Tailor-made Antibodies
and Tools for Life Science
Home | | | | | Technical Support

SGT2 antibody - 430 003

SGT2 is a cochaperone of Hsc70
Rabbit polyclonal purified antibody
Cat. No.: 430 003
Amount: 50 µg
Price: $380.00
Cat. No. 430 003 50 µg specific antibody, lyophilized. Affinity purified with the immunogen. Albumin and azide were added for stabilization. For reconstitution add 50 µl H2O to get a 1mg/ml solution in PBS. Then aliquot and store at -20°C to -80°C until use.
Antibodies should be stored at +4°C when still lyophilized. Do not freeze!
Applications
 
WB: 1 : 1000 (AP staining) gallery  
ICC: not tested yet
IHC: not tested yet
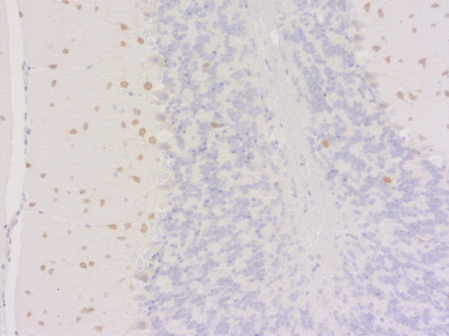
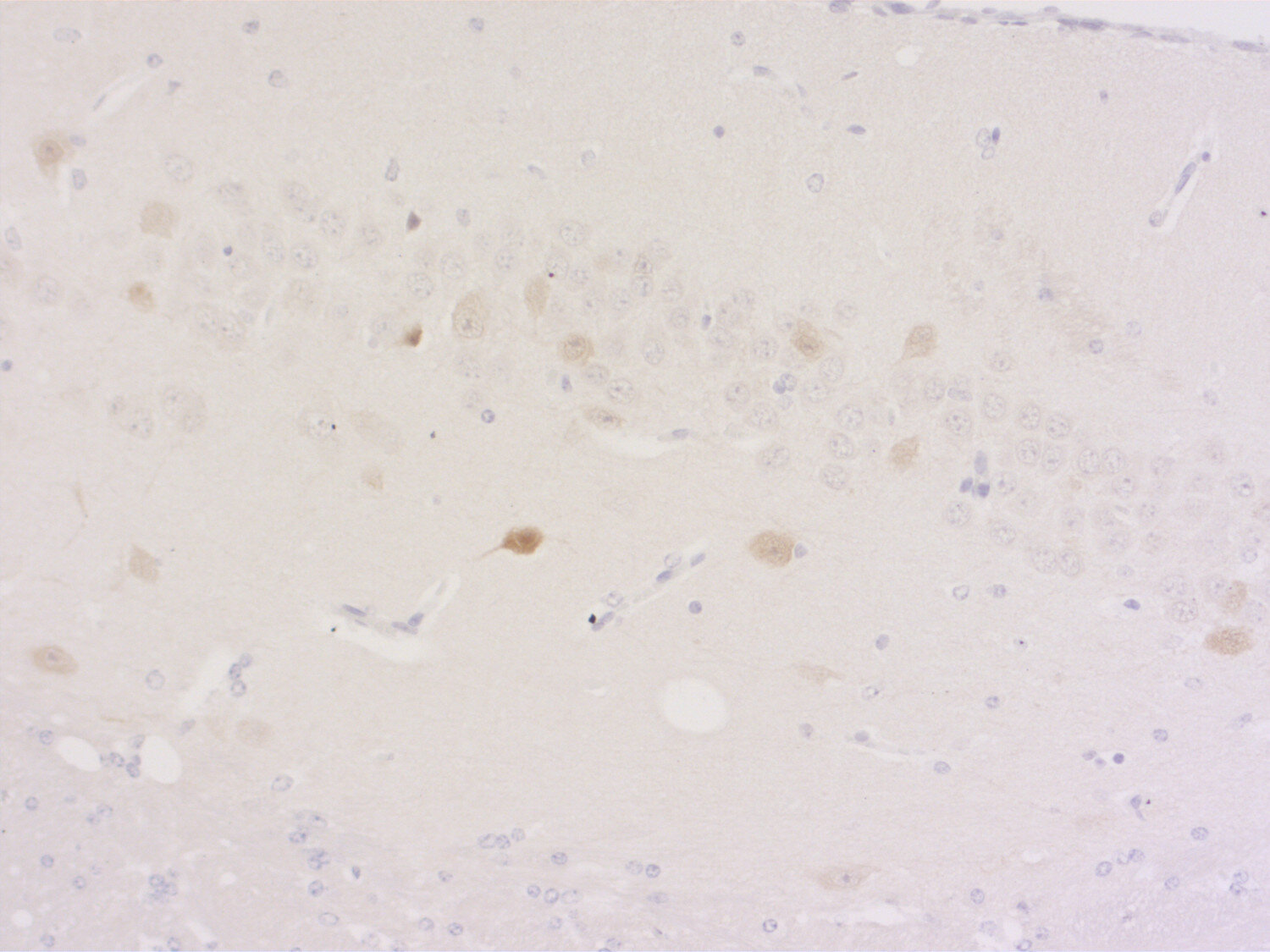
IHC-P: 1 : 1000 up to 1 : 2000 gallery  

Western blot (WB); separation of proteins by PAGE and subsequent transfer to a membrane. Detection of target molecules is carried out with antibodies. Some antibodies require special sample preparation steps. For details, please refer to the “Remarks” section.

Immunocytochemistry (ICC) on 4% PFA fixed cells. Immunoreactivity is usually revealed by fluorescence. Some antibodies require special fixation methods. For details, please refer to the “Remarks” section.

Immunohistochemistry (IHC) on 4% PFA perfusion fixed tissue with 24h PFA post fixation. Immunoreactivity is usually revealed by fluorescence or a chromogenic substrate. Some antibodies require special fixation methods or antigen retrieval steps. For details, please refer to the ”Remarks” section.

Immunohistochemistry (IHC-P) of formalin fixed, paraffin embedded (FFPE) tissue (some antibodies require special antigen retrieval steps, please refer to the ”Remarks” section). Immunoreactivity is usually revealed by fluorescence or a chromogenic substrate.

Immunogen Synthetic peptide corresponding to AA 67 to 90 from rat SGT2 (UniProt Id: Q80W98)
Reactivity Reacts with: rat (Q80W98), mouse (Q8VD33).
Other species not tested yet.
Matching control protein/peptide 430-0P
Data sheet 430_003.pdf
Cat. No.: 430 003
Amount: 50 µg
Price: $380.00
Background

Two isoforms of Small glutamine-rich tetratricopeptide repeat-containing proteins (SGTs) have been described. SGT 1 also named aSGT or SGT a is ubiquitously expressed whereas SGT 2 also known as bSGT or SGT b predominatly occurs in brain. SGTs are cochaperones of heat shock cognate protein of 70 kDa (Hsc70).