Tailor-made Antibodies
and Tools for Life Science
Home | | | | | Technical Support

CD163 antibody mouse specific - HS-455 003

The scavenger receptor CD163 is a marker of cells from the monocyte / macrophage lineage
Rabbit polyclonal purified antibody
Cat. No.: HS-455 003
Amount: 200 µl
Price: $375.00
Cat. No. HS-455 003 200 µl specific antibody, lyophilized. Affinity purified with the immunogen. Albumin and azide were added for stabilization. For reconstitution add 200 µl H2O. Then aliquot and store at -20°C to -80°C until use.
Antibodies should be stored at +4°C when still lyophilized. Do not freeze!
Applications
 
WB: 1 : 1000 (AP staining) gallery  
IP: not tested yet
ICC: not tested yet
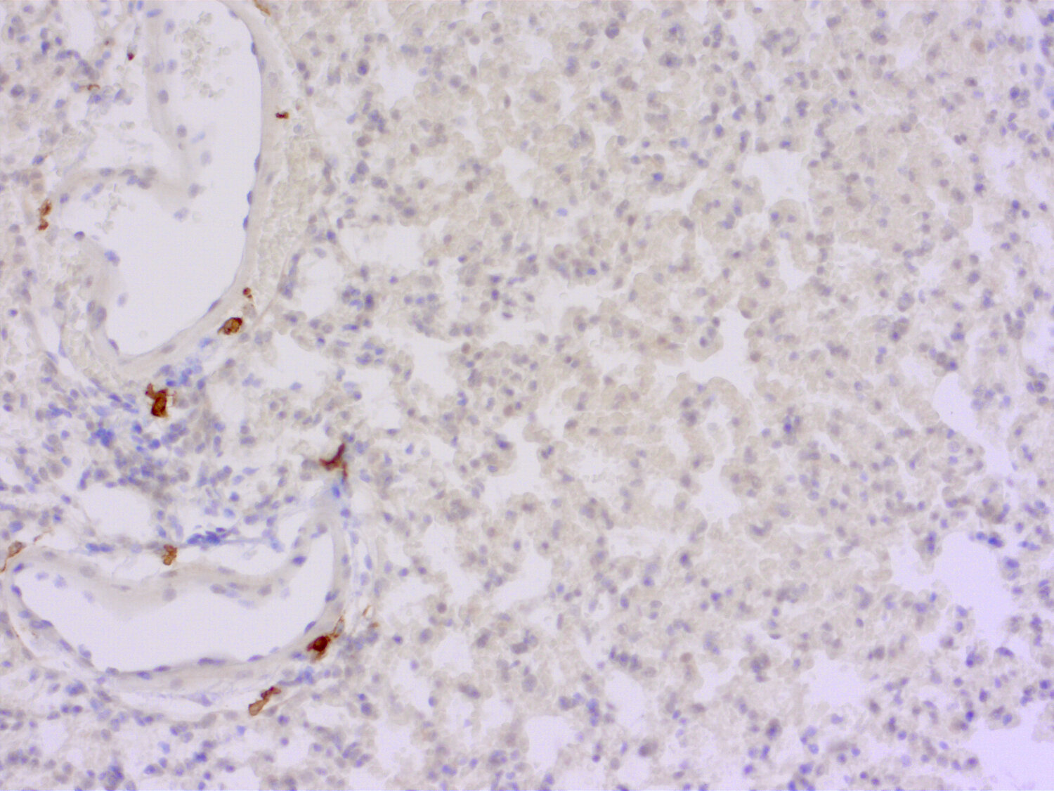
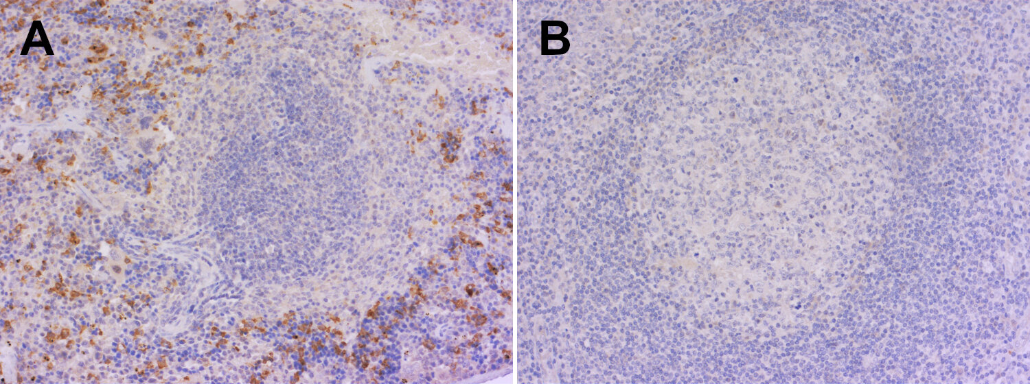
IHC: 1 : 125 gallery  
IHC-P: 1 : 250 gallery  

Western blot (WB); separation of proteins by PAGE and subsequent transfer to a membrane. Detection of target molecules is carried out with antibodies. Some antibodies require special sample preparation steps. For details, please refer to the “Remarks” section.

Immunoprecipitation (IP); Immunoisolation or pulldown of a target molecule using an antibody. For details and product specific hints, please refer to the ”Remarks” section.

Immunocytochemistry (ICC) on 4% PFA fixed cells. Immunoreactivity is usually revealed by fluorescence. Some antibodies require special fixation methods. For details, please refer to the “Remarks” section.

Immunohistochemistry (IHC) on 4% PFA perfusion fixed tissue with 24h PFA post fixation. Immunoreactivity is usually revealed by fluorescence or a chromogenic substrate. Some antibodies require special fixation methods or antigen retrieval steps. For details, please refer to the ”Remarks” section.

Immunohistochemistry (IHC-P) of formalin fixed, paraffin embedded (FFPE) tissue (some antibodies require special antigen retrieval steps, please refer to the ”Remarks” section). Immunoreactivity is usually revealed by fluorescence or a chromogenic substrate.

Immunogen Synthetic peptide corresponding to residues surrounding AA880 of mouse CD163 (UniProt Id: Q2VLH6)
Reactivity Reacts with: mouse (Q2VLH6).
No signal: human (Q86VB7), rat.
Other species not tested yet.
Remarks

IHC: Antigen retrieval with citrate buffer pH 6 is required.

Data sheet hs-455_003.pdf
Important information
This product belongs to the HistoSure product line of antibodies developed for and extensively tested in FFPE tissues.
For more information please visit our HistoSure brand website.
Cat. No.: HS-455 003
Amount: 200 µl
Price: $375.00
Background

CD163 is a member of the group B scavenger receptor cysteine-rich (SRCR) superfamily expressed on human and murine macrophages. CD163 is also expressed in human monocytes, but not in circulating mouse monocytes (1). CD163 expression is significantly induced by anti-inflammatory stimuli like glucocorticoids and dexamethasone. Inflammatory stimuli like interferon γ and LPS suppress CD163 expression in macrophages (2). In mice, CD163 is mainly expressed by tissue-resident macrophages including Kupffer cells of the liver, red pulp macrophages in the spleen, perivascular macrophages of the CNS (3), and bone-marrow resident macrophages (4), but not by classical bone-marrow derived macrophages (4). In malignant tumors in mice and humans, macrophage CD163-mediated induction of IL-6 promotes tumor development and progression (4). The pool of tumor-associated macrophages (TAMs) is composed of both newly recruited monocyte derived macrophages and resident macrophages (5). CD163-positive tissue-resident macrophages have been shown to play a specific role in the malignant spread of disseminated tumor cells and the development of invasive disease in a mouse model of metastatic ovarian cancer (1). CD163 is considered useful to distinguish CD163-positive resident macrophages from CD163-negative bone-marrow derived macrophages in mice (4).