Tailor-made Antibodies
and Tools for Life Science
Home | | | | | Technical Support

IgE antibody - 372 011

IgEs are involved in defense against parasites and allergic response
Mouse monoclonal purified IgG
Cat. No.: 372 011
Amount: 100 µg
Price: $420.00
Cat. No. 372 011 100 µg purified IgG, lyophilized. Azide was added before lyophilization. For reconstitution add 100 µl H2O to get a 1mg/ml solution in PBS. Then aliquot and store at -20°C to -80°C until use.
Antibodies should be stored at +4°C when still lyophilized. Do not freeze!
Applications
 
WB: 1 : 1000 (AP staining) gallery  
IP: not tested yet
ICC: 1 : 500 gallery  
IHC: not tested yet
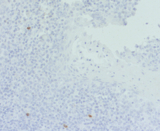
IHC-P: 1 : 100 gallery  
ELISA: ; suitable as capture antibody
FACS: yes (see remarks)

Western blot (WB); separation of proteins by PAGE and subsequent transfer to a membrane. Detection of target molecules is carried out with antibodies. Some antibodies require special sample preparation steps. For details, please refer to the “Remarks” section.

Immunoprecipitation (IP); Immunoisolation or pulldown of a target molecule using an antibody. For details and product specific hints, please refer to the ”Remarks” section.

Immunocytochemistry (ICC) on 4% PFA fixed cells. Immunoreactivity is usually revealed by fluorescence. Some antibodies require special fixation methods. For details, please refer to the “Remarks” section.

Immunohistochemistry (IHC) on 4% PFA perfusion fixed tissue with 24h PFA post fixation. Immunoreactivity is usually revealed by fluorescence or a chromogenic substrate. Some antibodies require special fixation methods or antigen retrieval steps. For details, please refer to the ”Remarks” section.

Immunohistochemistry (IHC-P) of formalin fixed, paraffin embedded (FFPE) tissue (some antibodies require special antigen retrieval steps, please refer to the ”Remarks” section). Immunoreactivity is usually revealed by fluorescence or a chromogenic substrate.

Enzyme-linked immunosorbent assay (ELISA); a frequently employed method to quantify target-molecules in solution. The detection of some proteins requires special solubilization steps. For further information, please refer to the „Remarks“ section.

Fluorescence-activated cell sorting (FACS); usually cells are fluorescently labeled with antibodies against cell-surface antigens followed by cell-sorter analysis.

Clone 164G11
Subtype IgG2a (κ light chain)
Immunogen Purified human basophile granulocytes.
Reactivity Reacts with: human.
Other species not tested yet.
Remarks

WB: Non reducing SDS-PAGE is recommended.
To avoid protein aggregation, do not heat samples for SDS-PAGE.
FACS: This antibody does not activate basophiles upon binding.

Data sheet 372_011.pdf
Cat. No.: 372 011
Amount: 100 µg
Price: $420.00
Background
Immunglobulin E or IgE is the most rare immunoglobulin class in mammalian serum. IgEs mediate immunity against parasites like helminths and protozoa. They also play a major role in type I hypersensitivity in various allergic diseases.