Tailor-made Antibodies
and Tools for Life Science
Home | | | | | Technical Support

SENP1 antibody - 422 003

SENP1 is a SUMO specific protease
Rabbit polyclonal purified antibody
Cat. No.: 422 003
Amount: 50 µg
Price: $380.00
Cat. No. 422 003 50 µg specific antibody, lyophilized. Affinity purified with the immunogen. Albumin was added for stabilization. For reconstitution add 50 µl H2O to get a 1mg/ml solution in PBS. Then aliquot and store at -20°C to -80°C until use.
Antibodies should be stored at +4°C when still lyophilized. Do not freeze!
Applications
 
WB: 1 : 1000 up to 1 : 5000 (AP staining) gallery  
IP: not tested yet
ICC: not tested yet
IHC: not tested yet
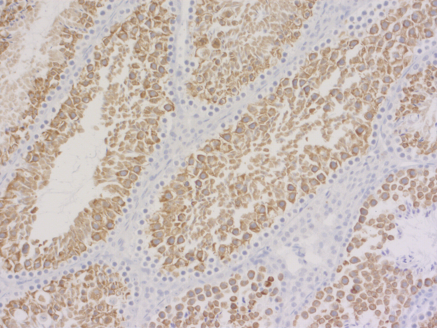
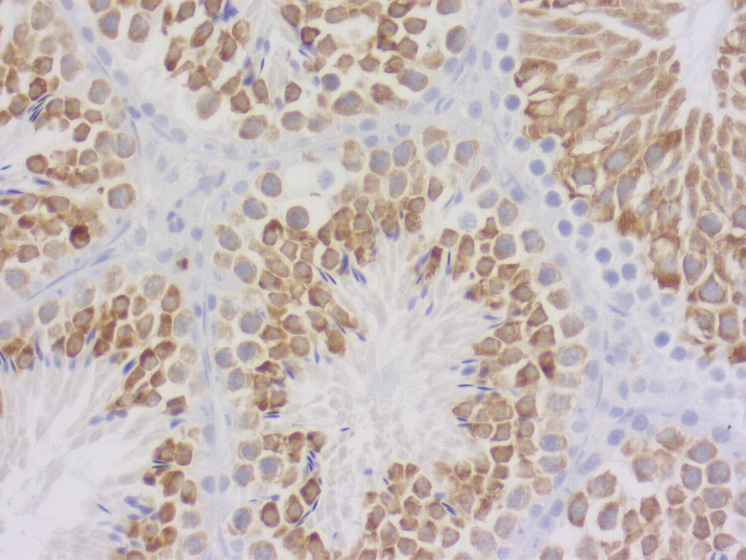
IHC-P: 1 : 1000 up to 1 : 2000 gallery  

Western blot (WB); separation of proteins by PAGE and subsequent transfer to a membrane. Detection of target molecules is carried out with antibodies. Some antibodies require special sample preparation steps. For details, please refer to the “Remarks” section.

Immunoprecipitation (IP); Immunoisolation or pulldown of a target molecule using an antibody. For details and product specific hints, please refer to the ”Remarks” section.

Immunocytochemistry (ICC) on 4% PFA fixed cells. Immunoreactivity is usually revealed by fluorescence. Some antibodies require special fixation methods. For details, please refer to the “Remarks” section.

Immunohistochemistry (IHC) on 4% PFA perfusion fixed tissue with 24h PFA post fixation. Immunoreactivity is usually revealed by fluorescence or a chromogenic substrate. Some antibodies require special fixation methods or antigen retrieval steps. For details, please refer to the ”Remarks” section.

Immunohistochemistry (IHC-P) of formalin fixed, paraffin embedded (FFPE) tissue (some antibodies require special antigen retrieval steps, please refer to the ”Remarks” section). Immunoreactivity is usually revealed by fluorescence or a chromogenic substrate.

Immunogen Synthetic peptide corresponding to AA 623 to 640 from mouse SENP1 (UniProt Id: P59110)
Reactivity Reacts with: mouse (P59110).
Other species not tested yet.
Matching control protein/peptide 422-0P
Data sheet 422_003.pdf
Cat. No.: 422 003
Amount: 50 µg
Price: $380.00
Background

The Small ubiquitin-related modifiers SUMOs are ubiquitin-like proteins (UBLs) that can be conjugated to other proteins in a manner analogous to ubiquitin.

Modification of proteins with SUMOs requires a unique activating enzyme complex as well as a conjugation enzyme. An important step is the processing of longer precursors by SUMO-specific proteases, known as SENPs, which remove several C-terminal amino acids of SUMO to expose the Gly-Gly motif.