Tailor-made Antibodies
and Tools for Life Science
Home | | | | | Technical Support

Tau antibody - 314 308

Tau is a neuronal microtubule associated protein
Guinea pig monoclonal recombinant IgG
Cat. No.: 314 308
Amount: 50 µg
Price: $420.00
Cat. No. 314 308 50 µg purified recombinant IgG, lyophilized. Albumin and azide were added for stabilization. For reconstitution add 50 µl H2O to get a 1mg/ml solution in PBS. Then aliquot and store at -20°C to -80°C until use.
Antibodies should be stored at +4°C when still lyophilized. Do not freeze!
Applications
 
WB: 1 : 1000 (AP staining) gallery  
IP: not tested yet
ICC: 1 : 500 gallery  
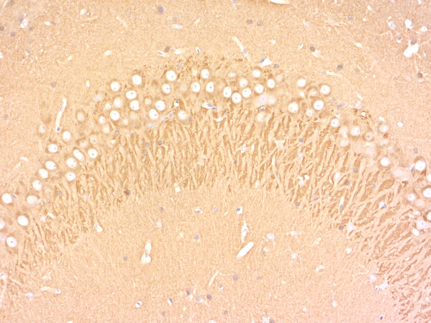
IHC: 1 : 500 gallery  
IHC-P: 1 : 5000 gallery  

Western blot (WB); separation of proteins by PAGE and subsequent transfer to a membrane. Detection of target molecules is carried out with antibodies. Some antibodies require special sample preparation steps. For details, please refer to the “Remarks” section.

Immunoprecipitation (IP); Immunoisolation or pulldown of a target molecule using an antibody. For details and product specific hints, please refer to the ”Remarks” section.

Immunocytochemistry (ICC) on 4% PFA fixed cells. Immunoreactivity is usually revealed by fluorescence. Some antibodies require special fixation methods. For details, please refer to the “Remarks” section.

Immunohistochemistry (IHC) on 4% PFA perfusion fixed tissue with 24h PFA post fixation. Immunoreactivity is usually revealed by fluorescence or a chromogenic substrate. Some antibodies require special fixation methods or antigen retrieval steps. For details, please refer to the ”Remarks” section.

Immunohistochemistry (IHC-P) of formalin fixed, paraffin embedded (FFPE) tissue (some antibodies require special antigen retrieval steps, please refer to the ”Remarks” section). Immunoreactivity is usually revealed by fluorescence or a chromogenic substrate.

Clone Gp248E5
Subtype IgG2 (κ light chain)
Immunogen Recombinant protein corresponding to the N-terminal half of mouse Tau-D (UniProt Id: P10637-5)
Reactivity Reacts with: rat (P19332), mouse (P10637).
Weaker signal: human (P10636).
No signal: zebrafish.
Other species not tested yet.
Specificity This antibody binds phosphorylated and non-phosphorylated tau proteins. The sequence used for immunization is present in all splice variants except human TauA (UniProt Id: P10636-3)
Matching control protein/peptide 314-0P
Remarks

This antibody is a chimeric antibody based on the monoclonal mouse antibody clone 248E5. The constant regions of the heavy and light chains have been replaced by guinea pig specific sequences. Therefore, the antibody can be used with standard anti-guinea pig secondary reagents. The antibody has been expressed in mammalian cells.

 

Data sheet 314_308.pdf
Cat. No.: 314 308
Amount: 50 µg
Price: $420.00
Background

There are two major classes of heat stable microtubule associated proteins (MAPS): MAP 2 (280 kD), and tau (55-65 kD). Both protein classes are involved in the regulation of microtubule polymerization in cells. Tau is a neuronal protein that mainly localizes to axons. Hyperphosphorylated tau has been shown to be a major element of paired helical filaments in Alzheimer's disease.