Tailor-made Antibodies
and Tools for Life Science
Home | | | | | Technical Support

Chil3 (YM1) antibody mouse specific - HS-442 117

Chil3/YM1 is a marker protein for murine neutrophils and M2 macrophages
Rat monoclonal purified IgG
Cat. No.: HS-442 117
Amount: 100 µg
Price: $420.00
Cat. No. HS-442 117 100 µg purified IgG, lyophilized. Albumin and azide were added for stabilization. For reconstitution add 100 µl H2O to get a 1mg/ml solution in PBS. Then aliquot and store at -20°C to -80°C until use.
Antibodies should be stored at +4°C when still lyophilized. Do not freeze!
Applications
 
WB: 1 : 1000 (AP staining) gallery  
IP: not tested yet
ICC: 1 : 500 gallery  
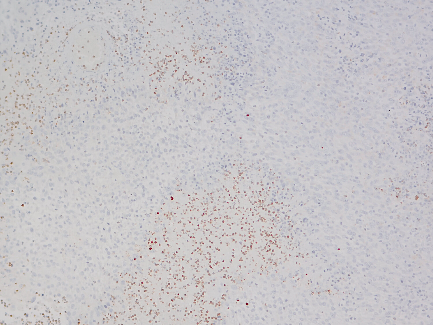
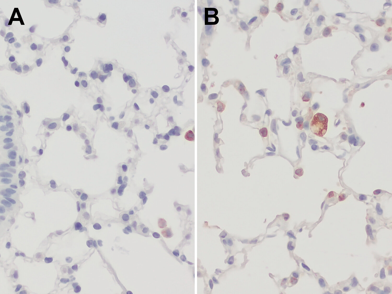
IHC: 1 : 2500 gallery  
IHC-P: 1 : 1000 up to 1 : 4000 gallery  

Western blot (WB); separation of proteins by PAGE and subsequent transfer to a membrane. Detection of target molecules is carried out with antibodies. Some antibodies require special sample preparation steps. For details, please refer to the “Remarks” section.

Immunoprecipitation (IP); Immunoisolation or pulldown of a target molecule using an antibody. For details and product specific hints, please refer to the ”Remarks” section.

Immunocytochemistry (ICC) on 4% PFA fixed cells. Immunoreactivity is usually revealed by fluorescence. Some antibodies require special fixation methods. For details, please refer to the “Remarks” section.

Immunohistochemistry (IHC) on 4% PFA perfusion fixed tissue with 24h PFA post fixation. Immunoreactivity is usually revealed by fluorescence or a chromogenic substrate. Some antibodies require special fixation methods or antigen retrieval steps. For details, please refer to the ”Remarks” section.

Immunohistochemistry (IHC-P) of formalin fixed, paraffin embedded (FFPE) tissue (some antibodies require special antigen retrieval steps, please refer to the ”Remarks” section). Immunoreactivity is usually revealed by fluorescence or a chromogenic substrate.

Clone SY-301F10
Subtype IgG2a (λ light chain)
Immunogen Synthetic peptide corresponding to residues surrounding AA 280 of mouse Chil3 (UniProt Id: O35744)
Reactivity Reacts with: mouse (O35744).
No signal: human.
Other species not tested yet.
Specificity Specific for mouse Chil3/YM1; no cross-reactivity with Chil4/YM2
Data sheet hs-442_117.pdf
Important information
This product belongs to the HistoSure product line of antibodies developed for and extensively tested in FFPE tissues.
For more information please visit our HistoSure brand website.
Cat. No.: HS-442 117
Amount: 100 µg
Price: $420.00
Background

Chitinase-like protein 3 (Chil3), commonly referred to as YM1, is a rodent-specific secreted glycoprotein that belongs to the chitinase-like protein (CLP) family, sharing structural similarity with true chitinases but lacking enzymatic activity. It is predominantly expressed by alternatively activated (M2) macrophages, eosinophils, and neutrophils in mice, particularly under type 2 immune conditions such as allergic inflammation, parasitic infection, and tissue repair (1). Chil3 / YM1 expression is strongly induced by IL-4 and IL-13, hallmark cytokines of Th2-driven responses. Alongside Arginase-1 (Arg1) and Fizz1 (Retnla), Chil3 / YM1 is commonly used as a biomarker of M2 macrophage polarization in murine models (2). In healthy adult mice, Chil3 / YM1 is constitutively expressed in alveolar macrophages and neutrophils in the lung and in immature neutrophils in the spleen and bone marrow (1). Its isotype Chil4 / YM2 shows a different expression pattern and is mainly expressed in the stomach (3). In the central nervous system microglia can also induce Chil3 / YM1 expression under specific inflammatory conditions, e.g. after stroke (4).