Tailor-made Antibodies
and Tools for Life Science
Home | | | | | Technical Support

P2Y12 - a Specific Marker for Microglia

 

Overview

SYSY's Anti-P2Y12 Antibodies: Enhanced Precision in Immunohistochemistry

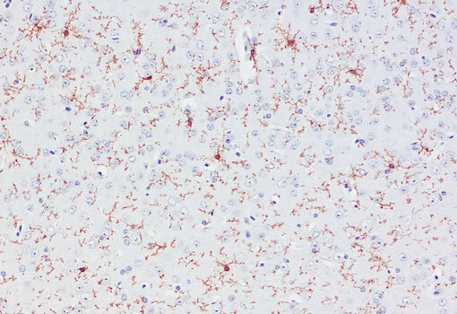
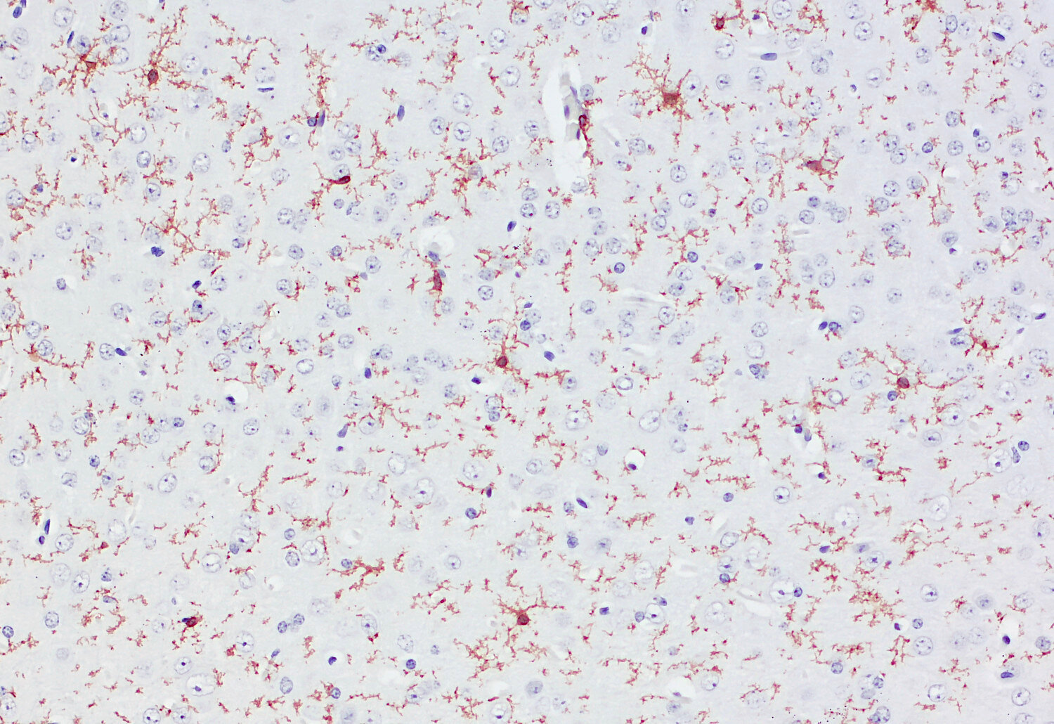
At SYSY, we have developed a highly specific mouse anti-P2Y12 monoclonal antibody (cat. no. 476 011) that provides a superior signal-to-noise ratio and can be diluted up to 1:10,000. This antibody is suitable for use with various tissue preparation methods, including paraffin embedded tissues (FFPE, IHC-P) (figure 1), standard PFA-fixed tissues (IHC), and fresh frozen tissues (IHC-Fr) following methanol post-fixation (figure 2). Notably, our antibody outperforms many available antibodies against microglial markers, particularly in samples that have undergone methanol post-fixation.

To enhance our offerings for multiplex staining, we have expanded our product range to include chimeric recombinant antibodies. This includes a recombinant rabbit anti-P2Y12 (cat. no. 476 008) and a recombinant guinea pig anti-P2Y12 (cat. no. 476 308). All of our P2Y12 antibodies are monoclonal, which ensures minimal batch-to-batch variation. For more information about our recombinant antibodies, please visit our Featured Topic Recombinant Antibodies for Scientific Research.

Indirect immunostaining of PFA fixed, paraffin embedded (FFPE) mouse cortex section with mouse anti-P2Y12 antibody
Indirect immunostaining of methanol postfixed mouse brain fresh frozen section with mouse anti-P2Y12 antibody

Figure 1: Indirect immunostaining of PFA fixed paraffin embedded (FFPE) mouse cortex section with mouse anti-P2Y12 antibody (cat. no. 476 008, dilution 1:5000, DAB). Nuclei have been visualized by hematoxylin staining (blue).

Figure 2: Indirect immunostaining of methanol postfixed mouse brain fresh frozen section with mouse anti-P2Y12 antibody (cat. no. 476 308, dilution 1:5000, green) Nuclei have been visualized by DAPI staining (blue).

 

Scientific Background

P2Y12 receptor is a Gi – coupled purinoceptor and is of particular relevance for microglia function in the central nervous system (CNS) (Lin et al., 2020). This receptor is highly expressed in both, the processes and somata of surveilling microglia, and plays a major role in microglial chemotaxis in response to local CNS injury (Haynes et al., 2006). More recently, P2Y12 receptors have been shown to be concentrated at the interface between microglia processes and neuronal cell bodies (Cserép et al., 2020). To date, P2Y12 receptor is one of the most accepted microglia-specific markers used to distinguish CNS-resident microglia from CNS-associated macrophages (CAMs) (figure 3) and infiltrating monocytes/macrophages (Hashioka et al., 2022).

Indirect immunostaining of a formaldehyde fixed mouse cortex section with mouse anti-P2Y12 antibody
Indirect immunostaining of a formaldehyde fixed mouse hippocampus section of an APP/PS1 mouse with guinea pig anti-P2Y12 antibody

Figure 3: Indirect immunostaining of a formaldehyde fixed mouse cortex section with mouse anti-P2Y12 antibody (cat. no. 476 011, dilution 1:2000, green) and rabbit anti-CD163 antibody (cat. no. HS-455 003, dilution 1:125, red). Nuclei have been visualized by DAPI staining (blue).

 

Figure 4: Indirect immunostaining of a formaldehyde fixed mouse hippocampus section of an APP/PS1 mouse with guinea pig anti-P2Y12 antibody (cat. no. 476 308, dilution 1:10000, red) and rat anti-IBA1 antibody (cat. no. 234 017, dilution 1:500, green). Nuclei have been visualized by DAPI staining (blue).

ADP (adenosine diphosphate), the degradation product of ATP (adenosine triphosphate), is the preferred agonist for the P2Y12 receptor. ATP is released from neurons and other glial cells during normal physiological activity or following tissue damage (Lin et al., 2020, Deitmer et al., 2006, Weilinger et al., 2023). In microglia, the expression level of the P2Y12 receptor is downregulated when these cells enter an activated state known as disease-associated microglia (DAM) (Keren-Shaul et al., 2017). This phenomenon can be observed in the areas surrounding amyloid plaques in APP-PS1 transgenic mice, a common model for Alzheimer's disease (figure 4). Conversely, other microglial markers such as IBA1, CD11b or CD11c, are upregulated during activation. For more information about neuroinflammation, please visit our Featured Topic Battle in the Brain - the two Sides of Neuroinflammation.

In the periphery, P2Y12 receptor is expressed on the surface of platelets and has emerged as a key biological target for antithrombotic drugs due to its pivotal involvement in platelet activation, aggregation, and thrombus formation (Dorsam and Kunapuli 2004).

 

Products

Dear Customer,
thank you for your interest in our products. Our high-quality antibodies are featured in the DNA-PAINT Neuro-Imaging Kits, which are developed and distributed by Massive Photonics GmbH.

To ensure your request is handled efficiently, please use the provided input form to contact Massive Photonics directly.

With kind regards,
Your SYSY Antibodies Team


Cat. No. Product Description Application Quantity Price Cart
476 008P2Y12, rabbit, monoclonal, recombinant IgGrecombinant IgG
mouse specific
IHC IHC-P IHC-Fr 50 µg$420.00
476 011P2Y12, mouse, monoclonal, purified IgG IgG K.O.
mouse specific
IHC IHC-P IHC-Fr 100 µg$420.00
476 308P2Y12, Guinea pig, monoclonal, recombinant IgGrecombinant IgG K.O.
mouse specific
IHC IHC-P IHC-Fr 50 µg$420.00
Result count: 3
 

The SYSY product range features a diverse selection of antibodies that are perfectly tailored for microglia and macrophage research:

 

Author: Dr. Liane Wüstefeld

Head of Histology Department with main emphasis in neuroscience. As an expert for histology, Liane validates our in-house developed antibodies for the immunohistochemistry (IHC) application.

 

Literature

Cserép et al., 2020: Microglia monitor and protect neuronal function through specialized somatic purinergic junctions. PMID: 31831638

Deitmer et al., 2006: Modulation of synaptic activity in Purkinje neurons by ATP. PMID: 16527764

Dorsam and Kunapuli 2004: Central role of the P2Y12 receptor in platelet activation. PMID: 14755328

Haynes et al., 2006: The P2Y12 receptor regulates microglial activation by extracellular nucleotides. PMID: 17115040

Hashioka et al., 2022: Contribution of "Genuine Microglia" to Alzheimer's Disease Pathology. PMID: 35401156

Keren-Shaul et al., 2017: A Unique Microglia Type Associated with Restricting Development of Alzheimer's Disease. PMID: 28602351

Lin et al., 2020: The Safeguarding Microglia: Central Role for P2Y12 Receptors. PMID: 33519493

Weilinger et al., 2023: Pannexin-1 opening in neuronal edema causes initial cell death but also leads to protection via increased microglia contacts. PMID: 37742194