenotypes due to alternative splicing, tandem organization, or cell-specific differentiated posttranslational processing of the propeptide (Albrechtsen and Rehfeld, 2021). 

Alternative splicing was discovered when it was shown that the calcitonin gene generates mRNAs encoding either calcitonin peptides or calcitonin gene-related peptides (CGRPs) (Amara et al., 1982). 

For some neuropeptides, the propeptide is differentially processed to produce mature peptides of different lengths that are released with the same epitope for receptor binding (Figure 3A) (Rehfeld et al., 2008). Although the different products of the same precursor are bound to the same receptor, their varying clearances from circulation influence their effects. Thus, it is of relevance whether proCCK is mainly processed to CCK-33, CCK-12, or to CCK-8, or whether prosomatostatin is processed to somatostatin-28 or somatostatin-14 (Albrechtsen and Rehfeld, 2021).
 

Differential processing of neuropeptides

Figure 3: Differential processing of neuropeptides.
A: For some neuropeptides, differential processing of the propeptide results in mature peptides of different lengths that nevertheless share the same epitope for receptor binding.
B: In some cases, the propeptide contains different neuropeptides that can be differentially processed in diverse tissues.

 

Another way in which a gene can express different bioactive peptides occurs when the gene itself encodes a propeptide that contains different neuropeptides (Figure 3B), for example the opioid peptide genes and some of the tachykinin genes. These various neuropeptides present in the same propeptide can be differentially processed in diverse tissues (Albrechtsen and Rehfeld, 2021).

Peptide functions

Neuropeptides act in a variety of target tissues. Their action can be local or at a distance. As a result, almost all body functions can be modulated (Russo, 2017).

Many neuropeptides with similar structures have very different functions. Vasopressin and oxytocin, for example, are two hypothalamic peptides, each consisting of nine amino acids (see Figure 4A and 4B for IHC staining in brain sections). These two peptides are identical in seven of these residues and are thought to be the result of gene duplication early in evolution. The actions of the two peptides are distinct: oxytocin causes milk letdown and uterine contraction, while vasopressin causes water retention in the kidney and blood vessel contraction (Mains and Eipper, 1999).
 

Indirect immunostaining of PFA fixed rat hypothalamus section with guinea pig anti-Vasopressin antibody
Indirect immunostaining of PFA fixed mouse hypothalamus section with guinea pig anti-Oxytocin antibody

Figure 4A: Indirect immunostaining of PFA fixed rat hypothalamus section with guinea pig anti-Vasopressin antibody (cat. no. 403 004, dilution 1:500, red). Nuclei have been visualized by DAPI staining (blue).

Figure 4B: Indirect immunostaining of PFA fixed mouse hypothalamus section with guinea pig anti-Oxytocin antibody (cat. no. 408 004, dilution 1:500, red). Nuclei have been visualized by DAPI staining (blue).

 

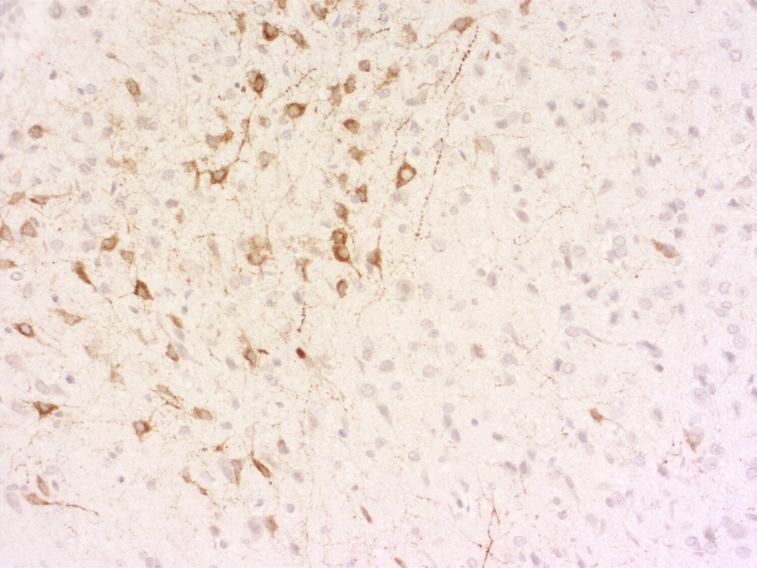
Neuropeptides have always been of interest in pain transmission. Studies in transgenic mice have shown that mice lacking either substance P or its receptors do not respond to moderate or severe pain (Hökfelt et al., 2003). Another peptide, calcitonin gene-related peptide (CGRP), plays an important role in the pathophysiology of migraine (see Figure 5A and 5B for staining of spinal cord sections) (Edvinsson et al., 2018, Russo, 2015).

Indirect immunostaining of PFA fixed rat spinal cord section with guinea pig anti-Substance P antibody
Indirect immunostaining of PFA fixed paraffin embedded rat spinal cord section with guinea pig anti-CGRP antibody

Figure 5A: Indirect immunostaining of PFA fixed rat spinal cord section with guinea pig anti-Substance P antibody (cat. no. 459 005, dilution 1:500, red). Nuclei have been visualized by DAPI staining (blue).

Figure 5B: Indirect immunostaining of PFA fixed paraffin embedded rat spinal cord section with guinea pig anti-CGRP antibody (cat. no. 414 004, dilution 1:1000, DAB). Nuclei have been counterstained with haematoxylin (blue).

 

CNS control of food intake is another ongoing research topic. Neuropeptide Y stimulates carbohydrate intake, and galanin stimulates fat intake (see Figure 6A and 6B for IHC staining in brain sections). Agouti related peptide and orexin have also stimulatory effects. Other neuropeptides, such as the melanocortins and cocaine-and-amphetamine-regulated transcript, inhibit food intake (Hökfelt et al., 2003). 

Indirect immunostaining of PFA fixed mouse striatum section with chicken anti-Neuropeptide Y antibody
ndirect immunostaining of PFA fixed mouse hypothalamus section with guinea pig anti-Galanin antibody

Figure 6A: Indirect immunostaining of PFA fixed mouse striatum section with chicken anti-Neuropeptide Y antibody (cat. no. 394 006, dilution 1:500, red). Nuclei have been visualized by DAPI staining (blue). Antigen retrieval (10mM Tris, 1mM EDTA, pH 9.0, overnight at 60°C) has been applied before staining.

Figure 6B: Indirect immunostaining of PFA fixed paraffin embedded mouse hypothalamus section with guinea pig anti-Galanin antibody (cat. no. 446 004, dilution 1 : 1000, DAB). Nuclei have been counterstained with haematoxylin (blue).

 

In summary, the various functions of neuropeptides are as diverse as this group of signalling molecules itself. A selection of neuropeptides and some of their functions are listed in the table below:

Neuropeptide Function
ACTH Stimulation of cortisol production and release (Gallo-Payet, 2016).
AGRP Stimulation of appetite and regulation of metabolism and energy expenditure (Ilnytska and Argyropoulos, 2008).
CART Regulates feeding, reward and stress and acts as a psychostimulant (Rogge et al., 2008).
CCK-8 Functions in digestion, food intake, anxiety, and fear (Lee and Soltesz, 2011).
CGRP Functions as a vasodilator and in the transmission of nociception (Benarroch, 2011).
CRF Stimulation of ACTH production. Determines the length of gestation and the timing of parturition (Vitoratos et al., 2006).
Galanin Involved in regulation of feeding, osmotic homeostasis, nociception, arousal/sleep, and cognition (Lang et al., 2015).
Neuropeptide S Involved in regulation of arousal, anxiety and fear, food intake, learning and memory (Grund and Neumann, 2019).
Neuropeptide Y Functions in food intake, energy storage, reduction of stress, anxiety and pain perception, blood pressure regulation (Reichmann and Holzer, 2016).
Neurotensin Regulation of dopamine pathways, pain, body temperature, appetite, fat metabolism, and learning and memory (Saiyasit et al., 2018).
Orexin Regulation of feeding, sleep, arousal, and energy homeostasis (Nixon et al., 2015).
Oxytocin Stimulates smooth muscle contraction during parturition and lactation, has a function in social bonding and reproduction (Lee et al., 2009).
Somatostatin Negative regulator of endocrine hormone secretion (Gehete et al., 2010).
Substance P Intestinal smooth muscle contraction, vasodilation, central pain processing, neurogenic inflammation, anxiety and stress (Schank and Heilig, 2017).
Vasopressin Regulation of water homeostasis, blood pressure, and social behaviour (Caldwell et al., 2008).
VIP Stimulates heart contraction, vasodilation, regulates blood pressure and relaxes smooth muscles in trachea, stomach and gallbladder (Iwasaki et al., 2019).

 

Disease and drug development

The large number of neuropeptides and neuropeptide receptors provides many opportunities for drug target discovery. 

The orexin neurons are located exclusively in the lateral hypothalamus and innervate widespread areas of the brain (see Figure 7A and 7B for IHC pictures). Several pharmaceutical companies are targeting these systems for the development of drugs to treat obesity (Hökfelt et al., 2003).  
 

Indirect immunostaining of PFA fixed mouse hypothalamus section with guinea pig anti-Orexin A antibody
Indirect immunostaining of PFA fixed mouse hypothalamus section with guinea pig anti-Orexin A/B antibody

Figure 7A: Indirect immunostaining of PFA fixed mouse hypothalamus section with guinea pig anti-Orexin A antibody (cat. no. 389 004, dilution 1:500, red). Nuclei have been visualized by DAPI staining (blue).

Figure 7B: Indirect immunostaining of PFA fixed mouse hypothalamus section with guinea pig anti-Orexin A/B antibody (cat. no. 389 104, dilution 1:500, red). Nuclei have been visualized by DAPI staining (blue).

 

Seventy years after the discovery of substance P, the first peptide drug, a substance P antagonist, was clinically tested for the treatment of depression. The slow progress in peptide research was partly due to difficulties in synthesizing selective and potent blood brain barrier-penetrating agonists or antagonists (Hökfelt et al., 2003).

Recently, monoclonal antibodies against CGRP and its receptor have been introduced as novel treatments for migraine. They are currently the state of the art in migraine prevention by blocking CGRP signaling (Sevivas and Fresco, 2022, Vandervorst et al., 2021).

Antibodies targeting neuropeptides

In general, we aim to develop antibodies against the active peptides and use processed peptides or terminal portions of cleaved active peptides, including known modifications, for immunization. Our antibodies show excellent performance in immunohistochemistry (IHC and IHC-P, as exemplified in Figure 8A and 8B) or immunocytochemistry (ICC, Figure 8C and 8D) and can serve as valuable experimental reagents for your research!
 

Indirect immunostaining of PFA fixed rat hypothalamus section with guinea pig anti-ACTH antibody
Indirect immunostaining of PFA fixed paraffin embedded rat hypothalamus section with guinea pig anti-Somatostatin-28 antibody

Figure 8A: Indirect immunostaining of PFA fixed rat hypothalamus section with guinea pig anti-ACTH antibody (cat. no. 452 005, dilution 1:500, red) and chicken anti-Neuropeptide Y antibody (cat. no. 394 006, dilution 1:500, green). Nuclei have been visualized by DAPI staining (blue).

Figure 8B: Indirect immunostaining of PFA fixed paraffin embedded rat hypothalamus section with guinea pig anti-Somatostatin-28 antibody (cat. no. 366 004, dilution 1:500, DAB). Nuclei have been visualized by haematoxylin staining (blue).

Indirect immunostaining of PFA fixed rat hippocampus neurons with guinea pig anti-CCK-8 antibody
Indirect immunostaining of PFA fixed rat hippocampus neurons with guinea pig anti-VIP

Figure 8C: Indirect immunostaining of PFA fixed rat hippocampus neurons with guinea pig anti-CCK-8 antibody (cat. no. 438 004, dilution 1:500, red) and rabbit anti-MAP 2 antibody (cat. no. 188 002, dilution 1:1000, green). Nuclei have been visualized by DAPI staining (blue). 

Figure 8D: Indirect immunostaining of PFA fixed rat hippocampus neurons with guinea pig anti-VIP antibody (cat. no. 443 005, dilution 1:100, red) and rabbit anti-MAP 2 antibody (cat. no. 188 002, dilution 1:1000, green). Nuclei have been visualized by DAPI staining (blue).

 

Products Neuropeptides and Peptide Hormones

Dear Customer,
thank you for your interest in our products. Our high-quality antibodies are featured in the DNA-PAINT Neuro-Imaging Kits, which are developed and distributed by Massive Photonics GmbH.

To ensure your request is handled efficiently, please use the provided input form to contact Massive Photonics directly.

With kind regards,
Your SYSY Antibodies Team


Cat. No. Product Description Application Quantity Price Cart
452 005ACTH, Guinea pig, polyclonal, affinity purifiedaffinity IHC IHC-P 50 µg$465.00
438 004CCK-8, Guinea pig, polyclonal, antiserumantiserumICC IHC IHC-P 100 µl$375.00
414 004CGRP, Guinea pig, polyclonal, antiserumantiserumICC IHC IHC-P iDISCO Clarity 100 µl$370.00
259 002Chromogranin A, rabbit, polyclonal, antiserumantiserumWB 200 µl$360.00
259 003Chromogranin A, rabbit, polyclonal, affinity purifiedaffinity K.O.WB ICC IHC IHC-P 50 µg$460.00
259-0PChromogranin A, control proteincontrol protein100 µg$110.00
259 103Chromogranin B, rabbit, polyclonal, affinity purifiedaffinity K.O.WB ICC IHC IHC-P 50 µg$380.00
259-1PChromogranin B, control proteincontrol protein100 µg$110.00
529 004CRF, Guinea pig, polyclonal, antiserumantiserumICC IHC 100 µl$370.00
446 004Galanin, Guinea pig, polyclonal, antiserumantiserumICC IHC IHC-P 100 µl$370.00
468 003Ghrelin, rabbit, polyclonal, affinity purifiedaffinity IHC IHC-P 50 µg$380.00
460 003GIP, rabbit, polyclonal, affinity purifiedaffinity
discontinued, replacement: 514 003
IHC IHC-P 50 µg
514 003GIP, rabbit, polyclonal, affinity purifiedaffinity IHC IHC-P 50 µg$380.00
471 005GLP-1, Guinea pig, polyclonal, affinity purifiedaffinity Dot blot IHC IHC-P 50 µg$465.00
471 203GLP-2, rabbit, polyclonal, affinity purifiedaffinity Dot blot IHC IHC-P 50 µg$380.00
Result count: 29
 

Author: Dr. Beate Friedrich

Beate has a profound biochemical background and heads the department for recombinant antibodies. She also has a special interest in neuropeptides and peptide hormones and is responsible for antibody development in this product group.
 

 

Literature

Albrechtsen and Rehfeld, 2021: On premises and principles for measurement of gastrointestinal peptide hormones. PMID: 33811948

Amara et al., 1982: Alternative RNA processing in calcitonin gene expression generates mRNAs encoding different polypeptide products. PMID: 6283379

Benarroch, 2011: CGRP: sensory neuropeptide with multiple neurologic implications. PMID: 21768598

Burbach, 2011: What are neuropeptides? PMID: 21922398

Caldwell et al., 2008: Vasopressin: behavioral roles of an “original” neuropeptide. PMID: 18053631

Edvinsson et al., 2018: CGRP as the target of new migraine therapies – successful translation from bench to clinic. PMID: 29691490

Eipper, 1992: The biosynthesis of neuropeptides: peptide alpha-amidation. PMID: 1575450

Gahete et al., 2010: Somatostatin and its receptors from fish to mammals. PMID: 20633132

Gallo-Payet, 2016: 60 years of POMC: adrenal and extra-adrenal functions of ACTH. PMID: 26793988

Grund and Neumann, 2019: Brain neuropeptide S: via GPCR activation to a powerful neuromodulator of socio-emotional behaviors. PMID: 30112573

Hökfelt et al., 2003: Neuropeptides: opportunities for drug discovery. PMID: 12878434

Hook, 2008: Proteases for processing proneuropeptides into peptide neurotransmitters and hormones. PMID: 18184105

Ilnytska and Argyropoulos, 2008: The role of the Agouti-related protein in energy balance regulation. PMID: 18470724

Iwasaki et al., 2019: Recent advances in vasoactive intestinal peptide physiology and pathophysiology: focus on the gastrointestinal system. PMID: 31559013

Kastin, 2000: What is a neuropeptide? PMID: 10675912

Lang et al., 2015: Physiology, signaling, and pharmacology of galanin peptides and receptors: three decades of emerging diversity. PMID: 25428932

Lee and Soltesz, 2011: Cholecystokinin: a multi-functional molecular switch of neuronal circuits. PMID: 21154912

Lee et al., 2009: Oxytocin: the great facilitor of life. PMID: 19482229

Mains and Eipper, 1999: The Neuropeptides. Bookshelf ID: NBK28247 https://www.ncbi.nlm.nih.gov/books/NBK28247

Nixon et al., 2015: Sleep disorders, obesity, and aging: the role of orexin. PMID: 25462194

Rehfeld et al., 2008: The cell-specific pattern of cholecystokinin peptides in endocrine cells versus neurons is governed by the expression of prohormone convertases 1/3, 2, and 5/6. PMID: 18096669

Reichmann and Holzer, 2016: Neuropeptide Y: A stressful review. PMID: 26441327

Rogge et al., 2008: CART peptides : regulators of body weight, reward and other functions. PMID: 18802445

Russo, 2015: Calcitonin gene-related peptide (CGRP): A new target for migraine. PMID: 25340934

Russo, 2017: Overview of neuropeptides: Awakening the senses? PMID: 28485842

Saiyasit et al, 2018: Potential roles of neurotensin on cognition in conditions of obese-insulin resistance. PMID: 30279001

Schank and Heilig, 2017: Substance P and the Neurokinin-1 Receptor: The new CRF. PMID: 29056150

Sevivas and Fresco, 2022: Treatment of resistant chronic migraine with anti-CGRP monoclonal antibodies: a systematic review. PMID: 35659086

Sun and Zhao, 2017: Peptide hormones as tumor markers in clinical practice. PMID: 29054271

Van den Pol, 2012: Neuropeptide transmission in brain circuits. PMID: 23040809

Vandervorst et al., 2021: CGRP monoclonal antibodies in migraine: an efficacy and tolerability comparison with standard prophylactic drugs. PMID: 34696711

Vitoratos et al., 2006: “Reproductive” corticotropin-releasing hormone. PMID: 17308156