Tailor-made Antibodies
and Tools for Life Science
Home | | | | | Technical Support

CD4 antibody mouse specific - HS-360 117

CD4 is a T-cell surface glycoprotein
Rat monoclonal purified IgG
Cat. No.: HS-360 117
Amount: 200 µl
Price: $420.00
Cat. No. HS-360 117 200 µl purified IgG, lyophilized. Albumin and azide were added for stabilization. For reconstitution add 200 µl H2O. Then aliquot and store at -20°C to -80°C until use.
Antibodies should be stored at +4°C when still lyophilized. Do not freeze!
Applications
 
WB: 1 : 1000 (AP staining) gallery  
IP: not tested yet
ICC: not tested yet
IHC: 1 : 100 gallery  
IHC-P: 1 : 100 gallery  
IHC-Fr: 1 : 100 gallery  

Western blot (WB); separation of proteins by PAGE and subsequent transfer to a membrane. Detection of target molecules is carried out with antibodies. Some antibodies require special sample preparation steps. For details, please refer to the “Remarks” section.

Immunoprecipitation (IP); Immunoisolation or pulldown of a target molecule using an antibody. For details and product specific hints, please refer to the ”Remarks” section.

Immunocytochemistry (ICC) on 4% PFA fixed cells. Immunoreactivity is usually revealed by fluorescence. Some antibodies require special fixation methods. For details, please refer to the “Remarks” section.

Immunohistochemistry (IHC) on 4% PFA perfusion fixed tissue with 24h PFA post fixation. Immunoreactivity is usually revealed by fluorescence or a chromogenic substrate. Some antibodies require special fixation methods or antigen retrieval steps. For details, please refer to the ”Remarks” section.

Immunohistochemistry (IHC-P) of formalin fixed, paraffin embedded (FFPE) tissue (some antibodies require special antigen retrieval steps, please refer to the ”Remarks” section). Immunoreactivity is usually revealed by fluorescence or a chromogenic substrate.

Immunohistochemistry on fresh frozen (IHC-Fr) cryo-tissue-sections. In contrast to standard PFA perfusion fixed tissues, fresh frozen cryo-tissue-sections can be variably postfixed with alcohols, acetone or PFA. Alcohol or acetone fixation is e.g. of advantage for antigens masked by PFA crosslinking. For recommended postfixation, please refer to the ”Remarks” section. Immunoreactivity is usually revealed by fluorescence or a chromogenic substrate.

Clone 78H9D2
Subtype IgG2b (κ light chain)
Immunogen Recombinant protein corresponding to AA 27 to 394 from mouse CD4 (UniProt Id: P06332)
Reactivity Reacts with: mouse (P06332).
No signal: human (P01730), rat (P05540).
Other species not tested yet.
Remarks

IHC: Antigen retrieval with citrate buffer pH 6 is required.
IHC-Fr: The following fixatives are possible: methanol, 4% formaldehyde/PFA

Data sheet hs-360_117.pdf
Important information
This product belongs to the HistoSure product line of antibodies developed for and extensively tested in FFPE tissues.
For more information please visit our HistoSure brand website.

References for CD4 - HS-360 117

INSIHGT: an accessible multi-scale, multi-modal 3D spatial biology platform.
Yau CN, Hung JTS, Campbell RAA, Wong TCY, Huang B, Wong BTY, Chow NKN, Zhang L, Tsoi EPL, Tan Y, Li JJX, et al.
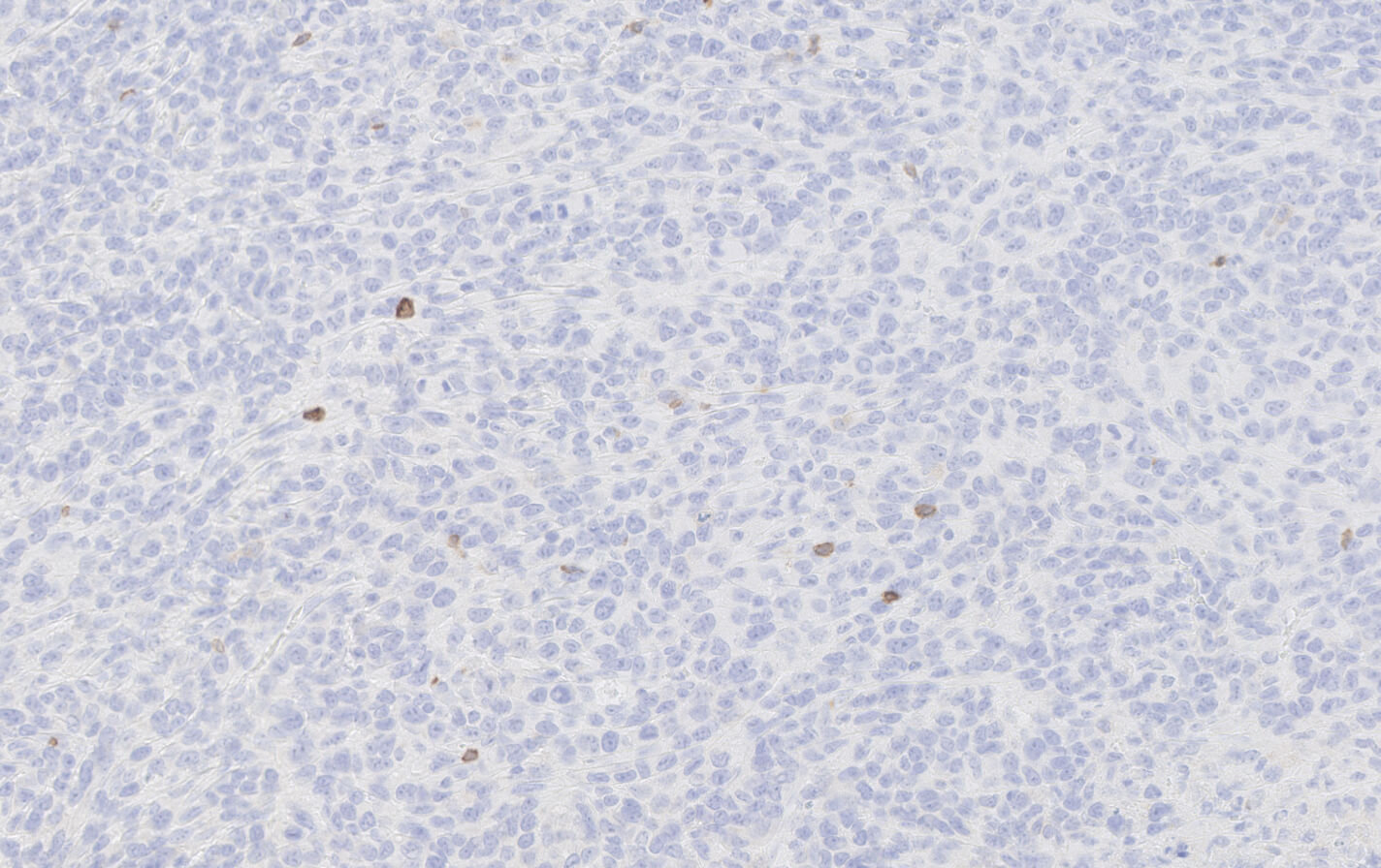
Nature communications (2024) 151: 10888. HS-360 117 IHC; tested species: mouse
CDK4/6 inhibitors synergize with radiotherapy to prime the tumor microenvironment and enhance the antitumor effect of anti-PD-L1 immunotherapy in triple-negative breast cancer.
Yang WC, Wei MF, Shen YC, Huang CS, Kuo SH
Journal of biomedical science (2025) 321: 79. HS-360 117 IHC-P; tested species: mouse
An Enhancer Variant Associated with Breast Cancer Susceptibility in Black Women Regulates TNFSF10 Expression and Antitumor Immunity in Triple-Negative Breast Cancer.
Han YJ, Zhang J, Hardeman A, Liu M, Karginova O, Romero R, Khramtsova GF, Zheng Y, Huo D, Olopade OI
Human molecular genetics (2022) : . HS-360 117 IHC-P; tested species: mouse
Cat. No.: HS-360 117
Amount: 200 µl
Price: $420.00
INSIHGT: an accessible multi-scale, multi-modal 3D spatial biology platform.
Yau CN, Hung JTS, Campbell RAA, Wong TCY, Huang B, Wong BTY, Chow NKN, Zhang L, Tsoi EPL, Tan Y, Li JJX, et al.
Nature communications (2024) 151: 10888. HS-360 117 IHC; tested species: mouse
CDK4/6 inhibitors synergize with radiotherapy to prime the tumor microenvironment and enhance the antitumor effect of anti-PD-L1 immunotherapy in triple-negative breast cancer.
Yang WC, Wei MF, Shen YC, Huang CS, Kuo SH
Journal of biomedical science (2025) 321: 79. HS-360 117 IHC-P; tested species: mouse
An Enhancer Variant Associated with Breast Cancer Susceptibility in Black Women Regulates TNFSF10 Expression and Antitumor Immunity in Triple-Negative Breast Cancer.
Han YJ, Zhang J, Hardeman A, Liu M, Karginova O, Romero R, Khramtsova GF, Zheng Y, Huo D, Olopade OI
Human molecular genetics (2022) : . HS-360 117 IHC-P; tested species: mouse
Background

CD4 (cluster of differentiation 4) is a glycoprotein found on the surface of immune cells such as T helper cells, monocytes, macrophages, and dendritic cells.
CD4 is a co-receptor that assists the T-cell receptor (TCR) in communicating with an antigen-presenting cell.