Tailor-made Antibodies
and Tools for Life Science
Home | | | | | Technical Support

CCK-8 antibody - 438 004

CCK-8 is a peptide hormone of the CNS and the gastrointestinal system that functions in digestion, satiety, anxiety, and memory processes
Guinea pig polyclonal antiserum
Cat. No.: 438 004
Amount: 100 µl
Price: $375.00
Cat. No. 438 004 100 µl antiserum, lyophilized. For reconstitution add 100 µl H2O, then aliquot and store at -20°C until use.
Applications
 
WB: not tested yet
IP: not tested yet
ICC: 1 : 500 gallery  
IHC: 1 : 500 gallery  
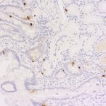
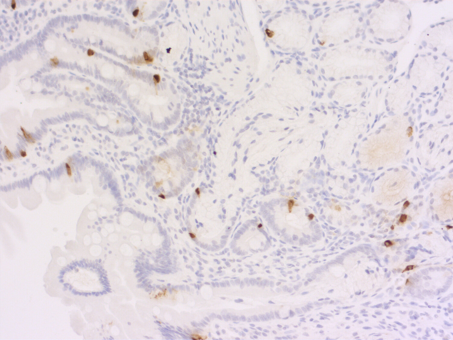
IHC-P: 1 : 1000 up to 1 : 2000 gallery  

Western blot (WB); separation of proteins by PAGE and subsequent transfer to a membrane. Detection of target molecules is carried out with antibodies. Some antibodies require special sample preparation steps. For details, please refer to the “Remarks” section.

Immunoprecipitation (IP); Immunoisolation or pulldown of a target molecule using an antibody. For details and product specific hints, please refer to the ”Remarks” section.

Immunocytochemistry (ICC) on 4% PFA fixed cells. Immunoreactivity is usually revealed by fluorescence. Some antibodies require special fixation methods. For details, please refer to the “Remarks” section.

Immunohistochemistry (IHC) on 4% PFA perfusion fixed tissue with 24h PFA post fixation. Immunoreactivity is usually revealed by fluorescence or a chromogenic substrate. Some antibodies require special fixation methods or antigen retrieval steps. For details, please refer to the ”Remarks” section.

Immunohistochemistry (IHC-P) of formalin fixed, paraffin embedded (FFPE) tissue (some antibodies require special antigen retrieval steps, please refer to the ”Remarks” section). Immunoreactivity is usually revealed by fluorescence or a chromogenic substrate.

Immunogen Synthetic sulfated CCK-8 peptide corresponding to AA 96 to 103 from mouse CCK precursor (UniProt Id: P09240). (UniProt Id: P09240)
Reactivity Reacts with: mouse (P09240), rat (P01355), human (P06307).
Other species not tested yet.
Specificity The antibody recognizes CCK-8. It may crossreact with the precursor protein and with other peptides of the cholecystokinin family due to sequence homology.
Data sheet 438_004.pdf

References for CCK-8 - 438 004

INSIHGT: an accessible multi-scale, multi-modal 3D spatial biology platform.
Yau CN, Hung JTS, Campbell RAA, Wong TCY, Huang B, Wong BTY, Chow NKN, Zhang L, Tsoi EPL, Tan Y, Li JJX, et al.
Nature communications (2024) 151: 10888. 438 004 IHC; tested species: mouse
The role of subicular VIP-expressing interneurons on seizure dynamics in the intrahippocampal kainic acid model of temporal lobe epilepsy.
Rahimi S, Salami P, Matulewicz P, Schmuck A, Bukovac A, Ramos-Prats A, Tasan RO, Drexel M
Experimental neurology (2023) 370: 114580. 438 004 IHC; tested species: mouse
Targeted proteoform mapping uncovers specific Neurexin-3 variants required for dendritic inhibition.
Hauser D, Behr K, Konno K, Schreiner D, Schmidt A, Watanabe M, Bischofberger J, Scheiffele P
Neuron (2022) 11013: 2094-2109.e10. 438 004 IHC; tested species: mouse
Cat. No.: 438 004
Amount: 100 µl
Price: $375.00
INSIHGT: an accessible multi-scale, multi-modal 3D spatial biology platform.
Yau CN, Hung JTS, Campbell RAA, Wong TCY, Huang B, Wong BTY, Chow NKN, Zhang L, Tsoi EPL, Tan Y, Li JJX, et al.
Nature communications (2024) 151: 10888. 438 004 IHC; tested species: mouse
The role of subicular VIP-expressing interneurons on seizure dynamics in the intrahippocampal kainic acid model of temporal lobe epilepsy.
Rahimi S, Salami P, Matulewicz P, Schmuck A, Bukovac A, Ramos-Prats A, Tasan RO, Drexel M
Experimental neurology (2023) 370: 114580. 438 004 IHC; tested species: mouse
Targeted proteoform mapping uncovers specific Neurexin-3 variants required for dendritic inhibition.
Hauser D, Behr K, Konno K, Schreiner D, Schmidt A, Watanabe M, Bischofberger J, Scheiffele P
Neuron (2022) 11013: 2094-2109.e10. 438 004 IHC; tested species: mouse
Background

Cholecystokinin (CCK) is synthesized as a preprohormone, which is then converted into multiple isoforms. The sulphated octapeptide amide CCK-8 exists as the predominant form of CCK in neurons.

CCK is widely distributed in several brain regions, including hypothalamus, hippocampus, amygdala nuclei, and cortical regions. In the periphery, CCK peptides are mainly produced in small intestinal endocrine I-cells and in neurons of the enteric nervous system.

CCK plays important physiological roles both as a neuropeptide in the central nervous system and as a peptide hormone in the gut. It is released rapidly into the circulation in response to a meal. The greatest stimulator of CCK release is the presence of fatty acids and/or certain amino acids in the chyme entering the duodenum. CCK peptides stimulate pancreatic enzyme secretion and growth, gallbladder contraction, gut motility, and inhibit gastric acid secretion.

In the central nervous system, CCK acts as a neurotransmitter and neuromodulator regulating both the electrical activity of neurons and the release of other neuropeptides. It is involved in feeding, satiety, pain, anxiety, and memory processes.