Tailor-made Antibodies
and Tools for Life Science
Home | | | | | Technical Support

Neurofilaments

 

Overview

Introduction

The cytoskeleton of neurons is composed of microtubules, microfilaments and neurofilaments (NFs). NFs belong to the intermediate filaments (IFs) whose name has its origin from the characteristic diameter of 8-10 nm, which is intermediate between actin filaments (6 nm) and microtubules (24 nm) (Lee and Cleveland, 1996). Their length is highly variable and can reach several µm.
NFs exclusively occur in neurons and belong to the most abundant structural components of mammalian axons, where they define shape and diameter. The diameter of axons is an important parameter for nerve conduction velocity (Yuan et al. 2012, Laser-Azogui et al., 2015).
 

Structure, composition and assembly of Neurofilaments

The major components of mature heteropolymeric NFs are Neurofilament L (NF-L), Neurofilament M (NF-M) and Neurofilament H (NF-H), all of which are type IV intermediate filaments (Figure 1). L, M and H stand for low (~70 kDa), medium (~160 kDa) and high molecular weight (~200 kDa), respectively (Lee and Cleveland, 1996). The apparent molecular weights in SDS PAGE differ significantly from their theoretically predicted values because of their high content of charged amino acids and the high degree of post-translational modification (Figure 2).
In addition to NF-L, NF-M and NF-H, NFs can also contain α-internexin, an additional type IV intermediate filament (Yuan et al., 2006). Peripherin however, a type III intermediate filament, is only present in NFs of the peripheral nervous system (PNS) (Yuan et al., 2012) (Figure 1).

Domain structure of neurofilament proteins

Figure 1: Domain structure of neurofilament proteins. All neuronal intermediate filaments are composed of an N-terminal head domain, a central helical core consisting of coils 1a, 1b and 2a/b, and a variable C-terminal tail domain (Laser-Azogui et al., 2015).

Nestin, another neuronal IF, is only transiently expressed by early embryonic, neuroepithelial stem cells during the development of the CNS (Lee and Cleveland, 1996). The protein is then downregulated during differentiation and replaced by other tissue specific intermediate filaments.
All neuronal intermediate filaments share the same domain structure with an amino-terminal head domain, a central helical core (rod-domain) consisting of coils 1a, 1b and 2a/b, and a variable carboxy-terminal tail domain (Figure 1) (Laser-Azogui et al., 2015).
 

Detection of Neurofilament L, M and H in Western Blot

Figure 2: Detection of Neurofilament L, M and H (Alkaline Phosphatase staining) in mouse brain homogenates.
The effective, observed molecular weights significantly differ from their theoretical values:

NF-L: 61.5 kDa
NF-M: 95.9 kDa
NF-H: 117 kDa

Figure 2: Detection of Neurofilament L, M and H (Alkaline Phosphatase staining) in mouse brain homogenates.
The effective, observed molecular weights significantly differ from their theoretical values:

NF-L: 61.5 kDa
NF-M: 95.9 kDa
NF-H: 117 kDa

In the first step of NF assembly, NF-L or α-internexin dimerize with any other neuronal IF by parallel association of their conserved rod domains to form coiled-coil dimers. Two dimers assemble in a staggered antiparallel manner and form a tetramer. This tetramer is often referred to as the basic subunit or building block of neurofilaments. They associate to form unit-length filaments (ULFs), which then assemble by axial aggregation to form immature filaments (Figure 3). In a final maturation step, a radial compaction forms the final „bottle brush“ filament with flexible c-terminal tails decorating the filament surface (Laser-Azogui et al., 2015) (Figure 3).

NF assembly starts with parallel dimerization of NF-L or -internexin with any other neuronal IF protein forming coiled-coil dimers

Figure 3: NF assembly starts with parallel dimerization of NF-L or α-internexin with any other neuronal IF protein forming coiled-coil dimers. Two coiled-coil dimers assemble in a half-staggered manner and form an anti-parallel tetramer. Lateral aggregation of tetramers leads to the formation of a unit-length-filament (ULF). Axial aggregation of ULFs results in immature filaments with a diameter of about 16 nm. In a subsequent radial compaction step, molecular filaments are closely packed to constitute the final 10 nm „bottlebrush“ filament with the flexible C-terminal tails decorating the NF surface (Laser-Azogui et al., 2015).

Post-translational modifications (PTMs) and function of neurofilaments (NFs)

Depending on their number and their packing density, assembled NFs are the main structural components that determine the axon diameter, which is an important factor affecting axonal impulse propagation (Laser-Azogui et al., 2015).

Early in development, axons are rather narrow processes that contain relatively few NFs. Later, during development, specialized axons become myelinated and accumulate more NFs in parallel, resulting in up to 5-10-fold radial growth. A large myelinated axon may contain thousands of neurofilaments in one cross section. Different post-translational modification (PTM) events are involved in these assembly and stabilization processes (Fenn et al., 2018).

NFs belong to the most highly phosphorylated neuronal proteins (Luedemann et al., 2005). In particular, the transient phosphorylation states of the N-terminal head domains of NF-L and α-internexin, that occur mainly in the cell body, strongly affect NF polymer assembly, disassembly and axonal transport.

NF-M and NF-H have long C-terminal tail domains that contain many PTM sites that are heavily phosphorylated in mature axons affecting axon caliber and stability (Snider and Omary, 2014). This compartmentalized NF phosphorylation between head and tail domains is tightly regulated, and deregulation of NF phosphorylation topography is associated with several neurodegenerative diseases (Binukumar et al., 2013).

NFs are also glycosylated, but the exact functional role of this PTM has not been sufficiently explored yet. However, abnormal glycosylation patterns are linked to severe neurodegenerative diseases like Alzheimer’s disease (AD) (Deng et al., 2008) or amyotrophic lateral sclerosis (ALS) (Luedemann et al., 2005).

Neurofilament Function

Depending on their number and their packing density assembled NFs are the main structural components that determine the axon diameter which is an important factor affecting axonal impulse propagation.

Early in development, axons are rather narrow processes that contain relatively few NFs. Later, specialized axons become myelinated and in parallel accumulate more NFs resulting in an up to fivefold radial growth. A large myelinated axon may contain thousands of neurofilaments in one cross-section.
 

Neurofilaments as marker proteins

Neurofilaments are exclusively found in neurons and belong to the earliest recognizable features of the maturing nervous system (Ulfig et al., 1997). Since NFs heavily accumulate in axons, they are valuable general marker proteins for this cellular compartment in a wide variety of applications like immunocytochemistry (ICC) (figure 4a), immunohistochemistry (IHC and IHC-P) (figure 4b, c and d) and Western blotting (WB) (figure 2).
Peripherin can be employed to specifically distinguish between neurons from the PNS and CNS (Yuan et al., 2012 b) (figure 4 c and d).
Neurofilaments can also be used as valuable biomarkers in blood and cerebrospinal fluid (CSF) since their levels are increased after neuroaxonal damage caused by neurodegenerative or traumatic deseases (Khalil et al., 2018).
This neuroaxonal damage can also be observed on the histological level. In stroke models reduced neurofilament integrity becomes obvious after induced ischemia. Antibody epitopes masked in intact neurons become accessible leading to a stronger immunoreactivity in the ischemia affected brain regions (Mages et al., 2018).
Synaptic Systems offers a broad species panel of polyclonal and monoclonal antibodies against different NF species,  covering most of the above mentioned repertoire of applications.
 

Indirect immunostaining of PFA fixed rat hippocampus neurons with rabbit anti-Neurofilament H
Indirect immunostaining of PFA fixed mouse hippocampus section with mouse anti-Neurofilament L

Figure 4 a: Indirect immunostaining of PFA fixed rat hippocampus neurons with rabbit anti-Neurofilament H (cat. no. 171 108, red), Guinea pig anti-MAP 2 (cat. no. 188 004, green) and mouse anti-Synapsin 1 (cat. no. 106 011, blue).

Figure 4 b: Indirect immunostaining of PFA fixed mouse hippocampus section with mouse anti-Neurofilament L (cat. no. 171 011, red). Nuclei have been visualized by DAPI staining (blue).
 

Indirect immunostaining of PFA fixed mouse pons with Guinea pig anti-Peripherin 1
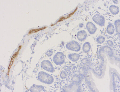
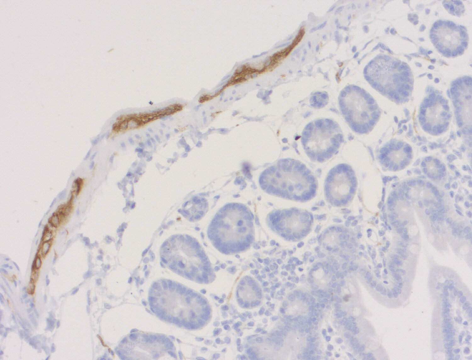
Indirect immunostaining of PFA fixed, paraffin embedded mouse small intestine with Guinea pig anti-Peripherin 1

Figure 4 c: Indirect immunostaining of PFA fixed mouse pons with Guinea pig anti-Peripherin 1 (cat. no. 424 004; red). Nuclei have been visualized by DAPI staining (blue).
Antigen retrieval has been applied before staining.

Figure 4d: Indirect immunostaining of PFA fixed, paraffin embedded mouse small intestine with Guinea pig anti-Peripherin 1 (cat. no. 424 004; DAB). Nuclei have been visualized by haematoxylin staining (blue).

Products

Dear Customer,
thank you for your interest in our products. Our high-quality antibodies are featured in the DNA-PAINT Neuro-Imaging Kits, which are developed and distributed by Massive Photonics GmbH.

To ensure your request is handled efficiently, please use the provided input form to contact Massive Photonics directly.

With kind regards,
Your SYSY Antibodies Team


Cat. No. Product Description Application Quantity Price Cart
167 002α-Internexin, rabbit, polyclonal, antiserumantiserumWB ICC IHC-P 200 µl$360.00
167-0Pα-Internexin, control proteincontrol protein
discontinued
100 µg
171 102Neurofilament H, rabbit, polyclonal, antiserumantiserumICC IHC IHC-P 200 µl$360.00
171 104Neurofilament H, Guinea pig, polyclonal, antiserumantiserumICC IHC IHC-P 100 µl$370.00
171 106Neurofilament H, chicken, polyclonal, affinity purifiedaffinity ICC IHC IHC-P 50 µg$385.00
171 108Neurofilament H, rabbit, monoclonal, recombinant IgGrecombinant IgGICC IHC IHC-P 50 µg$420.00
171 111Neurofilament H, mouse, monoclonal, purified IgG IgGICC IHC IHC-P 100 µg$420.00
171 121Neurofilament H, mouse, monoclonal, purified IgG IgGWB ICC IHC IHC-P 100 µg$420.00
171 128Neurofilament H, rabbit, monoclonal, recombinant IgGrecombinant IgGWB ICC IHC IHC-P 50 µg$420.00
171 138Neurofilament H, Guinea pig, monoclonal, recombinant IgGrecombinant IgGICC IHC IHC-P 50 µg$420.00
171 002Neurofilament L, rabbit, polyclonal, antiserumantiserumWB IP ICC IHC IHC-P iDISCO 200 µl$365.00
171 003BTNeurofilament L, rabbit, polyclonal, IgG fractionIgG fraction, biotinWB ICC IHC IHC-P 100 µg$485.00
171 004Neurofilament L, Guinea pig, polyclonal, antiserumantiserumWB 100 µl$370.00
171 006Neurofilament L, chicken, polyclonal, affinity purifiedaffinity ICC IHC IHC-P 50 µg$385.00
171 008Neurofilament L, rabbit, monoclonal, recombinant IgGrecombinant IgGWB ICC IHC IHC-P 50 µg$420.00
Result count: 27
 

Author: Dr. Henrik Martens
CEO Synaptic Systems GmbH

Henrik has more than 20 years of experience in antibody development, validation and production.
He has assembled a team of highly qualified experts with strong scientific backgrounds to meet the highest quality standards for research antibodies and customer support.

 

Literature

Binukumar et al., 2013: Topographic regulation of neuronal intermediate filaments by phosphorylation, role of peptidyl-prolyl isomerase 1: significance in neurodegeneration. PMID: 23793952

Deng et al., 2008: Regulation between O-GlcN acylation and phosphorylation of neurofilament-M and their dysregulation in Alzheimer disease. PMID: 17687114

Fenn et al., 2018: Axonal neurofilaments exhibit frequent and complex folding behaviors. PMID: 29683261

Laser-Azogui et al., 2015: Neurofilament assembly and function during neuronal development. PMID: 25635910

Khalil et al. 2018: Neurofilaments as biomarkers in neurological disorders. PMID: 30171200

Lee and Cleveland, 1996: Neuronal intermediate filaments. PMID: 8833441

Luedemann et al., 2005: O-Glycosylation of the tail domain of neurofilament protein M in human neurons and in spinal cord tissue of a rat model of amyotrophic lateral sclerosis (ALS). PMID: 16006557

Mages et al., 2018: Impaired Neurofilament Integrity and Neuronal Morphology in Different Models of Focal Cerebral Ischemia and Human Stroke Tissue: PMID: 29967576

Snider and Omary 2014: Post-translational modifications of intermediate filament proteins: mechanisms and functions. PMID: 24556839 

Yuan et al., 2006: α-internexin is structurally and functionally associated with the neurofilament triplet proteins in the mature CNS. PMID: 17005864

Yuan et al., 2012 a: Neurofilaments at a Glance. PMID: 22956720

Yuan et al., 2012 b: Peripherin is a subunit of peripheral nerve neurofilaments: Implications for differential vulnerability of CNS and peripheral nervous system axons. PMID: 22723690