Tailor-made Antibodies
and Tools for Life Science
Home | | | | | Technical Support

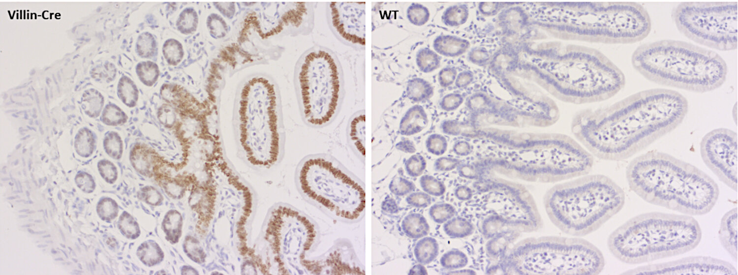
Cre-recombinase antibody - 257 005

Cre-recombinase is used for conditional or tissue specific knockouts
Guinea pig polyclonal purified antibody
Cat. No.: 257 005
Amount: 50 µg
Price: $465.00
Cat. No. 257 005 50 µg specific antibody, lyophilized. Affinity purified with the immunogen. Albumin and azide were added for stabilization. For reconstitution add 50 µl H2O to get a 1mg/ml solution in PBS. Then aliquot and store at -20°C to -80°C until use.
Antibodies should be stored at +4°C when still lyophilized. Do not freeze!
Applications
 
WB: not tested yet
IP: not tested yet
ICC: 1 : 500 gallery  
IHC: 1 : 500 gallery  
IHC-P: 1 : 500 gallery  

Western blot (WB); separation of proteins by PAGE and subsequent transfer to a membrane. Detection of target molecules is carried out with antibodies. Some antibodies require special sample preparation steps. For details, please refer to the “Remarks” section.

Immunoprecipitation (IP); Immunoisolation or pulldown of a target molecule using an antibody. For details and product specific hints, please refer to the ”Remarks” section.

Immunocytochemistry (ICC) on 4% PFA fixed cells. Immunoreactivity is usually revealed by fluorescence. Some antibodies require special fixation methods. For details, please refer to the “Remarks” section.

Immunohistochemistry (IHC) on 4% PFA perfusion fixed tissue with 24h PFA post fixation. Immunoreactivity is usually revealed by fluorescence or a chromogenic substrate. Some antibodies require special fixation methods or antigen retrieval steps. For details, please refer to the ”Remarks” section.

Immunohistochemistry (IHC-P) of formalin fixed, paraffin embedded (FFPE) tissue (some antibodies require special antigen retrieval steps, please refer to the ”Remarks” section). Immunoreactivity is usually revealed by fluorescence or a chromogenic substrate.

Immunogen Full length recombinant Cre-recombinase from Bacteriophage P1. (UniProt Id: P06956)
Specificity Recognizes Cre- and iCre-recombinase.
Data sheet 257_005.pdf

References for Cre-recombinase - 257 005

Perivascular neurons instruct 3D vascular lattice formation via neurovascular contact.
Toma K, Zhao M, Zhang S, Wang F, Graham HK, Zou J, Modgil S, Shang WH, Tsai NY, Cai Z, Liu L, et al.
Cell (2024) 18711: 2767-2784.e23. 257 005 IHC; tested species: mouse
Cat. No.: 257 005
Amount: 50 µg
Price: $465.00
Perivascular neurons instruct 3D vascular lattice formation via neurovascular contact.
Toma K, Zhao M, Zhang S, Wang F, Graham HK, Zou J, Modgil S, Shang WH, Tsai NY, Cai Z, Liu L, et al.
Cell (2024) 18711: 2767-2784.e23. 257 005 IHC; tested species: mouse
Background
Cre-Recombinase is a 38 kDa type 1 topoisomerase from bacteriophage P1. It is highly specific for a 34 bp DNA sequence (loxP) found in P1 DNA and catalyzes site-specific recombination between two 34-base-pair LOXP recognition sites. Its role is to maintain the phage genome as a monomeric unit-copy plasmid in the lysogenic state. Its highly specific catalytic activity makes it a valuable tool for the generation of conditional or tissue specific mutants.