Tailor-made Antibodies
and Tools for Life Science
Home | | | | | Technical Support

RFP (mScarlet) antibody - 409 006

RFP is a red fluorescent protein tag
Chicken polyclonal purified antibody
Cat. No.: 409 006
Amount: 50 µg
Price: $390.00
Cat. No. 409 006 50 µg specific antibody, lyophilized. Affinity purified with the immunogen. Albumin and azide were added for stabilization. For reconstitution add 50 µl H2O to get a 1mg/ml solution in PBS. Then aliquot and store at -20°C to -80°C until use.
Antibodies should be stored at +4°C when still lyophilized. Do not freeze!
Applications
 
WB: not tested yet
IP: not tested yet
ICC: 1 : 500 up to 1 : 1000 gallery  
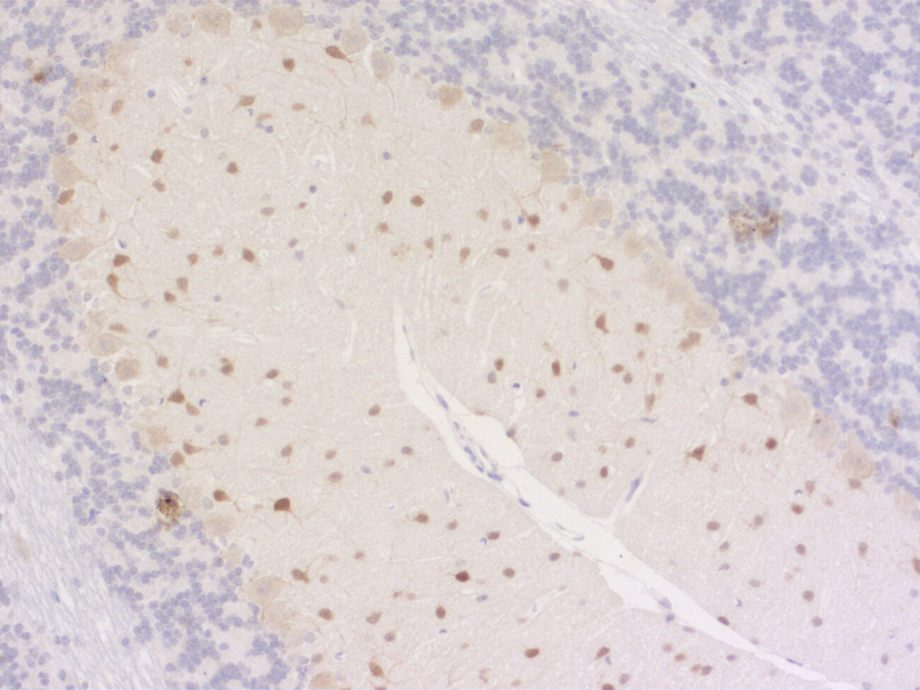
IHC: 1 : 500 up to 1 : 1000 gallery  
IHC-P: 1 : 500 up to 1 : 1000 gallery  

Western blot (WB); separation of proteins by PAGE and subsequent transfer to a membrane. Detection of target molecules is carried out with antibodies. Some antibodies require special sample preparation steps. For details, please refer to the “Remarks” section.

Immunoprecipitation (IP); Immunoisolation or pulldown of a target molecule using an antibody. For details and product specific hints, please refer to the ”Remarks” section.

Immunocytochemistry (ICC) on 4% PFA fixed cells. Immunoreactivity is usually revealed by fluorescence. Some antibodies require special fixation methods. For details, please refer to the “Remarks” section.

Immunohistochemistry (IHC) on 4% PFA perfusion fixed tissue with 24h PFA post fixation. Immunoreactivity is usually revealed by fluorescence or a chromogenic substrate. Some antibodies require special fixation methods or antigen retrieval steps. For details, please refer to the ”Remarks” section.

Immunohistochemistry (IHC-P) of formalin fixed, paraffin embedded (FFPE) tissue (some antibodies require special antigen retrieval steps, please refer to the ”Remarks” section). Immunoreactivity is usually revealed by fluorescence or a chromogenic substrate.

Immunogen Recombinant protein corresponding to AA 1 to 219 from sea anemone mScarlet
Specificity Recognizes mScarlet, mRFP, mCherry and tdTomato.
Data sheet 409_006.pdf

References for RFP - 409 006

Senescence-induced cellular reprogramming drives cnidarian whole-body regeneration.
Salinas-Saavedra M, Febrimarsa , Krasovec G, Horkan HR, Baxevanis AD, Frank U
Cell reports (2023) 427: 112687. 409 006 ICC
Endocytosis in the axon initial segment maintains neuronal polarity.
Eichel K, Uenaka T, Belapurkar V, Lu R, Cheng S, Pak JS, Taylor CA, Südhof TC, Malenka R, Wernig M, Özkan E, et al.
Nature (2022) : . 409 006 ICC; tested species: rat
The vSNAREs VAMP2 and VAMP4 control recycling and intracellular sorting of post-synaptic receptors in neuronal dendrites.
Bakr M, Jullié D, Krapivkina J, Paget-Blanc V, Bouit L, Petersen JD, Retailleau N, Breillat C, Herzog E, Choquet D, Perrais D, et al.
Cell reports (2021) 3610: 109678. 409 006 ICC
Compartmentalized dendritic plasticity in the mouse retrosplenial cortex links contextual memories formed close in time.
Sehgal M, Filho DA, Kastellakis G, Kim S, Lee J, Shen Y, Huang S, Lavi A, Fernandes G, Davila Mejia I, Martin SS, et al.
Nature neuroscience (2025) : . 409 006 IHC; tested species: mouse
Cat. No.: 409 006
Amount: 50 µg
Price: $390.00
Senescence-induced cellular reprogramming drives cnidarian whole-body regeneration.
Salinas-Saavedra M, Febrimarsa , Krasovec G, Horkan HR, Baxevanis AD, Frank U
Cell reports (2023) 427: 112687. 409 006 ICC
Endocytosis in the axon initial segment maintains neuronal polarity.
Eichel K, Uenaka T, Belapurkar V, Lu R, Cheng S, Pak JS, Taylor CA, Südhof TC, Malenka R, Wernig M, Özkan E, et al.
Nature (2022) : . 409 006 ICC; tested species: rat
The vSNAREs VAMP2 and VAMP4 control recycling and intracellular sorting of post-synaptic receptors in neuronal dendrites.
Bakr M, Jullié D, Krapivkina J, Paget-Blanc V, Bouit L, Petersen JD, Retailleau N, Breillat C, Herzog E, Choquet D, Perrais D, et al.
Cell reports (2021) 3610: 109678. 409 006 ICC
Compartmentalized dendritic plasticity in the mouse retrosplenial cortex links contextual memories formed close in time.
Sehgal M, Filho DA, Kastellakis G, Kim S, Lee J, Shen Y, Huang S, Lavi A, Fernandes G, Davila Mejia I, Martin SS, et al.
Nature neuroscience (2025) : . 409 006 IHC; tested species: mouse
Background
Red fluorescent protein RFP and its derivates have become universal tools in cell biology. Most RFPs derive from a protein isolated from Discosoma sp. They are used as fluorescent tags to investigate expression levels, patterns and protein localization.