Tailor-made Antibodies
and Tools for Life Science
Home | | | | | Technical Support

CD19 antibody human specific - HS-439 108

CD19 is a B-lymphocyte antigen
Rabbit monoclonal recombinant IgG
Cat. No.: HS-439 108
Amount: 50 µg
Price: $420.00
Cat. No. HS-439 108 50 µg purified recombinant IgG, lyophilized. Albumin and azide were added for stabilization. For reconstitution add 50 µl H2O to get a 1mg/ml solution in PBS. Then aliquot and store at -20°C to -80°C until use.
Antibodies should be stored at +4°C when still lyophilized. Do not freeze!
Applications
 
WB: 1 : 1000 (AP staining) gallery  
IP: not tested yet
ICC: not tested yet
IHC: not tested yet
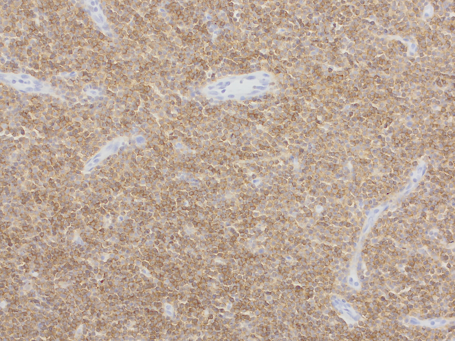
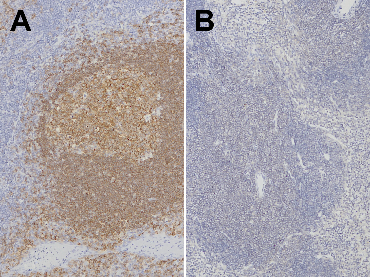
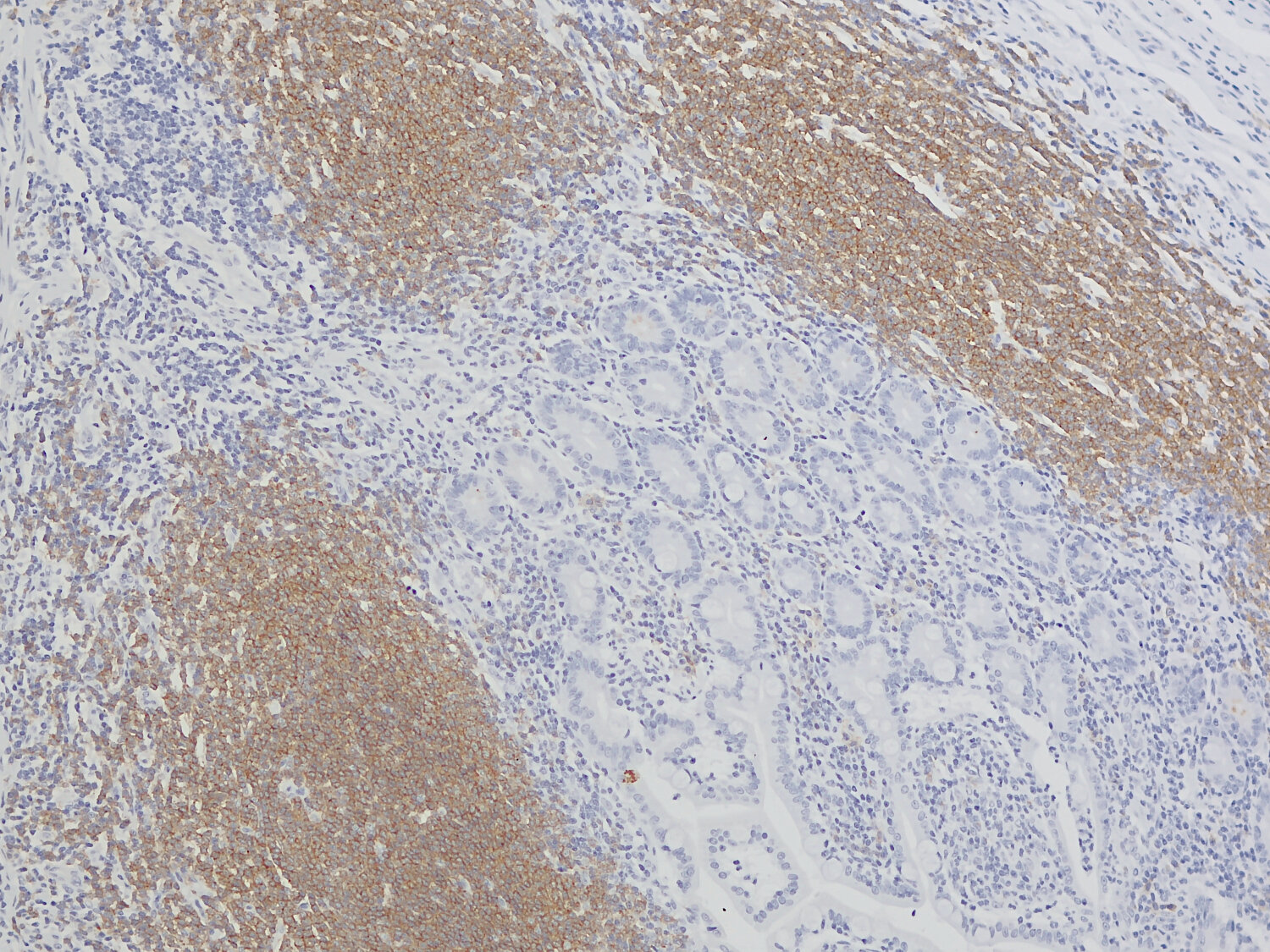
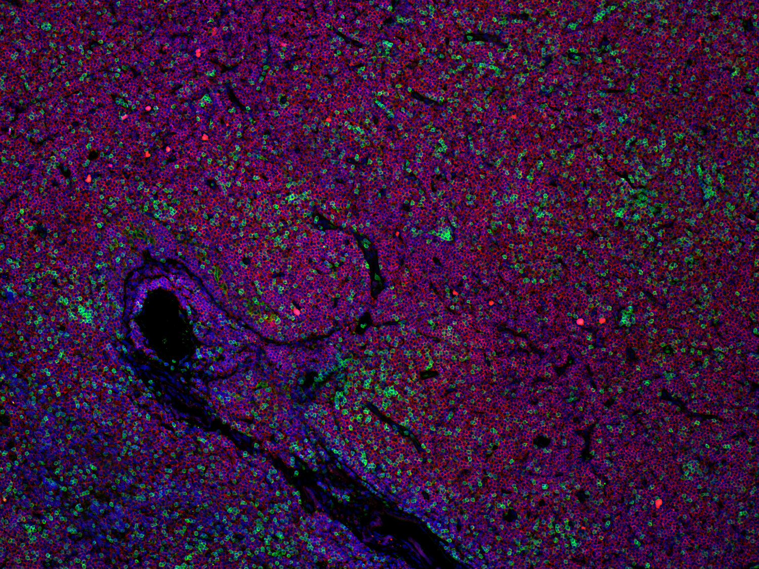
IHC-P: 1 : 4000 gallery  

Western blot (WB); separation of proteins by PAGE and subsequent transfer to a membrane. Detection of target molecules is carried out with antibodies. Some antibodies require special sample preparation steps. For details, please refer to the “Remarks” section.

Immunoprecipitation (IP); Immunoisolation or pulldown of a target molecule using an antibody. For details and product specific hints, please refer to the ”Remarks” section.

Immunocytochemistry (ICC) on 4% PFA fixed cells. Immunoreactivity is usually revealed by fluorescence. Some antibodies require special fixation methods. For details, please refer to the “Remarks” section.

Immunohistochemistry (IHC) on 4% PFA perfusion fixed tissue with 24h PFA post fixation. Immunoreactivity is usually revealed by fluorescence or a chromogenic substrate. Some antibodies require special fixation methods or antigen retrieval steps. For details, please refer to the ”Remarks” section.

Immunohistochemistry (IHC-P) of formalin fixed, paraffin embedded (FFPE) tissue (some antibodies require special antigen retrieval steps, please refer to the ”Remarks” section). Immunoreactivity is usually revealed by fluorescence or a chromogenic substrate.

Clone Rb227A1
Subtype IgG1 (κ light chain)
Immunogen Synthetic peptide corresponding to residues near the carboxy terminus of human CD19 (UniProt Id: P15391)
Reactivity Reacts with: human (P15391).
No signal: mouse (P25918), rat.
Other species not tested yet.
Remarks

This antibody is a chimeric antibody based on the monoclonal rat antibody SY-227A1. The constant regions of the heavy and light chains have been replaced by rabbit specific sequences. The antibody can therefore be used with standard anti-rabbit secondary reagents. The antibody has been expressed in mammalian cells.

Data sheet hs-439_108.pdf
Important information
This product belongs to the HistoSure product line of antibodies developed for and extensively tested in FFPE tissues.
For more information please visit our HistoSure brand website.
Cat. No.: HS-439 108
Amount: 50 µg
Price: $420.00
Background

CD19 (Cluster of Differentiation 19) is a B cell-restricted signal-transduction molecule that plays an important role in the regulation of development, activation, and differentiation of B-lymphocytes. CD19 is considered as a biomarker for B-cells because of its continued expression from very early B cell development stages, being evident already on pro-B cells and on all later B cell stages, until plasma cell terminal differentiation, when its expression is lost. In complex with CD21 (complement receptor-2), CD81 and CD225 (Leu-13), CD19 functions as a dominant signaling receptor on the surface of mature B cells (1). CD19 is instrumental in B cell homeostasis and lowers the threshold of B cell receptor crosslinking necessary to effect B-cell activation and sustain proliferation upon antigen encounter (2). Dysregulated CD19 expression has been implicated in several autoimmune diseases and CD19 is expressed in most acute lymphoblastic leukemias (ALL), chronic lymphocytic leukemias (CLL) and other B cell lymphomas (3). Therefore, CD19 has gained attention as a potential target in the therapy of B-cell malignancies (4).