Tailor-made Antibodies
and Tools for Life Science
Home | | | | | Technical Support

DNAL1 antibody - 433 004

DNAL1 is a component of outer dynein arms
Guinea pig polyclonal antiserum
Cat. No.: 433 004
Amount: 100 µl
Price: $370.00
Cat. No. 433 004 100 µl antiserum, lyophilized. For reconstitution add 100 µl H2O, then aliquot and store at -20°C until use.
Antibodies should be stored at +4°C when still lyophilized. Do not freeze!
Applications
 
WB: 1 : 1000 up to 1 : 2000 (AP staining) gallery  
IP: not tested yet
ICC: not recommended
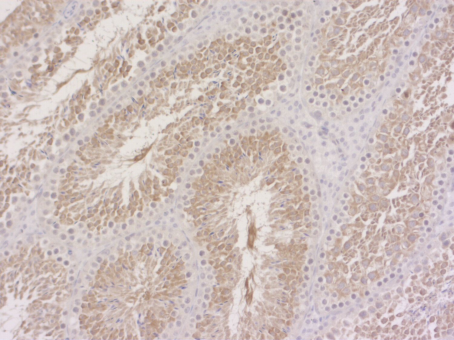
IHC: 1 : 500 up to 1 : 1000 gallery  
IHC-P: 1 : 1000 gallery  

Western blot (WB); separation of proteins by PAGE and subsequent transfer to a membrane. Detection of target molecules is carried out with antibodies. Some antibodies require special sample preparation steps. For details, please refer to the “Remarks” section.

Immunoprecipitation (IP); Immunoisolation or pulldown of a target molecule using an antibody. For details and product specific hints, please refer to the ”Remarks” section.

Immunocytochemistry (ICC) on 4% PFA fixed cells. Immunoreactivity is usually revealed by fluorescence. Some antibodies require special fixation methods. For details, please refer to the “Remarks” section.

Immunohistochemistry (IHC) on 4% PFA perfusion fixed tissue with 24h PFA post fixation. Immunoreactivity is usually revealed by fluorescence or a chromogenic substrate. Some antibodies require special fixation methods or antigen retrieval steps. For details, please refer to the ”Remarks” section.

Immunohistochemistry (IHC-P) of formalin fixed, paraffin embedded (FFPE) tissue (some antibodies require special antigen retrieval steps, please refer to the ”Remarks” section). Immunoreactivity is usually revealed by fluorescence or a chromogenic substrate.

Immunogen Recombinant protein corresponding to AA 1 to 190 from mouse Dnal1 (UniProt Id: Q05A62)
Reactivity Reacts with: mouse (Q05A62), rat (A0A096MJZ0).
Other species not tested yet.
Remarks

IHC: Antigen retrieval with citrate buffer pH 6 is required.

Data sheet 433_004.pdf
Cat. No.: 433 004
Amount: 100 µl
Price: $370.00
Background

DNAL 1, the Dynein light chain 1, also known as MGC12435 or C14orf168, is an axonemal protein found in the outer dynein arms complex. DNAL 1 uses ATP to provide the force for movement of motile cilia or flagella. DNAL 1 interacts directly with DNAH 5 and is expressed in the testis and other tissues containing motile cilia. Alternate splicing results in multiple transcript variants.