Tailor-made Antibodies
and Tools for Life Science
Home | | | | | Technical Support

FoxP2 antibody - 485 004

FoxP2, a transcription factor involved in neuronal development
Guinea pig polyclonal antiserum
Cat. No.: 485 004
Amount: 100 µl
Price: $360.00
Cat. No. 485 004 100 µl antiserum, lyophilized. For reconstitution add 100 µl H2O, then aliquot and store at -20°C until use.
Antibodies should be stored at +4°C when still lyophilized. Do not freeze!
Applications
 
WB: not recommended
ICC: not tested yet
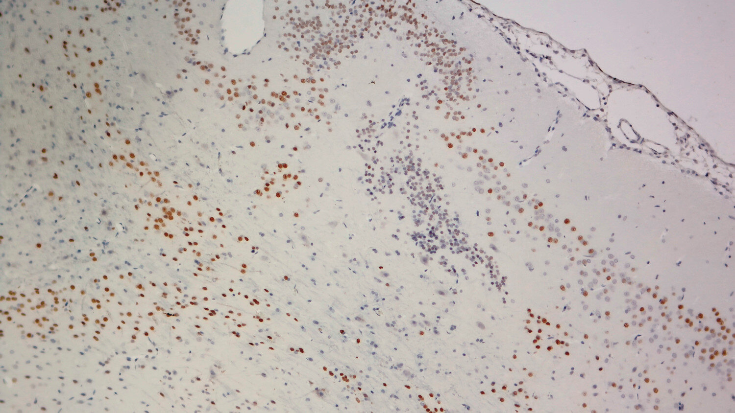
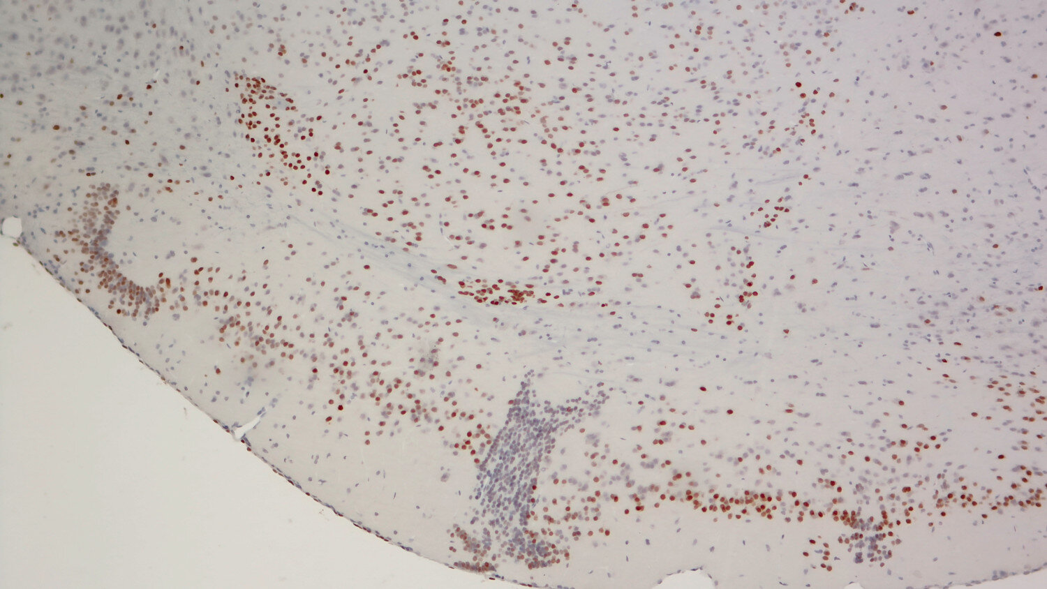
IHC: 1 : 500 gallery  
IHC-P: 1 : 1000 gallery  

Western blot (WB); separation of proteins by PAGE and subsequent transfer to a membrane. Detection of target molecules is carried out with antibodies. Some antibodies require special sample preparation steps. For details, please refer to the “Remarks” section.

Immunocytochemistry (ICC) on 4% PFA fixed cells. Immunoreactivity is usually revealed by fluorescence. Some antibodies require special fixation methods. For details, please refer to the “Remarks” section.

Immunohistochemistry (IHC) on 4% PFA perfusion fixed tissue with 24h PFA post fixation. Immunoreactivity is usually revealed by fluorescence or a chromogenic substrate. Some antibodies require special fixation methods or antigen retrieval steps. For details, please refer to the ”Remarks” section.

Immunohistochemistry (IHC-P) of formalin fixed, paraffin embedded (FFPE) tissue (some antibodies require special antigen retrieval steps, please refer to the ”Remarks” section). Immunoreactivity is usually revealed by fluorescence or a chromogenic substrate.

Immunogen Synthetic peptide corresponding to residues near the carboxy terminus of human FoxP2. (UniProt Id: O15409)
Reactivity Reacts with: mouse (P58463), rat (P0CF24).
Other species not tested yet.
Data sheet 485_004.pdf
Cat. No.: 485 004
Amount: 100 µl
Price: $360.00
Background

Forkhead box protein P2, FoxP2 is a transcription factor protein that belongs to the family of winged-helix DNA binding proteins known as the Fox family (1). The FoxP subclass comprises four members, FoxP1-4 (2). FoxP3 is mainly expressed in the immune system, while FoxP1, 2 and 4 occur in various tissues (2). In brain they are located to distinct cell types in a specific spatiotemporal pattern (2, 3). FoxP2 is involved in a wide range of biological processes, including neuronal and lung development (1). Mutations in the FOXP2 gene have been implicated in several human speech and language disorders (4). Consistent with these findings, FoxP2 was shown to play an important role in the transcriptional control of the SRXP2 gene that regulates synapse formation and vocalization in mice (5).