Tailor-made Antibodies
and Tools for Life Science
Home | | | | | Technical Support

SOX3 antibody - 347 303

SOX proteins are transcription factors involved in CNS development
Rabbit polyclonal purified antibody
Cat. No.: 347 303
Amount: 50 µg
Price: $380.00
Cat. No. 347 303 50 µg specific antibody, lyophilized. Affinity purified with the immunogen. Albumin was added for stabilization. For reconstitution add 50 µl H2O to get a 1mg/ml solution in PBS. Then aliquot and store at -20°C to -80°C until use.
Antibodies should be stored at +4°C when still lyophilized. Do not freeze!
Applications
 
WB: not tested yet
IP: not tested yet
ICC: 1 : 500 gallery  
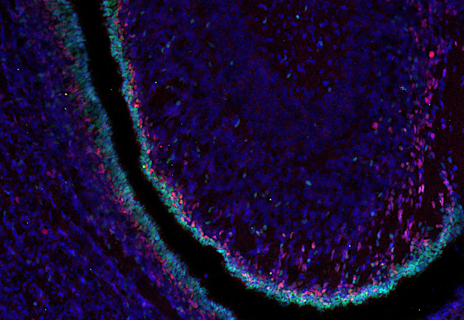
IHC: 1 : 500 gallery  
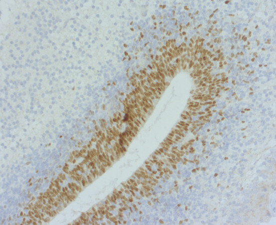
IHC-P: 1 : 400 up to 1 : 1000 gallery  

Western blot (WB); separation of proteins by PAGE and subsequent transfer to a membrane. Detection of target molecules is carried out with antibodies. Some antibodies require special sample preparation steps. For details, please refer to the “Remarks” section.

Immunoprecipitation (IP); Immunoisolation or pulldown of a target molecule using an antibody. For details and product specific hints, please refer to the ”Remarks” section.

Immunocytochemistry (ICC) on 4% PFA fixed cells. Immunoreactivity is usually revealed by fluorescence. Some antibodies require special fixation methods. For details, please refer to the “Remarks” section.

Immunohistochemistry (IHC) on 4% PFA perfusion fixed tissue with 24h PFA post fixation. Immunoreactivity is usually revealed by fluorescence or a chromogenic substrate. Some antibodies require special fixation methods or antigen retrieval steps. For details, please refer to the ”Remarks” section.

Immunohistochemistry (IHC-P) of formalin fixed, paraffin embedded (FFPE) tissue (some antibodies require special antigen retrieval steps, please refer to the ”Remarks” section). Immunoreactivity is usually revealed by fluorescence or a chromogenic substrate.

Immunogen Synthetic peptide corresponding to residues near the amino terminus of mouse SOX3 (UniProt Id: P53784)
Reactivity Reacts with: mouse (P53784).
Other species not tested yet.
Data sheet 347_303.pdf
Cat. No.: 347 303
Amount: 50 µg
Price: $380.00
Background

Sex determining region of Y chromosome (Sry)-related high mobility group box1-3) or SOX 1-3 proteins belong to the earliest transcription factors expressed in the developing CNS.
SOX1, SOX2 and SOX3 constitute the B1-subgroup of the Sox gene family 12. They are expressed by most progenitor cells of the developing CNS and are generally downregulated by neural cells when they exit the cell cycle and differentiate.