Tailor-made Antibodies
and Tools for Life Science
Home | | | | | Technical Support

GalphaO1/2 antibody - 271 111 K.O.

GalphaO1 and 2 are G-proteins involved in the regulation of vesicular neurotransmitter transporters
Mouse monoclonal purified IgG
Cat. No.: 271 111
Amount: 100 µg
Price: $420.00
Cat. No. 271 111 100 µg purified IgG, lyophilized. For reconstitution add 100 µl H2O to get a 1mg/ml solution in PBS. Then aliquot and store at -20°C to -80°C until use.
Antibodies should be stored at +4°C when still lyophilized. Do not freeze!
Applications
 
WB: 1 : 1000 (AP staining) gallery  
IP: yes
ICC: 1 : 500 up to 1 : 1000 gallery  
IHC: 1 : 500 up to 1 : 2000 gallery  
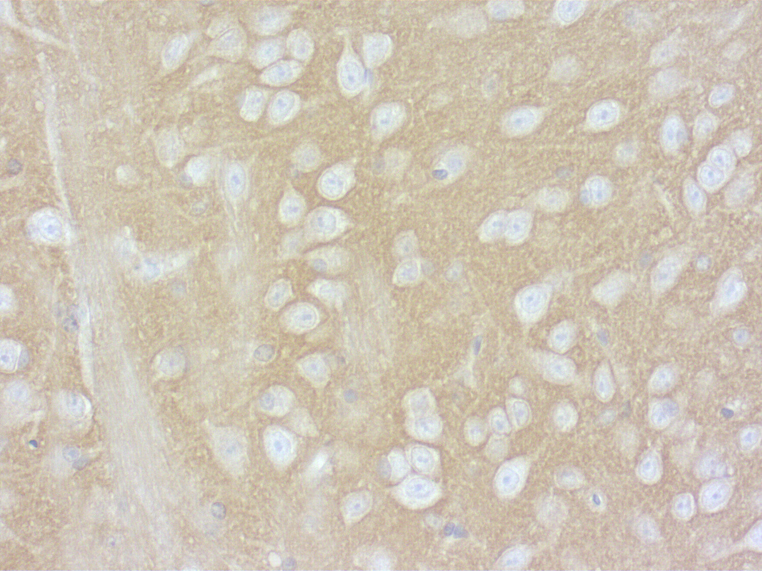
IHC-P: 1 : 1000 gallery  

Western blot (WB); separation of proteins by PAGE and subsequent transfer to a membrane. Detection of target molecules is carried out with antibodies. Some antibodies require special sample preparation steps. For details, please refer to the “Remarks” section.

Immunoprecipitation (IP); Immunoisolation or pulldown of a target molecule using an antibody. For details and product specific hints, please refer to the ”Remarks” section.

Immunocytochemistry (ICC) on 4% PFA fixed cells. Immunoreactivity is usually revealed by fluorescence. Some antibodies require special fixation methods. For details, please refer to the “Remarks” section.

Immunohistochemistry (IHC) on 4% PFA perfusion fixed tissue with 24h PFA post fixation. Immunoreactivity is usually revealed by fluorescence or a chromogenic substrate. Some antibodies require special fixation methods or antigen retrieval steps. For details, please refer to the ”Remarks” section.

Immunohistochemistry (IHC-P) of formalin fixed, paraffin embedded (FFPE) tissue (some antibodies require special antigen retrieval steps, please refer to the ”Remarks” section). Immunoreactivity is usually revealed by fluorescence or a chromogenic substrate.

Clone 101.1
Subtype IgG1 (κ light chain)
Immunogen Recombinant protein corresponding to AA 1 to 355 from rat GαO2 (UniProt Id: P18872)
Reactivity Reacts with: rat (P59215), mouse (P18872), zebrafish.
Other species not tested yet.
Specificity Recognizes GαO 1 and GαO 2. K.O. validated PubMed: 15872115
Data sheet 271_111.pdf

References for GalphaO1/2 - 271 111

Gαo1 and Gαo1/Gαo2 deletion differentially affect hippocampal mossy fiber tract anatomy and neuronal morphogenesis.
Höltje M, Wolkowicz A, Brunk I, Baron J, Ahnert-Hilger G
Journal of neurochemistry (2024) : . 271 111 WB, ICC, IHC; KO verified; tested species: mouse
Balance of Go1α and Go2α expression regulates motor function via the striatal dopaminergic system.
Baron J, Bilbao A, Hörtnagl H, Birnbaumer L, Leixner S, Spanagel R, Ahnert-Hilger G, Brunk I
Journal of neurochemistry (2018) : . 271 111 WB; tested species: mouse
Galphao2 regulates vesicular glutamate transporter activity by changing its chloride dependence.
Winter S, Brunk I, Walther DJ, Höltje M, Jiang M, Peter JU, Takamori S, Jahn R, Birnbaumer L, Ahnert-Hilger G
The Journal of neuroscience : the official journal of the Society for Neuroscience (2005) 2518: 4672-80. 271 111 WB; KO verified
Gαo1 and Gαo1/Gαo2 deletion differentially affect hippocampal mossy fiber tract anatomy and neuronal morphogenesis.
Höltje M, Wolkowicz A, Brunk I, Baron J, Ahnert-Hilger G
Journal of neurochemistry (2024) : . 271 111 WB, ICC, IHC; KO verified; tested species: mouse
The α-subunit of the trimeric GTPase Go2 regulates axonal growth.
Baron J, Blex C, Rohrbeck A, Rachakonda SK, Birnbaumer L, Ahnert-Hilger G, Brunk I
Journal of neurochemistry (2013) 1246: 782-94. 271 111 ICC
Gαo1 and Gαo1/Gαo2 deletion differentially affect hippocampal mossy fiber tract anatomy and neuronal morphogenesis.
Höltje M, Wolkowicz A, Brunk I, Baron J, Ahnert-Hilger G
Journal of neurochemistry (2024) : . 271 111 WB, ICC, IHC; KO verified; tested species: mouse
Cat. No.: 271 111
Amount: 100 µg
Price: $420.00
Gαo1 and Gαo1/Gαo2 deletion differentially affect hippocampal mossy fiber tract anatomy and neuronal morphogenesis.
Höltje M, Wolkowicz A, Brunk I, Baron J, Ahnert-Hilger G
Journal of neurochemistry (2024) : . 271 111 WB, ICC, IHC; KO verified; tested species: mouse
Balance of Go1α and Go2α expression regulates motor function via the striatal dopaminergic system.
Baron J, Bilbao A, Hörtnagl H, Birnbaumer L, Leixner S, Spanagel R, Ahnert-Hilger G, Brunk I
Journal of neurochemistry (2018) : . 271 111 WB; tested species: mouse
Galphao2 regulates vesicular glutamate transporter activity by changing its chloride dependence.
Winter S, Brunk I, Walther DJ, Höltje M, Jiang M, Peter JU, Takamori S, Jahn R, Birnbaumer L, Ahnert-Hilger G
The Journal of neuroscience : the official journal of the Society for Neuroscience (2005) 2518: 4672-80. 271 111 WB; KO verified
Gαo1 and Gαo1/Gαo2 deletion differentially affect hippocampal mossy fiber tract anatomy and neuronal morphogenesis.
Höltje M, Wolkowicz A, Brunk I, Baron J, Ahnert-Hilger G
Journal of neurochemistry (2024) : . 271 111 WB, ICC, IHC; KO verified; tested species: mouse
The α-subunit of the trimeric GTPase Go2 regulates axonal growth.
Baron J, Blex C, Rohrbeck A, Rachakonda SK, Birnbaumer L, Ahnert-Hilger G, Brunk I
Journal of neurochemistry (2013) 1246: 782-94. 271 111 ICC
Gαo1 and Gαo1/Gαo2 deletion differentially affect hippocampal mossy fiber tract anatomy and neuronal morphogenesis.
Höltje M, Wolkowicz A, Brunk I, Baron J, Ahnert-Hilger G
Journal of neurochemistry (2024) : . 271 111 WB, ICC, IHC; KO verified; tested species: mouse
Background

Neurotransmitters like monoamines, acetylcholine, glutamate, GABA, and glycine, are loaded into synaptic vesicles by transmitter specific vesicular transporters.
It has been shown that the monoamine transporters VmaT 1 and VmaT 2 are under negative regulation by different α subunits of trimeric G-proteins.
In contrast, the vesicular glutamate transporters (VGLUTs) are exclusively regulated by GαO 2 which modulates the chloride dependence of these proteins.