Tailor-made Antibodies
and Tools for Life Science
Home | | | | | Technical Support

The many faces of the EAAT transporter family, or- the controllers of “OFF”

 

Overview

 

Introduction

Glutamate is the most important excitatory neurotransmitter in the brain. Many different ionotropic and metabotropic receptors mediate its stimulating signal to the neurons. But, in a switch, the “OFF” signal is as important as the “ON” signal. The family of excitatory amino acid transporters (EAATs) rapidly removes glutamate from the synaptic cleft and the surrounding extracellular space by recycling the glutamate back to the neurons and astrocytes, and so help to terminate the excitatory signal of glutamate. In this way, the EAATs manage:

  • to maintain the temporal fidelity of the glutamatergic signal. By removing the glutamate from the synaptic cleft, they prevent excessive stimulation of the post-synaptic receptors after the initial signal has been sent, impairing the detection of the next signal that arrives.
  • to maintain the spatial fidelity of the signal and prevent glutamate from “escaping” from the synapse into which it has been released and stimulating unintended extrasynaptic or synaptic glutamate receptors.
  • to protect neurons against the toxic actions of excessive glutamate in the extracellular space. Exacerbated or prolonged activation of glutamate receptors starts a cascade of neurotoxicity that ultimately leads to the loss of neuronal function and cell death, called excitotoxicity.
 

Transport of glutamate and anions

EAATs work as symporters by transporting one K+ ion out of the cell and simultaneously taking up a glutamate neurotransmitter/molecule (aspartate can also be transported) and three Na+ ions as well as an H+ into the cell in exchange (Alleva et al., 2022), see Fig. 1 (adapted from Freidman et al., 2020). This transport is dependent on an electrochemical gradient of sodium ions, and is facilitated by homo- or heterotrimers of the EAATs at the cell membrane (Kovermann et al., 2022).
EAATs are not only glutamate transporters, but also anion channels (Cl+) that open in response to transitions within the glutamate transport cycle (Otis & Jahr, 1998).

Info grafik of the transport of glutamate and anions by EAATs

Figure 1: Transport of glutamate and anions by EAATs

 

Recently published data suggest that EAAT5, a retina specific member of the EAAT family, functions not only as a glutamate importer but also as a glutamate-gated Cl--channel, particularly in cone photoreceptors (Lukasiewcz et al., 2021).
When glutamate is taken up into glial cells by the EAATs, it is converted to glutamine and subsequently transported back into the presynaptic neuron, converted back into glutamate, and taken up into synaptic vesicles by action of the VGLUTs. This process is named the glutamate–glutamine cycle (Andersen & Schousboe, 2023), see Figure 2.

Info grafik of the glutamate-glutamine cycle between the glutamatergic neuron and the astrocyte

Figure 2: Glutamate-glutamine cycle between the glutamatergic neuron and the astrocyte.

(1) Glutamate (Glu) is released and binds to ionotrophic and metabotropic receptors (AMPAR/GluAKainateR/GluKNMDAR/GluN, mGluRs). (2) Glutamate is taken up mainly by the astrocytes via excitatory amino acid transporters EAAT 1/2 and partially by the neurons via EAAT3. (3) The astrocytic glutamine synthetase converts glutamate (Glu) into glutamine (Gln). (4) Synaptically inert glutamine is transferred from the astrocyte to the neuron. (5) Glutamine (Gln) is converted back into glutamate (Glu) by the mitochondrial glutaminase 1 (GLS1). (6) Glutamate is translocated into vesicles by the vesiculary glutamate transporters (VGLUTs) and is ready for the next round of transmission.

 

Distribution of the EAATs

The EAAT family consists so far of 5 members, EAAT1 to EAAT5, all with a different glutamate uptake kinetic and a different degree of chloride permeability and distribution (Todd & Harding, 2020), see Table 1.

Table 1:

protein

gene

molecular mass (mouse)

  Cl-conduct.

tissue distribution

EAAT1

SLC1A3

~ 60 kDa

mod.

Astroglia (low level in lung, spleen, skeletal muscle and testis)

EAAT2

SLC1A2

~ 62 kDa

low

mainly astroglia; mediates >90% of CNS glutamate reuptake

EAAT3

SLC1A1

~57 kDa

mod.

all neurons – located on dendrites and axon terminals, epithelial cells of the kidney and the gastrointestinal tract (low level in lung, kidney, skeletal muscle and small intestine)

EAAT4

SLC1A6

~61 kDa

high

neurons (postsynaptic, dendritic spines) in cerebellum

EAAT5

SLC1A7

~60 kDa

high

CNS: predominantly retina

 

EAAT1:
EAAT1, also referred to as GLAST-1, is expressed throughout the CNS, and is highly expressed in astrocytes and Bergmann glia in the cerebellum. In the retina, EAAT1 is expressed in Müller cells.
Robust EAAT expression, in particular EAAT1, is a widely used marker of adult neural stem cell (NSC) phenotype (Rieskamp et al., 2023).
We offer several KO-validated antibodies for the detection of EAAT1.

Products EAAT1
Dear Customer,
thank you for your interest in our products. Our high-quality antibodies are featured in the DNA-PAINT Neuro-Imaging Kits, which are developed and distributed by Massive Photonics GmbH.

To ensure your request is handled efficiently, please use the provided input form to contact Massive Photonics directly.

With kind regards,
Your SYSY Antibodies Team


Cat. No. Product Description Application Quantity Price Cart
250 103EAAT1, rabbit, polyclonal, affinity purifiedaffinity K.O.
extracellular domain
WB 50 µg$380.00
250 113EAAT1, rabbit, polyclonal, affinity purifiedaffinity K.O.
cytoplasmic domain
WB IP ICC IHC 50 µg$380.00
250 114EAAT1, Guinea pig, polyclonal, antiserumantiserum
cytoplasmic domain
WB ICC IHC IHC-P 100 µl$370.00
250 116EAAT1, chicken, polyclonal, IgY fractionIgY fraction
cytoplasmic domain
WB ICC IHC 200 µl$365.00
250-11PEAAT1, control peptidecontrol peptide
cytoplasmic domain
100 µg$110.00
250-1PEAAT1, control peptidecontrol peptide
extracellular domain
100 µg$110.00
Result count: 6
 
Indirect immunostaining of EAAT1 in mouse cerebellum of wildtype (WT) and knockout (KO) animals with rabbit polyclonal anti-EAAT1
Indirect immuno-staining of PFA fixed mouse cerebellum with guinea pig polyclonal anti-EAAT1

Figure 3: Indirect immunostaining of EAAT1 in mouse cerebellum of wildtype (WT) and knockout (KO) animals with rabbit polyclonal anti-EAAT1 (cat. no. 250 113, dilution 1:5000; red).Courtesy: Yun Zhou and Niels Christian Danbolt, Dept. of Anatomy, Institute of Basic Medical Sciences, University of Oslo

Figure 4: Indirect immuno-staining of PFA fixed mouse cerebellum with guinea pig polyclonal anti-EAAT1 (cat. no. 250 114, dilution 1:500; red) and rabbit anti-parvalbumin (cat. no. 195 002, dilution 1:500; green). Nuclei have been visualized by DAPI staining (blue).

 

 

EAAT2:

EAAT2, also named GLT-1, is the most abundant of the EAATs in the brain. It is predominantly localized in the astrocytic branches and is highly expressed in the cerebellum and hippocampus, respectively (Yeung et al., 2021). Recently, a reduction in EAAT2 has been found in several neurodegenerative diseases such as Alzheimer’s Disease, Multiple Sclerosis and Amyotrophic Lateral Sclerosis (ALS), reviewed in Dahlmanns et al., 2023. In this context, it is interesting to note that presenilin 1 (PS1), the active subunit of gamma-secretase, interacts directly with EAAT2 and influences the cell surface localization of the transporter (Perrin et al., 2024).
For the detection of EAAT2 we can provide excellent, KO-validated, polyclonal rabbit and guinea pig antibodies. And additionally a mouse monoclonal antibody that display superior results in WB, ICC, IHC and FFPE (IHC-P) applications.

Products EAAT2
Dear Customer,
thank you for your interest in our products. Our high-quality antibodies are featured in the DNA-PAINT Neuro-Imaging Kits, which are developed and distributed by Massive Photonics GmbH.

To ensure your request is handled efficiently, please use the provided input form to contact Massive Photonics directly.

With kind regards,
Your SYSY Antibodies Team


Cat. No. Product Description Application Quantity Price Cart
250 203EAAT2, rabbit, polyclonal, affinity purifiedaffinity K.O.
extracellular domain
WB ICC IHC IHC-P 50 µg$385.00
250 204EAAT2, Guinea pig, polyclonal, antiserumantiserum K.O.
extracellular domain
WB ICC IHC IHC-P 100 µl$370.00
250 211EAAT2, mouse, monoclonal, purified IgG IgG
extracellular domain
WB ICC IHC IHC-P 100 µg$420.00
250-2PEAAT2, control peptidecontrol peptide
extracellular domain
100 µg$110.00
Result count: 4
 
Indirect immuno-staining of EAAT2 in the neocortex of heterozygote (+/-) and knockout (-/-) mice
Indirect immunostaining of PFA fixed rat hippocampus neurons with anti-EAAT2

Figure 5: Indirect immuno-staining of EAAT2 in the neocortex of heterozygote (+/-) and knockout (-/-) mice (cat. no. 250 203, dilution 1:2000; red). Courtesy: Yun Zhou and Niels Christian Danbolt, Dept. of Anatomy, Institute of Basic Medical Sciences, University of Oslo

Figure 6: Indirect immunostaining of PFA fixed rat hippocampus neurons with anti-EAAT2 (cat. no. 250 204, dilution 1:500; red) and mouse anti-MAP2 (cat. no. 188 011, dilution 1:500; green). Nuclei have been visualized by DAPI staining (blue).

 

 

EAAT3:

EAAT3, also known as EAAC1 or SLC1A1, is the “neuronal” glutamate transporter in the brain, mainly localized at the axonal terminal and the dendrites of the cerebral cortex, hippocampus, striatum, and basal ganglia (Escobar et al., 2019). The latest research results postulate a link between EAAT3 expression and obsessive-compulsive disorder (OCD), reviewed in Escobar et al., 2019. Outside of the CNS EAAT3 can be found in the lung, small intestine, skeletal muscle, renal outer medulla, medullary ray and cortex (Todd & Hardingham, 2020).
We offer 2 outstanding polyclonal rabbit antibodies in our portfolio.

Products EAAT3
Dear Customer,
thank you for your interest in our products. Our high-quality antibodies are featured in the DNA-PAINT Neuro-Imaging Kits, which are developed and distributed by Massive Photonics GmbH.

To ensure your request is handled efficiently, please use the provided input form to contact Massive Photonics directly.

With kind regards,
Your SYSY Antibodies Team


Cat. No. Product Description Application Quantity Price Cart
250 303EAAT3, rabbit, polyclonal, affinity purifiedaffinity
currently not available
cytoplasmic domain
ICC IHC 50 µg$380.00
250 313EAAT3, rabbit, polyclonal, affinity purifiedaffinity
cytoplasmic domain
WB 50 µg$380.00
250-31PEAAT3, control peptidecontrol peptide
cytoplasmic domain
100 µg$110.00
Result count: 3
 
Immunoblottting of EAAT3 in synaptic membrane fraction of rat brain (LP1) with rabbit polyclonal anti-EAAT3

Figure 7: Immunoblottting of EAAT3 in synaptic membrane fraction of rat brain (LP1) with rabbit polyclonal anti-EAAT3 (cat. no. 250 313).

Figure 7: Immunoblottting of EAAT3 in synaptic membrane fraction of rat brain (LP1) with rabbit polyclonal anti-EAAT3 (cat. no. 250 313).

 

EAAT4:

EAAT4, also referred to as SLC1A6, is a predominantly neuronal glutamate importer. It is localized primarily on Purkinje cells of the cerebellum, with some sparse expression in certain subregions of the forebrain and midbrain (Massie et al., 2008). Recent data showed that the expression of EAAT4 follows a parasagittal banding pattern similar to the expression of aldolase C (zebrin), creating microzones of molecularly diverse Purkinje cells with high and low levels of EAAT4 (Malhotra et al., 2021). The glutamate transport capacity of EAAT4 is rather low compared to EAAT1 and EAAT2, so that some researchers postulate that EAAT4 acts physiologically mainly as anion channel (Suslova et al., 2023).
New in our portfolio are now 2 excellent rabbit polyclonal antibodies against EAAT4.

Products EAAT4
Dear Customer,
thank you for your interest in our products. Our high-quality antibodies are featured in the DNA-PAINT Neuro-Imaging Kits, which are developed and distributed by Massive Photonics GmbH.

To ensure your request is handled efficiently, please use the provided input form to contact Massive Photonics directly.

With kind regards,
Your SYSY Antibodies Team


Cat. No. Product Description Application Quantity Price Cart
250 403EAAT4, rabbit, polyclonal, affinity purifiedaffinity WB 50 µg$385.00
250 413EAAT4, rabbit, polyclonal, affinity purifiedaffinity WB ICC IHC IHC-P 50 µg$385.00
Result count: 2
 
Indirect immunostaining of a formaldehyde fixed mouse cerebellum section (saggital) rabbit anti-EAAT4 antibody
Indirect immunostaining of a formaldehyde fixed mouse cerebellum section (coronal) rabbit anti-EAAT4 antibody

​Figure 8: Indirect immunostaining of a formaldehyde fixed mouse cerebellum section (saggital) rabbit anti-EAAT4 antibody (cat. no. 250 413, dilution 1:500, red) and guinea pig anti-Calbindin antibody (cat. no. 214 318, dilution 1:500, green). Nuclei have been visualized by DAPI staining (blue).

Figure 9: Indirect immunostaining of a formaldehyde fixed mouse cerebellum section (coronal) rabbit anti-EAAT4 antibody (cat. no. 250 413, dilution 1:500, red) and guinea pig anti-Calbindin antibody (cat. no. 214 318, dilution 1:500, green). Nuclei have been visualized by DAPI staining (blue).

 

EAAT5:

EAAT5 protein, sometimes also called AAAT, can be predominantly found in the vertebrate retina, where it transports (together with EAAT2) glutamate into rod cells, cone cells and rod bipolar cells. EAAT5 transporters are clustered just beneath synaptic ribbons in the presynaptic active zone of rods and cones perfectly positioned to capture recently released glutamate. Inhibition of EAAT5 has shown that this protein is important for the temporal signal resolution of glycinergic amacrine cells (AII amacrine cells) in the retina (Tang et al., 2022). Outside the CNS, EAAT5 is also expressed in liver, kidney, intestine, heart, lung and muscle. We offer a polyclonal guinea pig KO-validated antibody against EAAT5.

Products EAAT5
Dear Customer,
thank you for your interest in our products. Our high-quality antibodies are featured in the DNA-PAINT Neuro-Imaging Kits, which are developed and distributed by Massive Photonics GmbH.

To ensure your request is handled efficiently, please use the provided input form to contact Massive Photonics directly.

With kind regards,
Your SYSY Antibodies Team


Cat. No. Product Description Application Quantity Price Cart
250 504EAAT5, Guinea pig, polyclonal, antiserumantiserumIHC IHC-P 100 µl$370.00
Result count: 1
 
Indirect immunostaining of EAAT5 in mouse retina of wildtype (WT) and knockout (KO) animals

Figure 10: Indirect immunostaining of EAAT5 in mouse retina of wildtype (WT) and knockout (KO) animals (cat. no. 250 504, dilution 1:2000; red). The tissue was immersion fixed with 4% formaldehyde with an antigen retrieval with 1% SDS according to (Gehlen et al. 2021). Courtesy: Christoph Aretzweiler-von Schwartzenberg and Frank Müller, Institute of Biological Information Processing, Molecular and cellular physiology (IBI-1), Forschungszentrum Jülich, Germany

Figure 10: Indirect immunostaining of EAAT5 in mouse retina of wildtype (WT) and knockout (KO) animals (cat. no. 250 504, dilution 1:2000; red). The tissue was immersion fixed with 4% formaldehyde with an antigen retrieval with 1% SDS according to (Gehlen et al. 2021). Courtesy: Christoph Aretzweiler-von Schwartzenberg and Frank Müller, Institute of Biological Information Processing, Molecular and cellular physiology (IBI-1), Forschungszentrum Jülich, Germany

 

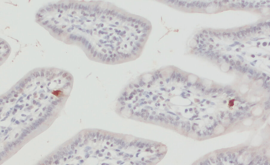
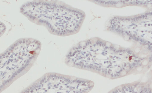
Figure 11: Indirect immunostaining of a formalin fixed paraffin embedded (FFPE) mouse ileum section with guinea pig anti-EAAT5 antibody (cat. no. 250 504, dilution 1:1000, DAB; brown). Nuclei have been visualized by hematoxylin staining (blue).

Indirect immunostaining of a formalin fixed paraffin embedded (FFPE) mouse ileum section with guinea pig anti-EAAT5 antibody

Figure 11: Indirect immunostaining of a formalin fixed paraffin embedded (FFPE) mouse ileum section with guinea pig anti-EAAT5 antibody (cat. no. 250 504, dilution 1:1000, DAB; brown). Nuclei have been visualized by hematoxylin staining (blue).

 

Products

Dear Customer,
thank you for your interest in our products. Our high-quality antibodies are featured in the DNA-PAINT Neuro-Imaging Kits, which are developed and distributed by Massive Photonics GmbH.

To ensure your request is handled efficiently, please use the provided input form to contact Massive Photonics directly.

With kind regards,
Your SYSY Antibodies Team


Cat. No. Product Description Application Quantity Price Cart
250 103EAAT1, rabbit, polyclonal, affinity purifiedaffinity K.O.
extracellular domain
WB 50 µg$380.00
250 113EAAT1, rabbit, polyclonal, affinity purifiedaffinity K.O.
cytoplasmic domain
WB IP ICC IHC 50 µg$380.00
250 114EAAT1, Guinea pig, polyclonal, antiserumantiserum
cytoplasmic domain
WB ICC IHC IHC-P 100 µl$370.00
250 116EAAT1, chicken, polyclonal, IgY fractionIgY fraction
cytoplasmic domain
WB ICC IHC 200 µl$365.00
250-11PEAAT1, control peptidecontrol peptide
cytoplasmic domain
100 µg$110.00
250-1PEAAT1, control peptidecontrol peptide
extracellular domain
100 µg$110.00
250 203EAAT2, rabbit, polyclonal, affinity purifiedaffinity K.O.
extracellular domain
WB ICC IHC IHC-P 50 µg$385.00
250 204EAAT2, Guinea pig, polyclonal, antiserumantiserum K.O.
extracellular domain
WB ICC IHC IHC-P 100 µl$370.00
250 211EAAT2, mouse, monoclonal, purified IgG IgG
extracellular domain
WB ICC IHC IHC-P 100 µg$420.00
250-2PEAAT2, control peptidecontrol peptide
extracellular domain
100 µg$110.00
250 303EAAT3, rabbit, polyclonal, affinity purifiedaffinity
currently not available
cytoplasmic domain
ICC IHC 50 µg$380.00
250 313EAAT3, rabbit, polyclonal, affinity purifiedaffinity
cytoplasmic domain
WB 50 µg$380.00
250-31PEAAT3, control peptidecontrol peptide
cytoplasmic domain
100 µg$110.00
250 403EAAT4, rabbit, polyclonal, affinity purifiedaffinity WB 50 µg$385.00
250 413EAAT4, rabbit, polyclonal, affinity purifiedaffinity WB ICC IHC IHC-P 50 µg$385.00
250 504EAAT5, Guinea pig, polyclonal, antiserumantiserumIHC IHC-P 100 µl$370.00
End of List
Result count: 16
 

Author: Dr. Carsten Schmidt

Carsten has a strong neuroscience background and has worked in Alzheimer Disease research for many years. 

 

Literature

Alleva et al., 2022: Molecular Basis of Coupled Transport and Anion Conduction in Excitatory Amino Acid Transporters. PMID: 33587237

Andersen & Schousboe, 2023: Glial Glutamine Homeostasis in Health and Disease. PMID: 36322369

Dahlmanns et al., 2023: Glial Glutamate Transporter-Mediated Plasticity: System xc-/xCT/SLC7A11 and EAAT1/2 in Brain Diseases. PMID: 37005761

Escobar et al., 2019: The Neuronal Glutamate Transporter EAAT3 in Obsessive-Compulsive Disorder. PMID: 31803055

Freidman et al., 2020: Amino Acid Transporters and Exchangers from the SLC1A Family: Structure, Mechanism and Roles in Physiology and Cancer. PMID: 31981058

Kovermann et al., 2022: Cellular Physiology and Pathophysiology of EAAT Anion Channels. PMID: 35087380

Lukasiewcz et al., 2021: EAAT5 Glutamate Transporter-Mediated Inhibition in the Vertebrate Retina. PMID: 34025361

Malhotra et al., 2021: Climbing Fiber-Mediated Spillover Transmission to Interneurons Is Regulated by EAAT4. PMID: 34400517

Massie et al., 2008: High-affinity Na+/K+-dependent glutamate transporter EAAT4 is expressed throughout the rat fore- and midbrain. PMID: 18770868

Otis & Jahr, 1998: Anion currents and predicted glutamate flux through a neuronal glutamate transporter. PMID: 9736633

Perrin et al., 2024: Identification of PS1/gamma-secretase and glutamate transporter GLT-1 interaction site. PMID: 38499151

Rieskamp et al., 2023: Excitatory amino acid transporter 1 supports adult hippocampal neural stem cell self-renewal. PMID: 37534178

Suslova et al., 2023: Apo state pore opening as functional basis of increased EAAT anion channel activity in episodic ataxia 6. PMID: 37538371

Tang et al., 2022: Glutamate Transporters EAAT2 and EAAT5 Differentially Shape Synaptic Transmission from Rod Bipolar Cell Terminals. PMID: 35523583

Todd & Hardingham, 2020: The Regulation of Astrocytic Glutamate Transporters in Health and Neurodegenerative Diseases. PMID: 33348528

Yeung et al., 2021: EAAT2 Expression in the Hippocampus, Subiculum, Entorhinal Cortex and Superior Temporal Gyrus in Alzheimer’s Disease. PMID: 34588956