Tailor-made Antibodies
and Tools for Life Science
Home | | | | | Technical Support

L1CAM (NCAM-L1) antibody - 526 008

L1CAM is a neuronal cell adhesion protein of the immunoglobulin superfamily
Rabbit monoclonal recombinant IgG
Cat. No.: 526 008
Amount: 50 µg
Price: $420.00
Cat. No. 526 008 50 µg purified recombinant IgG, lyophilized. Albumin and azide were added for stabilization. For reconstitution add 50 µl H2O to get a 1mg/ml solution in PBS. Then aliquot and store at -20°C to -80°C until use.
Antibodies should be stored at +4°C when still lyophilized. Do not freeze!
Applications
 
WB: 1 : 1000 (AP staining) gallery  
IP: not tested yet
ICC: 1 : 500 gallery  
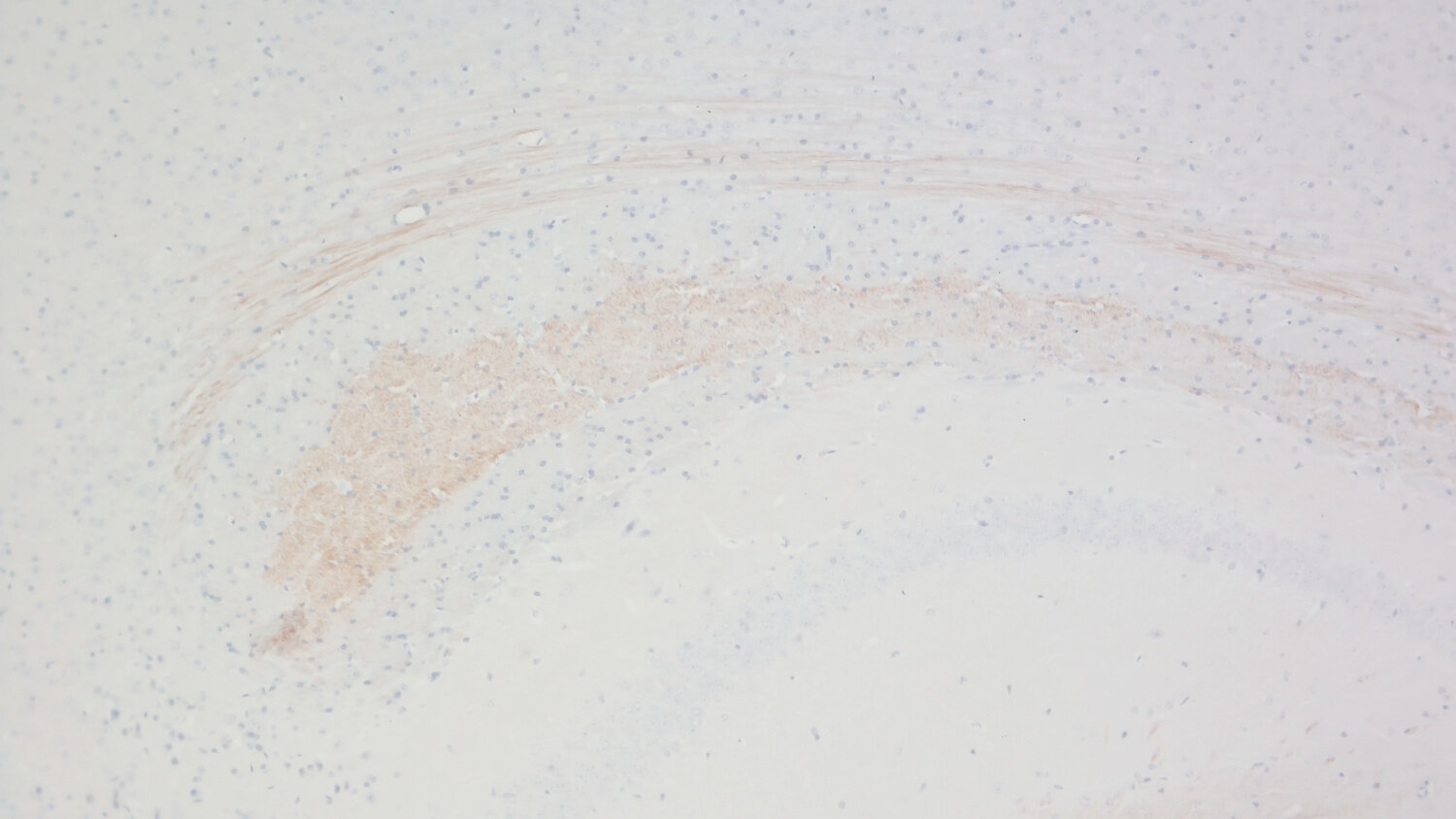
IHC: 1 : 500 gallery  
IHC-P: 1 : 200 gallery  

Western blot (WB); separation of proteins by PAGE and subsequent transfer to a membrane. Detection of target molecules is carried out with antibodies. Some antibodies require special sample preparation steps. For details, please refer to the “Remarks” section.

Immunoprecipitation (IP); Immunoisolation or pulldown of a target molecule using an antibody. For details and product specific hints, please refer to the ”Remarks” section.

Immunocytochemistry (ICC) on 4% PFA fixed cells. Immunoreactivity is usually revealed by fluorescence. Some antibodies require special fixation methods. For details, please refer to the “Remarks” section.

Immunohistochemistry (IHC) on 4% PFA perfusion fixed tissue with 24h PFA post fixation. Immunoreactivity is usually revealed by fluorescence or a chromogenic substrate. Some antibodies require special fixation methods or antigen retrieval steps. For details, please refer to the ”Remarks” section.

Immunohistochemistry (IHC-P) of formalin fixed, paraffin embedded (FFPE) tissue (some antibodies require special antigen retrieval steps, please refer to the ”Remarks” section). Immunoreactivity is usually revealed by fluorescence or a chromogenic substrate.

Clone Rb557B6
Subtype IgG1 (κ light chain)
Immunogen Protein complex consisting of L1CAM cross-linked with a monoclonal antibody to the L2/HNK-1 carbohydrate epitope and KLH (UniProt Id: P11627)
Reactivity Reacts with: mouse (P11627).
No signal: rat.
Other species not tested yet.
Remarks

This antibody is a chimeric antibody based on the monoclonal rat antibody 557B6. The constant regions of the heavy and light chains have been replaced with rabbit specific sequences. The antibody can therefore be used with standard anti-rabbit secondary reagents. The antibody has been expressed in mammalian cells.
WB: Due to the large size of this protein, we recommend NuPAGE 3-8% Tris-Acetate gels for SDS-PAGE.

Data sheet 526_008.pdf
Cat. No.: 526 008
Amount: 50 µg
Price: $420.00
Background

The Neural Cell Adhesion Molecule L1 (NCAM-L1), also known as L1CAM or CD171, is a transmembrane glycoprotein belonging to the immunoglobulin superfamily. Structurally, L1CAM comprises six immunoglobulin-like domains followed by five fibronectin type III domains in its extracellular region, a single transmembrane segment, and a short cytoplasmic tail (1, 2).
L1CAM is predominantly expressed on the surface of neurons mediating neuron-neuron adhesion and neurite outgrowth (3). It is also found in non-neuronal cells such as immature oligodendrocytes, Schwann cells, and certain immune cells like T cells (4, 5). Moreover, L1CAM expression has been observed in a variety of tumors across different organ systems (6).
Mutations or dysregulation of L1CAM are associated with several neurological disorders collectively termed L1 syndrome. These comprise X-linked hydrocephalus, MASA syndrome (mental retardation, aphasia, shuffling gait, and adducted thumbs), and spastic paraplegia type 1 (7).