Tailor-made Antibodies
and Tools for Life Science
Home | | | | | Technical Support

Calreticulin antibody - 315 003

Calreticulin is a protein located to the endoplasmatic reticulum
Rabbit polyclonal purified antibody
Cat. No.: 315 003
Amount: 50 µg
Price: $380.00
Cat. No. 315 003 50 µg specific antibody, lyophilized. Affinity purified with the immunogen. Albumin was added for stabilization. For reconstitution add 50 µl H2O to get a 1mg/ml solution in PBS. Then aliquot and store at -20°C to -80°C until use.
Antibodies should be stored at +4°C when still lyophilized. Do not freeze!
Applications
 
WB: 1 : 1000 (AP staining) gallery  
IP: not tested yet
ICC: 1 : 500 up to 1 : 1000 gallery  
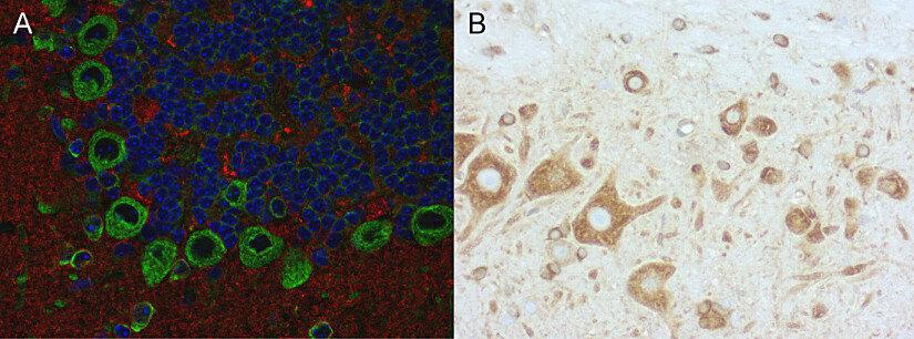
IHC: 1 : 200 gallery  
IHC-P: 1 : 200 up to 1 : 2000 gallery  
Clarity: external data (see remarks)

Western blot (WB); separation of proteins by PAGE and subsequent transfer to a membrane. Detection of target molecules is carried out with antibodies. Some antibodies require special sample preparation steps. For details, please refer to the “Remarks” section.

Immunoprecipitation (IP); Immunoisolation or pulldown of a target molecule using an antibody. For details and product specific hints, please refer to the ”Remarks” section.

Immunocytochemistry (ICC) on 4% PFA fixed cells. Immunoreactivity is usually revealed by fluorescence. Some antibodies require special fixation methods. For details, please refer to the “Remarks” section.

Immunohistochemistry (IHC) on 4% PFA perfusion fixed tissue with 24h PFA post fixation. Immunoreactivity is usually revealed by fluorescence or a chromogenic substrate. Some antibodies require special fixation methods or antigen retrieval steps. For details, please refer to the ”Remarks” section.

Immunohistochemistry (IHC-P) of formalin fixed, paraffin embedded (FFPE) tissue (some antibodies require special antigen retrieval steps, please refer to the ”Remarks” section). Immunoreactivity is usually revealed by fluorescence or a chromogenic substrate.

Clarity is a sample preparation method for clearing, immunolabeling and volume imaging of large biological samples. Clearing is carried out by SDS and Focusclear treatment. For additional experimental details, please refer to the Remarks section.

Immunogen Recombinant protein corresponding to AA 341 to 416 from mouse Calreticulin (UniProt Id: P14211)
Reactivity Reacts with: rat (P18418), mouse (P14211).
Other species not tested yet.
Remarks

Clarity: This antibody has been successfully applied and published for this method by customers (see application-specific references).

Data sheet 315_003.pdf

References for Calreticulin - 315 003

Oxytocin action on components of endoplasmic reticulum in hippocampal neuronal cells.
T H, D M, Z B, J B
Neuroscience letters (2022) : 136971. 315 003 WB; tested species: mouse
Computerized EEG in the comparison of oxyprothepin and fluphenazine decanoat.
Misurec J, Náhunek K, Svestka J, Cesková E
Activitas nervosa superior (1979) 213: 140. 315 003 Clarity; tested species: human
Cat. No.: 315 003
Amount: 50 µg
Price: $380.00
Oxytocin action on components of endoplasmic reticulum in hippocampal neuronal cells.
T H, D M, Z B, J B
Neuroscience letters (2022) : 136971. 315 003 WB; tested species: mouse
Computerized EEG in the comparison of oxyprothepin and fluphenazine decanoat.
Misurec J, Náhunek K, Svestka J, Cesková E
Activitas nervosa superior (1979) 213: 140. 315 003 Clarity; tested species: human
Background
The abundantly expressed protein calreticulin is a calcium-binding lectin that locates to the endoplasmatic reticulum (ER). It is involved in quality control of protein processing in the ER via the calreticulin/calnexin cycle. Calreticulin is also referred to as CRP55, calregulin, HACBP and ERp60.