Tailor-made Antibodies
and Tools for Life Science
Home | | | | | Technical Support

Desmin antibody - HS-511 008

Desmin is a muscle specific type III intermediate filament
Rabbit monoclonal recombinant IgG
Cat. No.: HS-511 008
Amount: 50 µg
Price: $420.00
Cat. No. HS-511 008 50 µg purified recombinant IgG, lyophilized. Albumin and azide were added for stabilization. For reconstitution add 50 µl H2O to get a 1mg/ml solution in PBS. Then aliquot and store at -20°C to -80°C until use.
Antibodies should be stored at +4°C when still lyophilized. Do not freeze!
Applications
 
WB: 1 : 1000 (AP staining) gallery  
IP: not tested yet
ICC: not tested yet
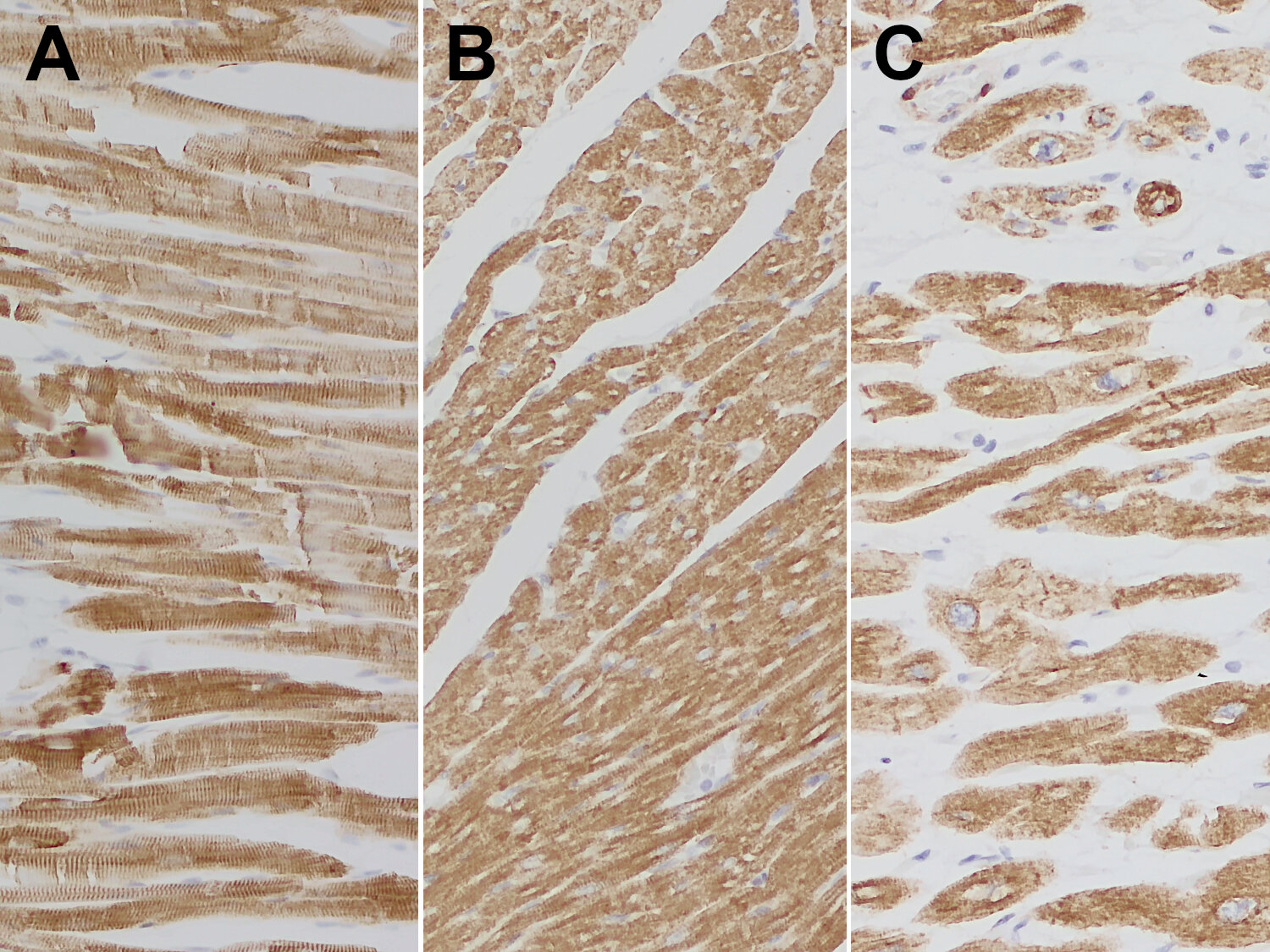
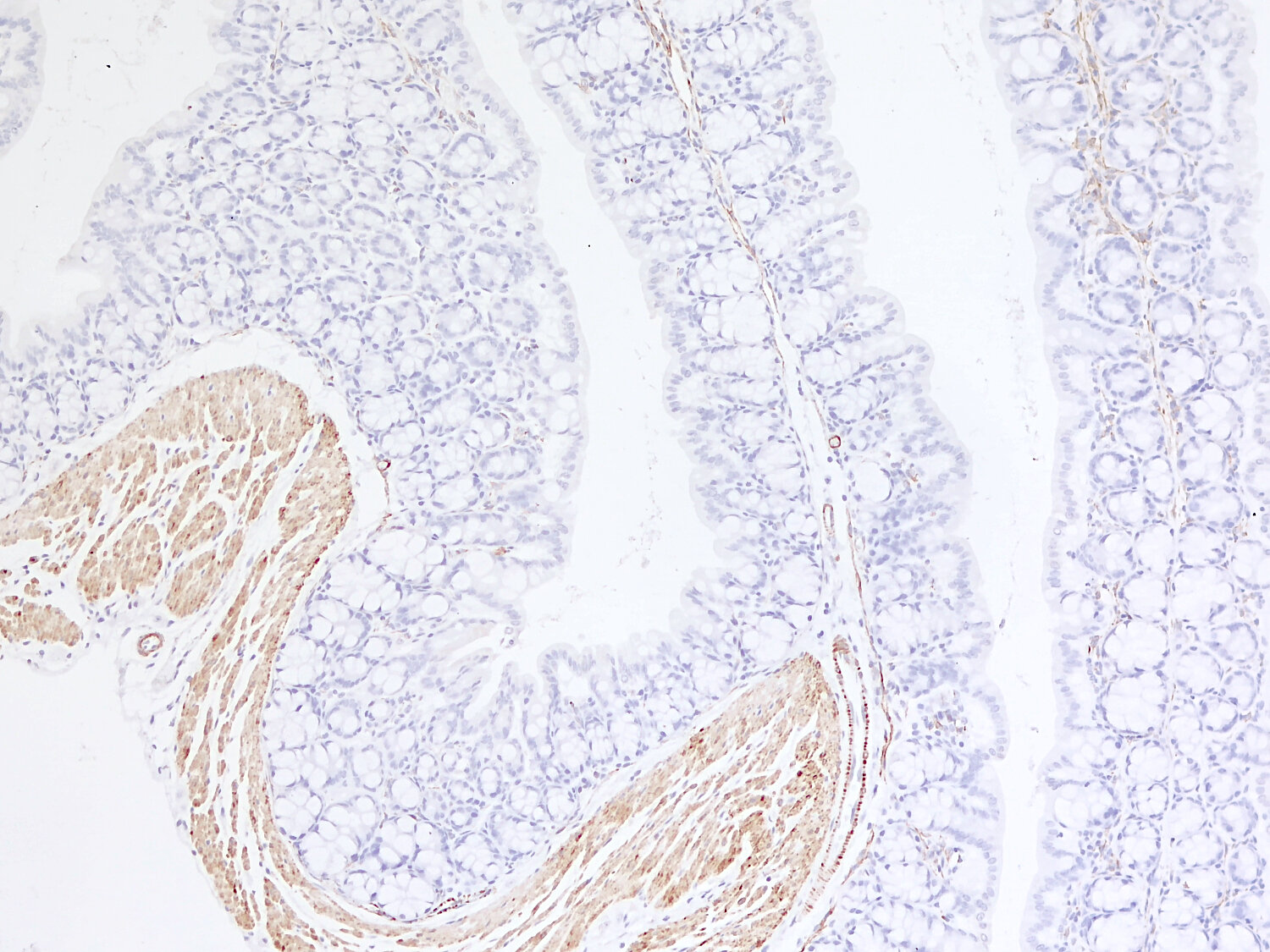
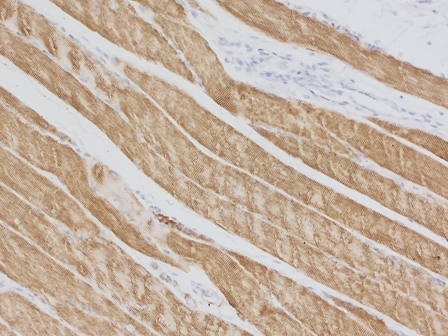
IHC: 1 : 500 gallery  
IHC-P: 1 : 1000 up to 1 : 4000 gallery  

Western blot (WB); separation of proteins by PAGE and subsequent transfer to a membrane. Detection of target molecules is carried out with antibodies. Some antibodies require special sample preparation steps. For details, please refer to the “Remarks” section.

Immunoprecipitation (IP); Immunoisolation or pulldown of a target molecule using an antibody. For details and product specific hints, please refer to the ”Remarks” section.

Immunocytochemistry (ICC) on 4% PFA fixed cells. Immunoreactivity is usually revealed by fluorescence. Some antibodies require special fixation methods. For details, please refer to the “Remarks” section.

Immunohistochemistry (IHC) on 4% PFA perfusion fixed tissue with 24h PFA post fixation. Immunoreactivity is usually revealed by fluorescence or a chromogenic substrate. Some antibodies require special fixation methods or antigen retrieval steps. For details, please refer to the ”Remarks” section.

Immunohistochemistry (IHC-P) of formalin fixed, paraffin embedded (FFPE) tissue (some antibodies require special antigen retrieval steps, please refer to the ”Remarks” section). Immunoreactivity is usually revealed by fluorescence or a chromogenic substrate.

Clone RbDeu10
Subtype IgG1 (κ light chain)
Immunogen Purified porcine Desmin (UniProt Id: P02540)
Reactivity Reacts with: mouse (P31001), human (P17661), rat (P48675).
Other species not tested yet.
Remarks

This antibody is a chimeric antibody based on the monoclonal mouse antibody DE-U-10. The constant regions of the heavy and light chains have been replaced by rabbit specific sequences. The antibody can therefore be used with standard anti-rabbit secondary reagents. The antibody has been expressed in mammalian cells.

Data sheet hs-511_008.pdf
Important information
This product belongs to the HistoSure product line of antibodies developed for and extensively tested in FFPE tissues.
For more information please visit our HistoSure brand website.
Cat. No.: HS-511 008
Amount: 50 µg
Price: $420.00
Background

Desmin is the most important muscular intermediate filament (IF) and is expressed in cardiac, skeletal and smooth muscles. Desmin IFs envelop myofibrils at the level of Z-disks and extend from the nuclear envelope to the sarcolemma and various organelles such as nuclei, mitochondria, and the sarcoplasmic reticulum (1). In this way, desmin IFs contribute to structural and mechanical support, cellular integrity, force transmission, and mitochondrial homeostasis (1). Desmin knockout-mice develop normally and are fertile. However, after birth mice develop cardiovascular lesions and skeletal myopathy (2). Studies in these mice suggest that desmin is not required for myogenic commitment, differentiation or fusion, but is essential for maintaining the tensile strength and integrity of muscle fibers (3). In humans, missense mutations in the desmin gene (DES) also cause a distinct “desmin myopathy”, which is often associated with cardiomyopathy (4).