Tailor-made Antibodies
and Tools for Life Science
Home | | | | | Technical Support

CD11b antibody human specific - HS-384 017

CD11b is a component of the macrophage-1 antigen (Mac-1)
Rat monoclonal purified IgG
Cat. No.: HS-384 017
Amount: 200 µl
Price: $420.00
Cat. No. HS-384 017 200 µl purified IgG, lyophilized. Albumin and azide were added for stabilization. For reconstitution add 200 µl H2O. Then aliquot and store at -20°C to -80°C until use.
Antibodies should be stored at +4°C when still lyophilized. Do not freeze!
Applications
 
WB: 1 : 1000 (AP staining) gallery  
IP: not tested yet
ICC: not tested yet
IHC: not tested yet
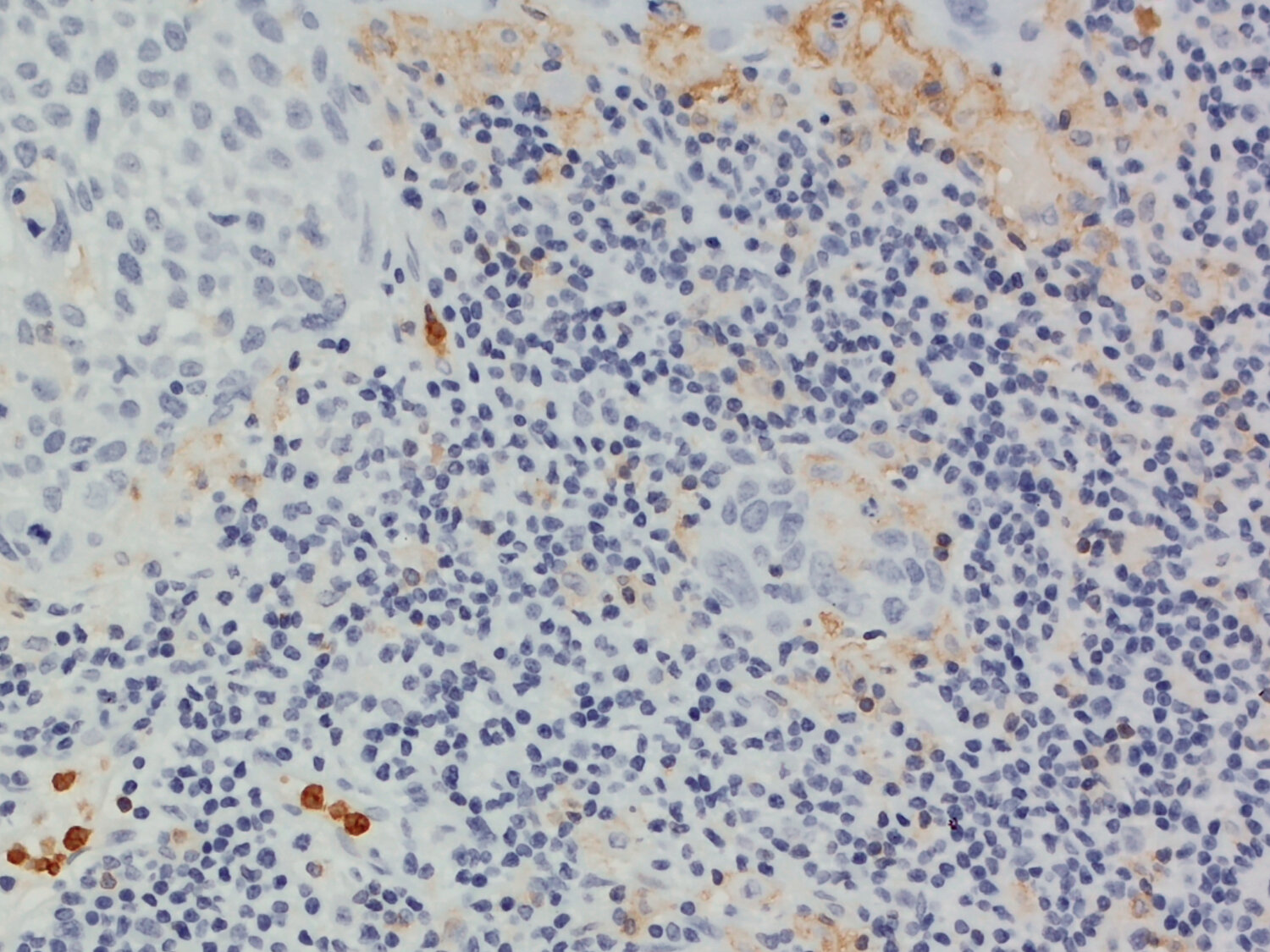
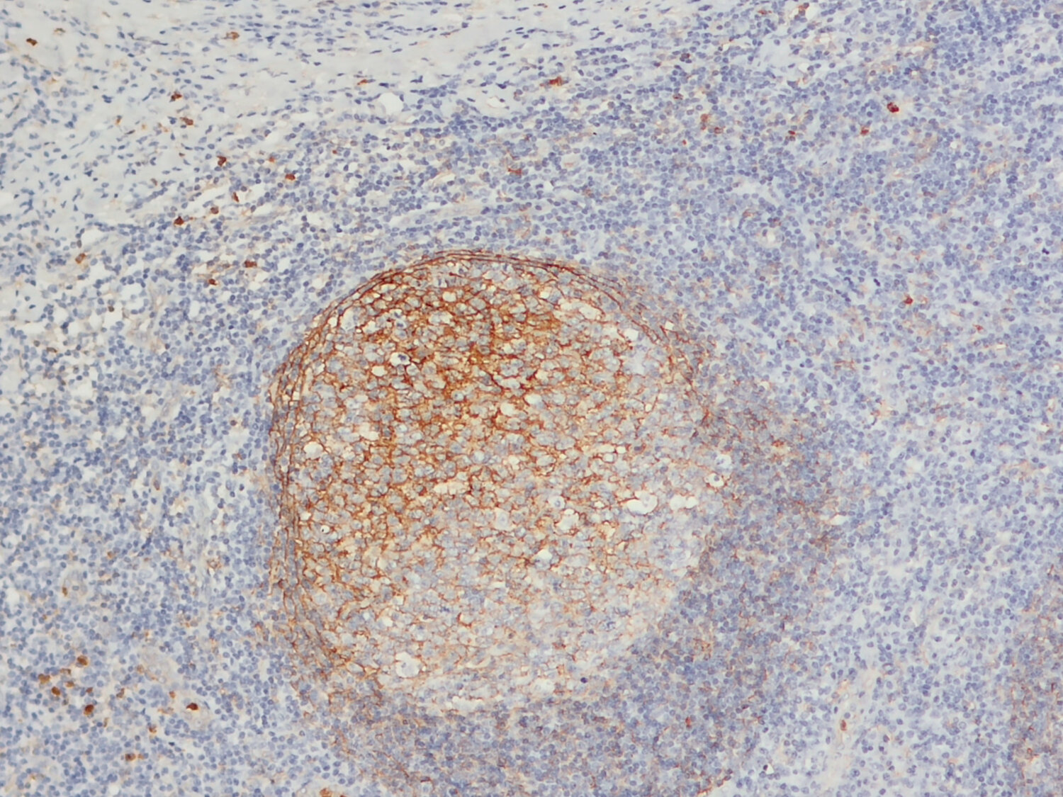
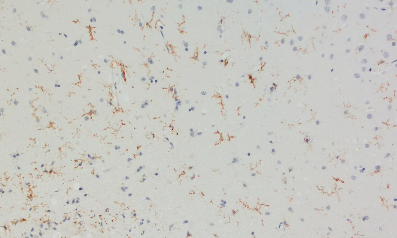
IHC-P: 1 : 100 (see remarks) gallery  

Western blot (WB); separation of proteins by PAGE and subsequent transfer to a membrane. Detection of target molecules is carried out with antibodies. Some antibodies require special sample preparation steps. For details, please refer to the “Remarks” section.

Immunoprecipitation (IP); Immunoisolation or pulldown of a target molecule using an antibody. For details and product specific hints, please refer to the ”Remarks” section.

Immunocytochemistry (ICC) on 4% PFA fixed cells. Immunoreactivity is usually revealed by fluorescence. Some antibodies require special fixation methods. For details, please refer to the “Remarks” section.

Immunohistochemistry (IHC) on 4% PFA perfusion fixed tissue with 24h PFA post fixation. Immunoreactivity is usually revealed by fluorescence or a chromogenic substrate. Some antibodies require special fixation methods or antigen retrieval steps. For details, please refer to the ”Remarks” section.

Immunohistochemistry (IHC-P) of formalin fixed, paraffin embedded (FFPE) tissue (some antibodies require special antigen retrieval steps, please refer to the ”Remarks” section). Immunoreactivity is usually revealed by fluorescence or a chromogenic substrate.

Clone 194B8D5
Subtype IgG2b (κ light chain)
Immunogen Synthetic peptide corresponding to residues near the carboxy terminus of human CD11b (UniProt Id: P11215)
Reactivity Reacts with: human (P11215).
No signal: mouse (P05555).
Other species not tested yet.
Remarks

IHC-P: This antibody shows weak non-specific cross-reactivity to murine macrophages after antigen retrieval at very high temperatures (121°, pressure cooker). Use appropriate controls when optimizing your IHC-P protocol for detection of human cells in humanized mouse models.

Data sheet hs-384_017.pdf
Important information
This product belongs to the HistoSure product line of antibodies developed for and extensively tested in FFPE tissues.
For more information please visit our HistoSure brand website.
Cat. No.: HS-384 017
Amount: 200 µl
Price: $420.00
Background

CD11b also called integrin alpha-M (ITGAM) is one protein subunit that forms together with CD18 the heterodimeric integrin αMβ2 complex, also known as macrophage-1 antigen (Mac-1) or complement receptor 3 (CR3) (1). αMβ2 is expressed on polymorphonuclear neutrophils (PMN), monocytes, macrophages, some subsets of cytotoxic T lymphocytes, and NK cells. Antibodies against CD11b are frequently used to identify macrophages and microglia, however not all tissue-resident macrophages are CD11b positive. In the murine liver CD11b expression is rare and almost exclusively found on F4/80 negative cells (2). In the murine spleen CD11b+ cells are less numerous than F4/80+ cells, co-expression of CD11b and F4/80 is also rare and CD11b+ cells tend to be closer to the marginal zone (2). CD11b upregulation on residential alveolar macrophages is a marker of acute and chronic lung inflammation in mice (3). Also, in the brain CD11b is markedly increased during microglial activation (4).