Tailor-made Antibodies
and Tools for Life Science
Home | | | | | Technical Support

Abeta42 antibody - 218 708

Abeta peptides are major components of neuritic plaques in Alzheimer's disease
Rabbit monoclonal recombinant IgG
Cat. No.: 218 708
Amount: 50 µg
Price: $420.00
Cat. No. 218 708 50 µg purified recombinant IgG, lyophilized. Albumin and azide were added for stabilization. For reconstitution add 50 µl H2O to get a 1mg/ml solution in PBS. Then aliquot and store at -20°C to -80°C until use.
Antibodies should be stored at +4°C when still lyophilized. Do not freeze!
Applications
 
WB: not tested yet
Dot blot: 1 : 1000 (AP staining) (see remarks) gallery  
IP: not tested yet
ICC: not tested yet
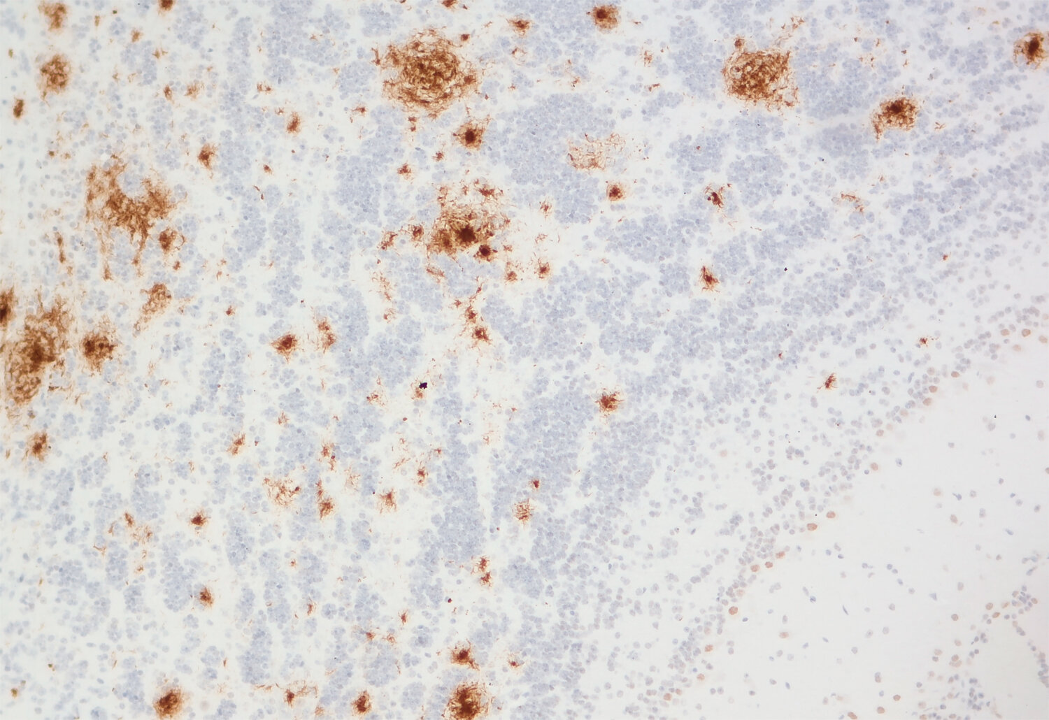
IHC: 1 : 1000 up to 1 : 5000 gallery  
IHC-P: 1 : 5000 gallery  
ELISA: yes gallery  

Western blot (WB); separation of proteins by PAGE and subsequent transfer to a membrane. Detection of target molecules is carried out with antibodies. Some antibodies require special sample preparation steps. For details, please refer to the “Remarks” section.

Immunodetection of target molecules spotted onto a membrane.

Immunoprecipitation (IP); Immunoisolation or pulldown of a target molecule using an antibody. For details and product specific hints, please refer to the ”Remarks” section.

Immunocytochemistry (ICC) on 4% PFA fixed cells. Immunoreactivity is usually revealed by fluorescence. Some antibodies require special fixation methods. For details, please refer to the “Remarks” section.

Immunohistochemistry (IHC) on 4% PFA perfusion fixed tissue with 24h PFA post fixation. Immunoreactivity is usually revealed by fluorescence or a chromogenic substrate. Some antibodies require special fixation methods or antigen retrieval steps. For details, please refer to the ”Remarks” section.

Immunohistochemistry (IHC-P) of formalin fixed, paraffin embedded (FFPE) tissue (some antibodies require special antigen retrieval steps, please refer to the ”Remarks” section). Immunoreactivity is usually revealed by fluorescence or a chromogenic substrate.

Enzyme-linked immunosorbent assay (ELISA); a frequently employed method to quantify target-molecules in solution. The detection of some proteins requires special solubilization steps. For further information, please refer to the „Remarks“ section.

Clone Rb295F2
Subtype IgG1 (κ light chain)
Immunogen Synthetic peptide corresponding to the carboxy terminal part of human Abeta42 (UniProt Id: P05067)
Reactivity Reacts with: human (P05067), rat (P08592), mouse (P12023).
Other species not tested yet.
Remarks

This antibody is a chimeric antibody based on the monoclonal mouse antibody 295F2. The constant regions of the heavy and light chains have been replaced with rabbit specific sequences. Therefore, the antibody can be used with standard anti-rabbit secondary reagents. The antibody has been expressed in mammalian cells.
Dot blot: This application was only tested with synthetic peptides. Please boil membrane for 3 minutes in PBS before blocking and antibody incubation.
IHC: Antigen retrieval with formic acid is required.
ELISA: Suitable as capture antibody for sandwich-ELISA. Please refer to the protocol for suitable detector antibodies.

Data sheet 218_708.pdf
Cat. No.: 218 708
Amount: 50 µg
Price: $420.00
Background

Amyloid deposits, also called plaques, of Alzheimer's patients consist of several protein components like the amyloid beta-peptides (Abeta, Aβ) 1-40/42/43 and additional C- and N-terminally modified fragments of Abeta as for instance Abeta pE3 and Abeta pE11.
An additional Abeta variant, Abeta38, is more soluble compared to other Abeta species and is not found in plaques of sporadic Alzheimer´s cases. However, it is detected in the blood-vessel walls of a subset of patients with severe cerebral amyloid angiopathy. It especially accumulates in brains of patients carrying mutations in the Abeta coding region.
Cleavage of amyloid precursor protein APP by β- and γ- secretases results in the generation of the Aβ (βA4)peptide, whereas α-secretase cleaves within the Aβ sequence and prevents the formation of Abeta from APP.