Tailor-made Antibodies
and Tools for Life Science
Home | | | | | Technical Support

Tenascin-C antibody - 217 127

Tenascin-C is a multidomain adhesion molecule
Rat monoclonal hybridoma supernatant
Cat. No.: 217 127
Amount: 200 µl
Price: $365.00
Cat. No. 217 127 200 µl hybridoma supernatant, lyophilized. For reconstitution add 200 µl H2O, then aliquot and store at -20°C until use.
Antibodies should be stored at +4°C when still lyophilized. Do not freeze!
Applications
 
WB: 1 : 500 up to 1 : 1000 (AP staining) gallery  
IP: not tested yet
ICC: 1 : 100 up to 1 : 500 gallery  
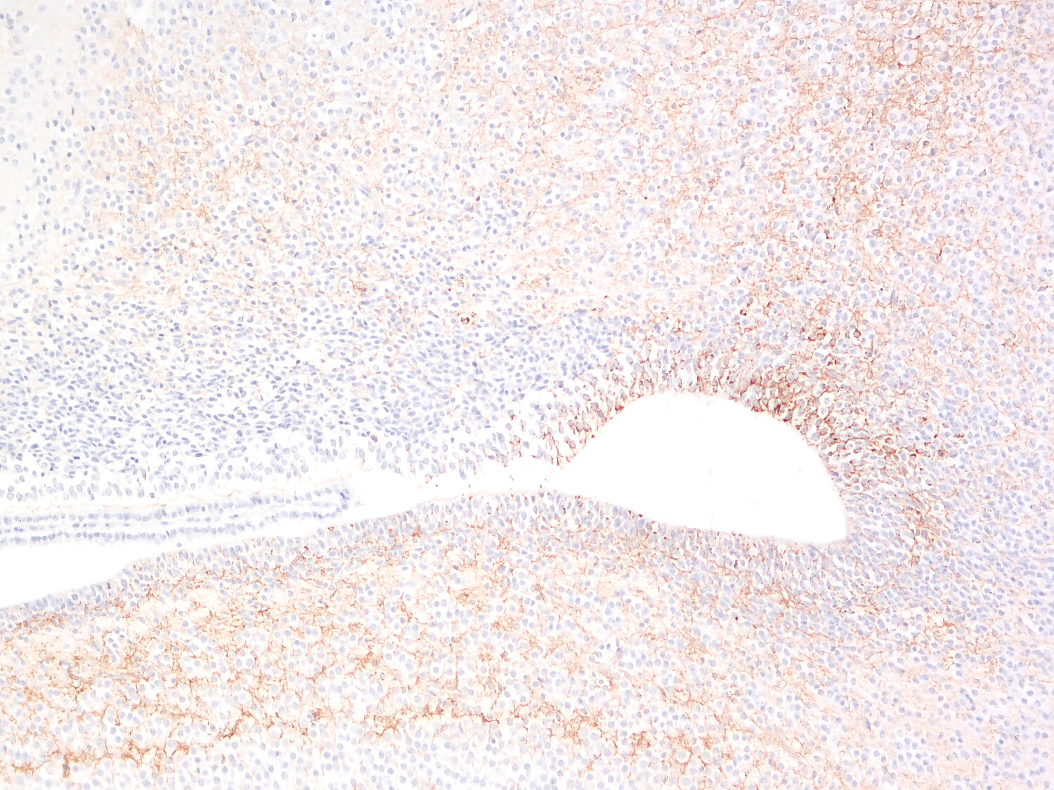
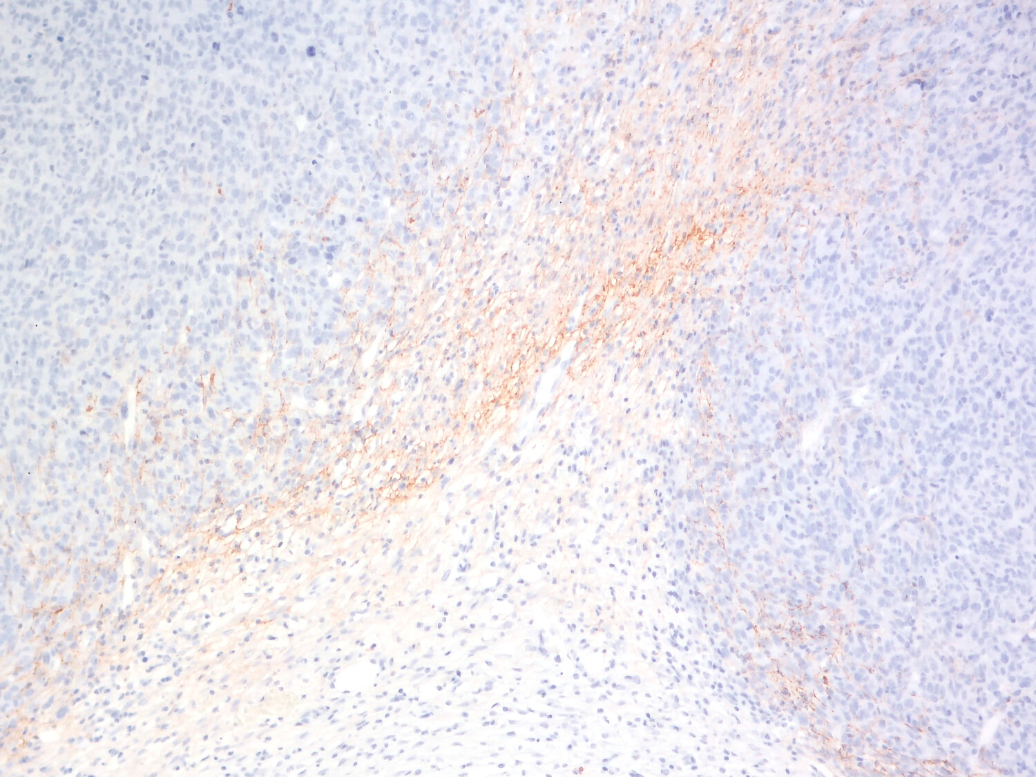
IHC: 1 : 500 gallery  
IHC-P: 1 : 500 up to 1 : 1000 gallery  

Western blot (WB); separation of proteins by PAGE and subsequent transfer to a membrane. Detection of target molecules is carried out with antibodies. Some antibodies require special sample preparation steps. For details, please refer to the “Remarks” section.

Immunoprecipitation (IP); Immunoisolation or pulldown of a target molecule using an antibody. For details and product specific hints, please refer to the ”Remarks” section.

Immunocytochemistry (ICC) on 4% PFA fixed cells. Immunoreactivity is usually revealed by fluorescence. Some antibodies require special fixation methods. For details, please refer to the “Remarks” section.

Immunohistochemistry (IHC) on 4% PFA perfusion fixed tissue with 24h PFA post fixation. Immunoreactivity is usually revealed by fluorescence or a chromogenic substrate. Some antibodies require special fixation methods or antigen retrieval steps. For details, please refer to the ”Remarks” section.

Immunohistochemistry (IHC-P) of formalin fixed, paraffin embedded (FFPE) tissue (some antibodies require special antigen retrieval steps, please refer to the ”Remarks” section). Immunoreactivity is usually revealed by fluorescence or a chromogenic substrate.

Clone 578
Subtype IgG2a
Immunogen Recombinant protein corresponding to AA 23 to 2210 from mouse Tenascin-C (UniProt Id: Q80YX1)
Epitop AA 1082 to 1510 from mouse Tenascin-C (UniProt Id: Q80YX1)
Reactivity Reacts with: rat, mouse (Q80YX1).
Other species not tested yet.
Specificity Specific for tenascin-C splice variants carrying the FNIII D domain.
Remarks

Tenascin-C variants detected by this antibody are downregulated during development and hardly detectable in adult animals

Data sheet 217_127.pdf

References for Tenascin-C - 217 127

Tenascin-C promotes neurite outgrowth of embryonic hippocampal neurons through the alternatively spliced fibronectin type III BD domains via activation of the cell adhesion molecule F3/contactin.
Rigato F, Garwood J, Calco V, Heck N, Faivre-Sarrailh C, Faissner A
The Journal of neuroscience : the official journal of the Society for Neuroscience (2002) 2215: 6596-609. 217 127 WB
Expression of tenascin in the developing and adult cerebellar cortex.
Bartsch S, Bartsch U, Dörries U, Faissner A, Weller A, Ekblom P, Schachner M
The Journal of neuroscience : the official journal of the Society for Neuroscience (1992) 123: 736-49. 217 127 WB, IHC
Expression of tenascin in the developing and adult cerebellar cortex.
Bartsch S, Bartsch U, Dörries U, Faissner A, Weller A, Ekblom P, Schachner M
The Journal of neuroscience : the official journal of the Society for Neuroscience (1992) 123: 736-49. 217 127 WB, IHC
Fibroblasts that proliferate near denervated synaptic sites in skeletal muscle synthesize the adhesive molecules tenascin(J1), N-CAM, fibronectin, and a heparan sulfate proteoglycan.
Gatchalian CL, Schachner M, Sanes JR
The Journal of cell biology (1989) 1085: 1873-90. 217 127 ICC, IHC
J1/tenascin-related molecules are not responsible for the segmented pattern of neural crest cells or motor axons in the chick embryo.
Stern CD, Norris WE, Bronner-Fraser M, Carlson GJ, Faissner A, Keynes RJ, Schachner M
Development (Cambridge, England) (1989) 1072: 309-19. 217 127 IHC
Cat. No.: 217 127
Amount: 200 µl
Price: $365.00
Tenascin-C promotes neurite outgrowth of embryonic hippocampal neurons through the alternatively spliced fibronectin type III BD domains via activation of the cell adhesion molecule F3/contactin.
Rigato F, Garwood J, Calco V, Heck N, Faivre-Sarrailh C, Faissner A
The Journal of neuroscience : the official journal of the Society for Neuroscience (2002) 2215: 6596-609. 217 127 WB
Expression of tenascin in the developing and adult cerebellar cortex.
Bartsch S, Bartsch U, Dörries U, Faissner A, Weller A, Ekblom P, Schachner M
The Journal of neuroscience : the official journal of the Society for Neuroscience (1992) 123: 736-49. 217 127 WB, IHC
Expression of tenascin in the developing and adult cerebellar cortex.
Bartsch S, Bartsch U, Dörries U, Faissner A, Weller A, Ekblom P, Schachner M
The Journal of neuroscience : the official journal of the Society for Neuroscience (1992) 123: 736-49. 217 127 WB, IHC
Fibroblasts that proliferate near denervated synaptic sites in skeletal muscle synthesize the adhesive molecules tenascin(J1), N-CAM, fibronectin, and a heparan sulfate proteoglycan.
Gatchalian CL, Schachner M, Sanes JR
The Journal of cell biology (1989) 1085: 1873-90. 217 127 ICC, IHC
J1/tenascin-related molecules are not responsible for the segmented pattern of neural crest cells or motor axons in the chick embryo.
Stern CD, Norris WE, Bronner-Fraser M, Carlson GJ, Faissner A, Keynes RJ, Schachner M
Development (Cambridge, England) (1989) 1072: 309-19. 217 127 IHC
Background
Tenascin-C, also referrred to as TN-C, Cytoactin, and J1-200/220, is a multimodular glycoprotein with neurite outgrowth-stimulating properties. It is composed of a cysteine rich amino-terminus followed by a stretch of EGF like and fibronectin type III (FNIII) repeats. Its C-terminus shows homologies to fibrinogen β and γ. In the central nervous system TN-C is transiently expressed by immature astrocytes and by subpopulations of neurons, e.g., retinal ganglion cells.