Tailor-made Antibodies
and Tools for Life Science
Home | | | | | Technical Support

Serum albumin antibody - 286 003

The plasma protein serum albumin is involved in many homeostatic and transport mechanisms
Rabbit polyclonal purified antibody
Cat. No.: 286 003
Amount: 100 µg
Price: $380.00
Cat. No. 286 003 100 µg specific antibody, lyophilized. Affinity purified with the immunogen. Azide was added before lyophilization. For reconstitution add 100 µl H2O to get a 1mg/ml solution in PBS. Then aliquot and store at -20°C to -80°C until use.
Antibodies should be stored at +4°C when still lyophilized. Do not freeze!
Applications
 
WB: 1 : 1000 (AP staining) (see remarks) gallery  
IP: not tested yet
ICC: N/A
IHC: 1 : 400 (see remarks) gallery  
IHC-P: not tested yet

Western blot (WB); separation of proteins by PAGE and subsequent transfer to a membrane. Detection of target molecules is carried out with antibodies. Some antibodies require special sample preparation steps. For details, please refer to the “Remarks” section.

Immunoprecipitation (IP); Immunoisolation or pulldown of a target molecule using an antibody. For details and product specific hints, please refer to the ”Remarks” section.

Immunocytochemistry (ICC) on 4% PFA fixed cells. Immunoreactivity is usually revealed by fluorescence. Some antibodies require special fixation methods. For details, please refer to the “Remarks” section.

Immunohistochemistry (IHC) on 4% PFA perfusion fixed tissue with 24h PFA post fixation. Immunoreactivity is usually revealed by fluorescence or a chromogenic substrate. Some antibodies require special fixation methods or antigen retrieval steps. For details, please refer to the ”Remarks” section.

Immunohistochemistry (IHC-P) of formalin fixed, paraffin embedded (FFPE) tissue (some antibodies require special antigen retrieval steps, please refer to the ”Remarks” section). Immunoreactivity is usually revealed by fluorescence or a chromogenic substrate.

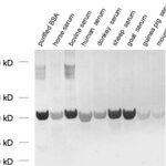
Immunogen Nativ Protein corresponding to AA 1 to 607 from bovine Serum albumin (UniProt Id: P02769)
Reactivity Reacts with: human (P02768), rat (P02770), mouse (P07724), Guinea pig, horse, donkey, cow, sheep, goat.
No signal: rabbit (P49065).
Other species not tested yet.
Remarks

WB: Do not use albumin containing buffers for blocking. Detects 25 ng of BSA. Serum albumin of other species is probably detected with lower sensitivity.
IHC: Do not use albumin containing buffers for blocking.

Data sheet 286_003.pdf

References for Serum albumin - 286 003

Immunosignals of Oligodendrocyte Markers and Myelin-Associated Proteins Are Critically Affected after Experimental Stroke in Wild-Type and Alzheimer Modeling Mice of Different Ages.
Michalski D, Keck AL, Grosche J, Martens H, Härtig W
Frontiers in cellular neuroscience (2018) 12: 23. 286 003 IHC; tested species: mouse
Delayed histochemical alterations within the neurovascular unit due to transient focal cerebral ischemia and experimental treatment with neurotrophic factors.
Michalski D, Pitsch R, Pillai DR, Mages B, Aleithe S, Grosche J, Martens H, Schlachetzki F, Härtig W
PloS one (2017) 124: e0174996. 286 003 IHC
Stroke-induced blood-brain barrier breakdown along the vascular tree - No preferential affection of arteries in different animal models and in humans.
Krueger M, Härtig W, Frydrychowicz C, Mueller WC, Reichenbach A, Bechmann I, Michalski D
Journal of cerebral blood flow and metabolism : official journal of the International Society of Cerebral Blood Flow and Metabolism (2017) 377: 2539-2554. 286 003 IHC; tested species: human
Blood-brain barrier breakdown involves four distinct stages of vascular damage in various models of experimental focal cerebral ischemia.
Krueger M, Bechmann I, Immig K, Reichenbach A, Härtig W, Michalski D
Journal of cerebral blood flow and metabolism : official journal of the International Society of Cerebral Blood Flow and Metabolism (2015) 352: 292-303. 286 003 IHC; tested species: mouse
Cat. No.: 286 003
Amount: 100 µg
Price: $380.00
Immunosignals of Oligodendrocyte Markers and Myelin-Associated Proteins Are Critically Affected after Experimental Stroke in Wild-Type and Alzheimer Modeling Mice of Different Ages.
Michalski D, Keck AL, Grosche J, Martens H, Härtig W
Frontiers in cellular neuroscience (2018) 12: 23. 286 003 IHC; tested species: mouse
Delayed histochemical alterations within the neurovascular unit due to transient focal cerebral ischemia and experimental treatment with neurotrophic factors.
Michalski D, Pitsch R, Pillai DR, Mages B, Aleithe S, Grosche J, Martens H, Schlachetzki F, Härtig W
PloS one (2017) 124: e0174996. 286 003 IHC
Stroke-induced blood-brain barrier breakdown along the vascular tree - No preferential affection of arteries in different animal models and in humans.
Krueger M, Härtig W, Frydrychowicz C, Mueller WC, Reichenbach A, Bechmann I, Michalski D
Journal of cerebral blood flow and metabolism : official journal of the International Society of Cerebral Blood Flow and Metabolism (2017) 377: 2539-2554. 286 003 IHC; tested species: human
Blood-brain barrier breakdown involves four distinct stages of vascular damage in various models of experimental focal cerebral ischemia.
Krueger M, Bechmann I, Immig K, Reichenbach A, Härtig W, Michalski D
Journal of cerebral blood flow and metabolism : official journal of the International Society of Cerebral Blood Flow and Metabolism (2015) 352: 292-303. 286 003 IHC; tested species: mouse
Background
Albumins are globular, water soluble proteins. Serum albumin is the major protein in blood plasma and binds to different substances like cations, fatty acids, hormones, certain pharmaceuticals etc. However its main function is to regulate the colloidal osmotic pressure of blood.