Tailor-made Antibodies
and Tools for Life Science
Home | | | | | Technical Support

EAAT5 antibody - 250 504

EAATs are transmembrane proteins involved in the removal of extracellular glutamate
Guinea pig polyclonal antiserum
Cat. No.: 250 504
Amount: 100 µl
Price: $370.00
Cat. No. 250 504 100 µl antiserum, lyophilized. For reconstitution add 100 µl H2O, then aliquot and store at -20°C until use.
Antibodies should be stored at +4°C when still lyophilized. Do not freeze!
Applications
 
WB: not tested yet
IP: not tested yet
ICC: not tested yet
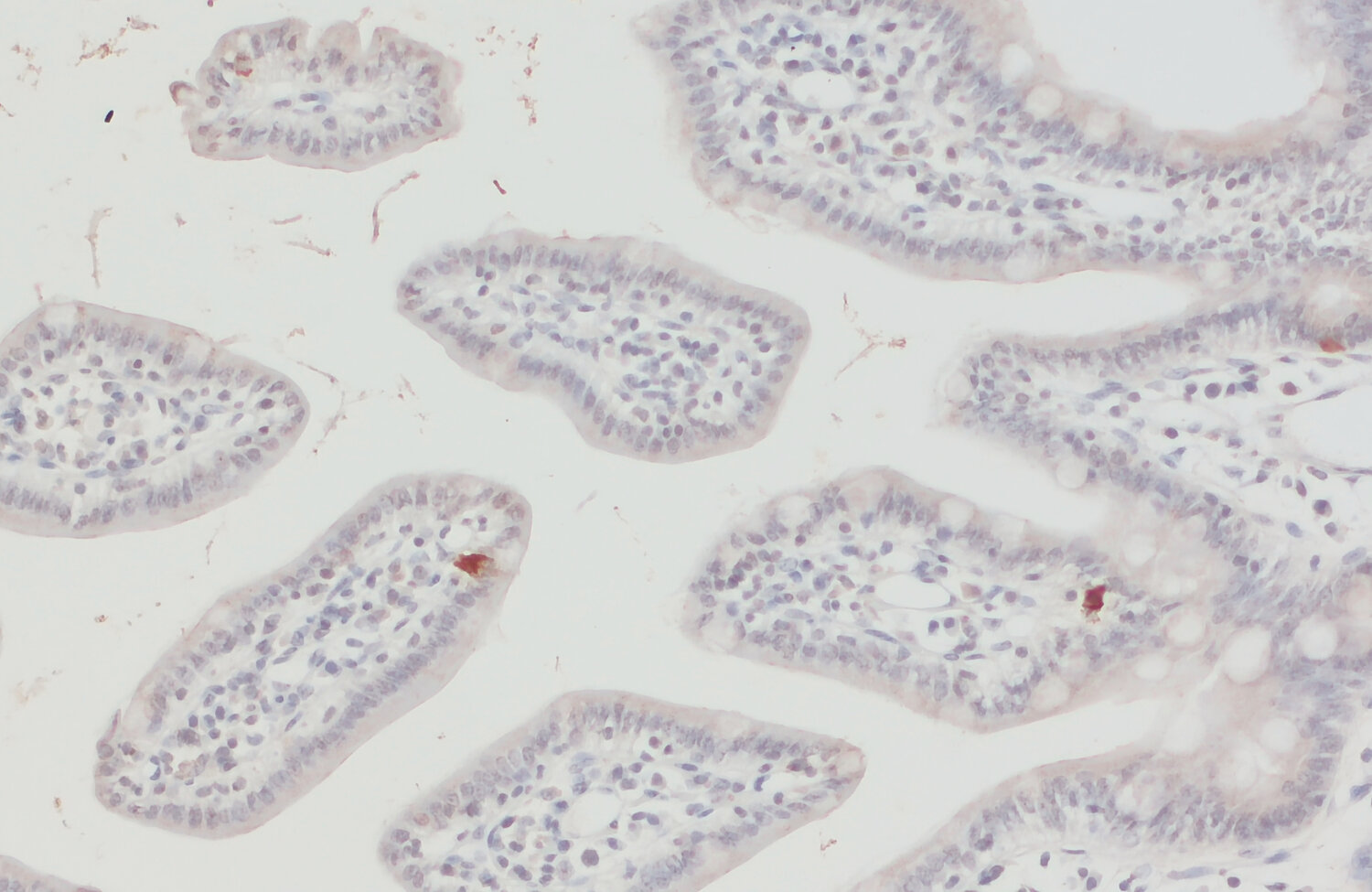
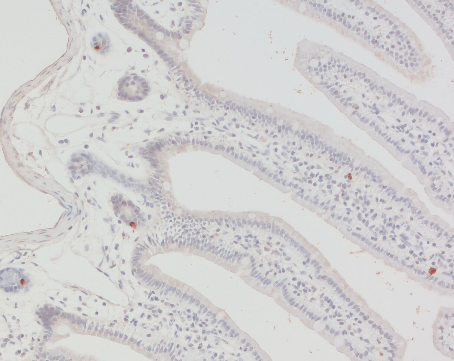
IHC: external data (see remarks) gallery  
IHC-P: 1 : 1000 up to 1 : 2000 gallery  

Western blot (WB); separation of proteins by PAGE and subsequent transfer to a membrane. Detection of target molecules is carried out with antibodies. Some antibodies require special sample preparation steps. For details, please refer to the “Remarks” section.

Immunoprecipitation (IP); Immunoisolation or pulldown of a target molecule using an antibody. For details and product specific hints, please refer to the ”Remarks” section.

Immunocytochemistry (ICC) on 4% PFA fixed cells. Immunoreactivity is usually revealed by fluorescence. Some antibodies require special fixation methods. For details, please refer to the “Remarks” section.

Immunohistochemistry (IHC) on 4% PFA perfusion fixed tissue with 24h PFA post fixation. Immunoreactivity is usually revealed by fluorescence or a chromogenic substrate. Some antibodies require special fixation methods or antigen retrieval steps. For details, please refer to the ”Remarks” section.

Immunohistochemistry (IHC-P) of formalin fixed, paraffin embedded (FFPE) tissue (some antibodies require special antigen retrieval steps, please refer to the ”Remarks” section). Immunoreactivity is usually revealed by fluorescence or a chromogenic substrate.

Immunogen Recombinant protein corresponding to residues near the carboxy terminus of mouse EAAT5 (UniProt Id: Q8JZR4)
Reactivity Reacts with: mouse (Q8JZR4).
Other species not tested yet.
Remarks

IHC: This antibody has been successfully applied for this method by our customers using fixation with 4% PFA for 20 minutes and a subsequent AGR step for 5 min with 1% SDS according to (Gehlen et al. 2021).

Data sheet 250_504.pdf
Cat. No.: 250 504
Amount: 100 µl
Price: $370.00
Background

Glutamate is the major excitatory neurotransmitter in the mammalian central nervous system. After the release of glutamate from synaptic vesicles into the synaptic cleft during neurotransmission, excitatory amino acid transporters (EAATs) remove extracellular glutamate to avoid excitotoxic levels (1).
Five EAATs with differential expression patterns have been described so far: EAAT1, also referred to as GLAST and SLC1A3, has neuroprotective potential following ischemia and occurs in reactive astrocytes and activated microglia. EAAT2 (GLT-1, SLC1A2) is the most abundant isoform and is primarily expressed in astrocytes. Both variants show high levels in brain and retina. EAAT3 / SLC1A1, EAAT4 / SLC1A6 and EAAT5 / SLC1A7 are expressed in neurons (2). EAAT4 shows weak expression in the forebrain and high levels in the cerebellum, where it mainly locates to Purkinje cells (3). EAAT5 primarily occurs in the retina, where it locates very close to glutamate release sites. In K.O. mice flicker resolution is considerably compromised (4). Recent findings suggest that EAAT5 is an abundant isoform, expressed also in non-neuronal peripheral tissues (5).