Tailor-made Antibodies
and Tools for Life Science
Home | | | | | Technical Support

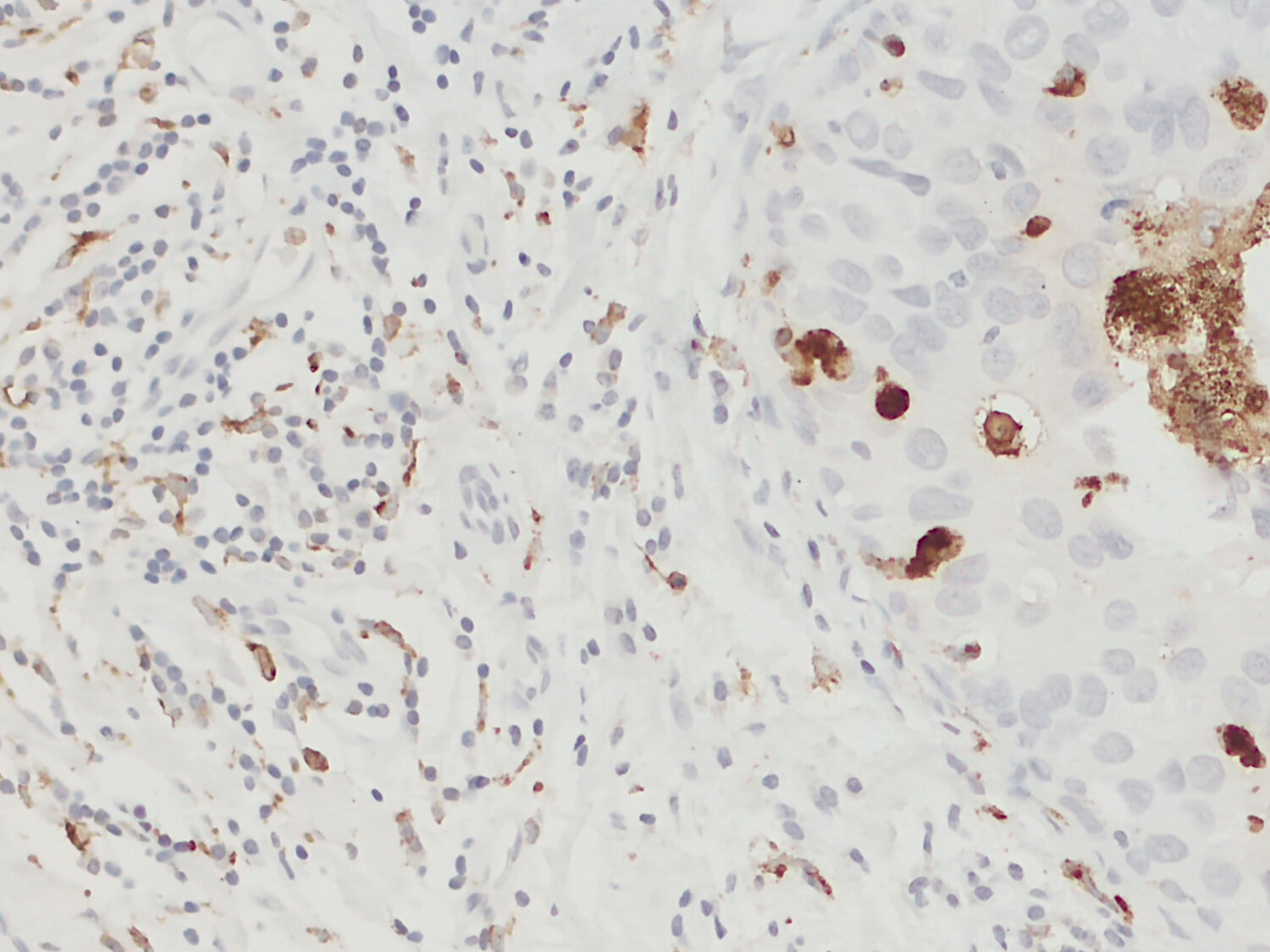
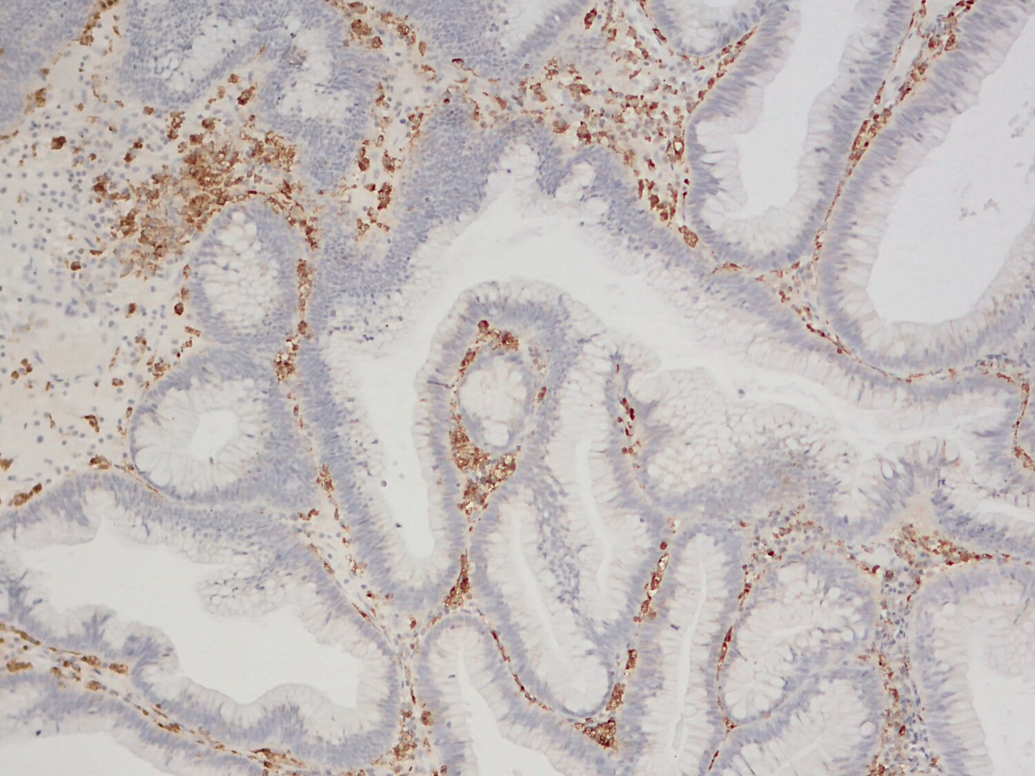
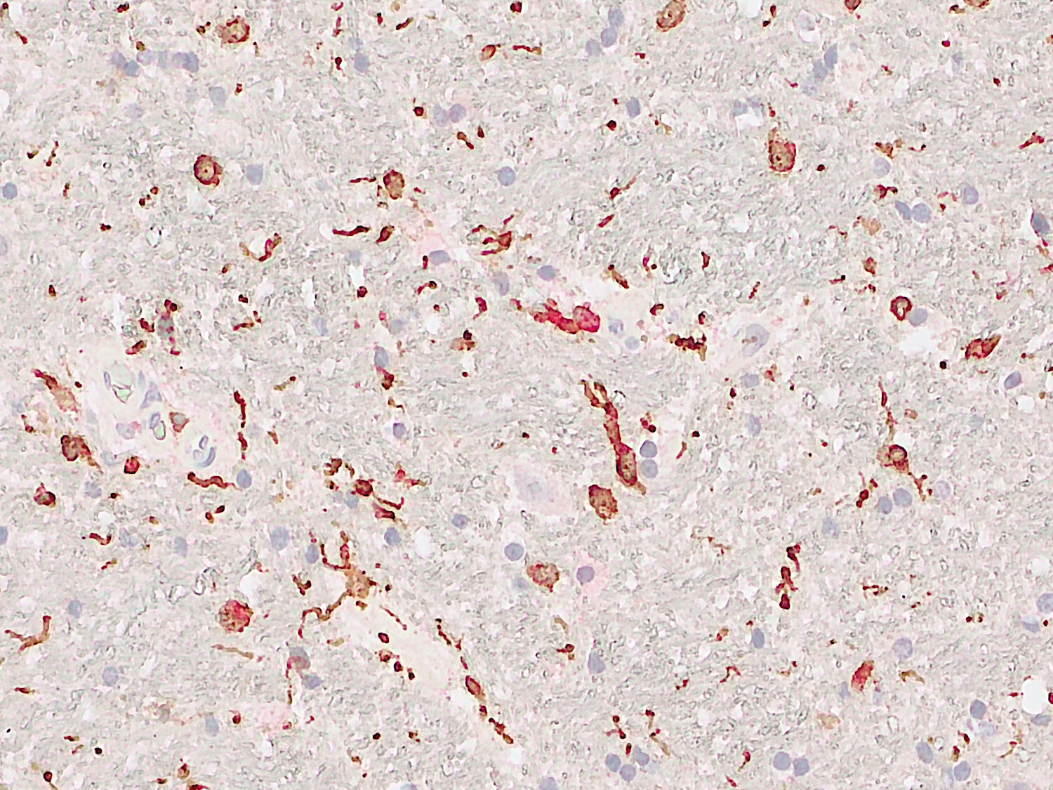
CD68 antibody human specific - HS-460 008

CD68 is a marker for macrophages and activated microglia
Rabbit monoclonal recombinant IgG
Cat. No.: HS-460 008
Amount: 100 µl
Price: $420.00
Cat. No. HS-460 008 100 µl purified recombinant IgG, lyophilized. Albumin and azide were added for stabilization. For reconstitution add 100 µl H2O. Then aliquot and store at -20°C to -80°C until use.
Antibodies should be stored at +4°C when still lyophilized. Do not freeze!
Applications
 
WB: 1 : 1000 (AP staining) gallery  
IP: not tested yet
ICC: not tested yet
IHC: not tested yet
IHC-P: 1 : 400 up to 1 : 1000 gallery  

Western blot (WB); separation of proteins by PAGE and subsequent transfer to a membrane. Detection of target molecules is carried out with antibodies. Some antibodies require special sample preparation steps. For details, please refer to the “Remarks” section.

Immunoprecipitation (IP); Immunoisolation or pulldown of a target molecule using an antibody. For details and product specific hints, please refer to the ”Remarks” section.

Immunocytochemistry (ICC) on 4% PFA fixed cells. Immunoreactivity is usually revealed by fluorescence. Some antibodies require special fixation methods. For details, please refer to the “Remarks” section.

Immunohistochemistry (IHC) on 4% PFA perfusion fixed tissue with 24h PFA post fixation. Immunoreactivity is usually revealed by fluorescence or a chromogenic substrate. Some antibodies require special fixation methods or antigen retrieval steps. For details, please refer to the ”Remarks” section.

Immunohistochemistry (IHC-P) of formalin fixed, paraffin embedded (FFPE) tissue (some antibodies require special antigen retrieval steps, please refer to the ”Remarks” section). Immunoreactivity is usually revealed by fluorescence or a chromogenic substrate.

Clone Rb186F9
Subtype IgG1 (κ light chain)
Immunogen synthetic peptide corresponding to residues near the carboxy terminus of human CD68 (UniProt Id: P34810)
Reactivity Reacts with: human (P34810).
No signal: mouse (P31996).
Other species not tested yet.
Remarks

This antibody is a chimeric antibody based on the monoclonal rat antibody clone 186F9B4. The constant regions of the heavy and light chains have been replaced by rabbit specific sequences. Therefore, the antibody can be used with standard anti-rabbit secondary reagents. The antibody has been expressed in mammalian cells.

Data sheet hs-460_008.pdf
Important information
This product belongs to the HistoSure product line of antibodies developed for and extensively tested in FFPE tissues.
For more information please visit our HistoSure brand website.
Cat. No.: HS-460 008
Amount: 100 µl
Price: $420.00
Background

CD68, also called Lamp-4 in humans or macrosialin in mice, is a highly glycosylated type I transmembrane protein that belongs to the lysosome associated membrane protein (LAMP) family (1). CD68 expression is increased in cells associated with elevated phagocytic and degradative activity. High CD68 expression is detected in cells of the mononuclear phagocyte lineage including macrophages, osteoclasts, and myeloid dendritic cells (2). CD68 is a marker of activated microglia and only expressed at low levels in resting microglia (3). Staining for CD68 is predominantly intracellular, only 10 -15% of it is found on the cell surface. In oncology research, CD68 is the major biomarker for quantification of tumor-associated macrophages (TAMs) (4). High infiltration of CD68+ macrophages is an independent prognostic factor for overall survival in several tumor entities (5).