Tailor-made Antibodies
and Tools for Life Science
Home | | | | | Technical Support

ChT antibody - 216 011 K.O.

ChT is a high affinity choline transporter
Mouse monoclonal purified IgG
Cat. No.: 216 011
Amount: 100 µg
Price: $420.00
Cat. No. 216 011 100 µg purified IgG, lyophilized. Albumin and azide were added for stabilization. For reconstitution add 100 µl H2O to get a 1mg/ml solution in PBS. Then aliquot and store at -20°C to -80°C until use.
Antibodies should be stored at +4°C when still lyophilized. Do not freeze!
Applications
 
WB: 1 : 1000 (AP staining) gallery  
IP: yes
ICC: not tested yet
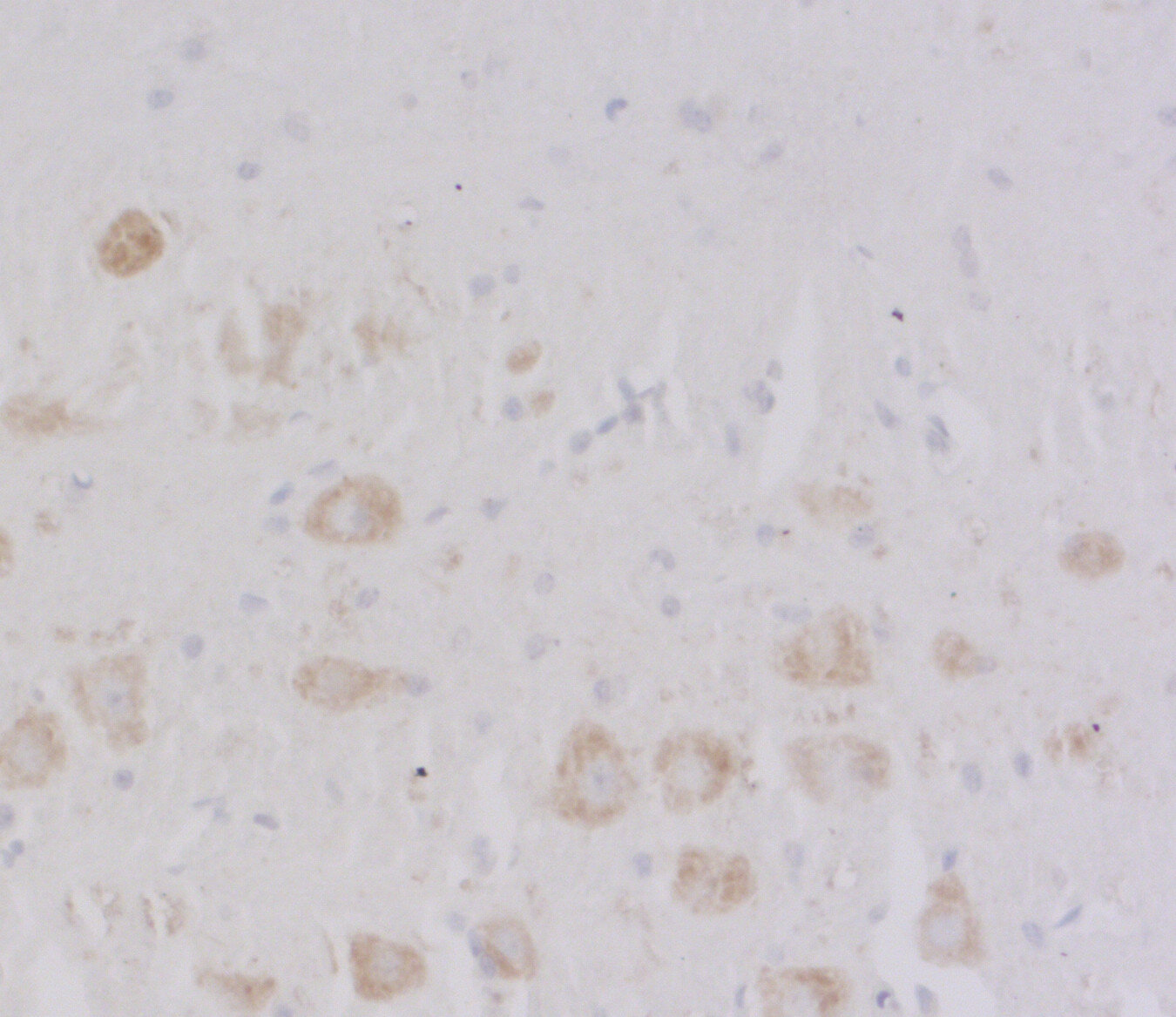
IHC: 1 : 100 gallery  
IHC-P: 1 : 1000 (see remarks) gallery  

Western blot (WB); separation of proteins by PAGE and subsequent transfer to a membrane. Detection of target molecules is carried out with antibodies. Some antibodies require special sample preparation steps. For details, please refer to the “Remarks” section.

Immunoprecipitation (IP); Immunoisolation or pulldown of a target molecule using an antibody. For details and product specific hints, please refer to the ”Remarks” section.

Immunocytochemistry (ICC) on 4% PFA fixed cells. Immunoreactivity is usually revealed by fluorescence. Some antibodies require special fixation methods. For details, please refer to the “Remarks” section.

Immunohistochemistry (IHC) on 4% PFA perfusion fixed tissue with 24h PFA post fixation. Immunoreactivity is usually revealed by fluorescence or a chromogenic substrate. Some antibodies require special fixation methods or antigen retrieval steps. For details, please refer to the ”Remarks” section.

Immunohistochemistry (IHC-P) of formalin fixed, paraffin embedded (FFPE) tissue (some antibodies require special antigen retrieval steps, please refer to the ”Remarks” section). Immunoreactivity is usually revealed by fluorescence or a chromogenic substrate.

Clone 62-2E8
Subtype IgG1 (κ light chain)
Immunogen Recombinant protein corresponding to residues near the C-terminus of rat ChT (UniProt Id: Q9JMD7)
Reactivity Reacts with: monkey, rat (Q9JMD7), mouse (Q8BGY9).
Other species not tested yet.
Specificity K.O. validated
Remarks

WB: To avoid protein aggregation, do not heat samples for SDS-PAGE.
IHC-P: Not recommended for rat tissue. Unspecific nuclear signal has been observed using our standard IHC-P protocol.

Data sheet 216_011.pdf

References for ChT - 216 011

Aberrant trafficking of the high-affinity choline transporter in AP-3-deficient mice.
Misawa H, Fujigaya H, Nishimura T, Moriwaki Y, Okuda T, Kawashima K, Nakata K, Ruggiero AM, Blakely RD, Nakatsu F, Ohno H, et al.
The European journal of neuroscience (2008) 2712: 3109-17. 216 011 WB
Vesicular localization and activity-dependent trafficking of presynaptic choline transporters.
Ferguson SM, Savchenko V, Apparsundaram S, Zwick M, Wright J, Heilman CJ, Yi H, Levey AI, Blakely RD
The Journal of neuroscience : the official journal of the Society for Neuroscience (2003) 2330: 9697-709. 216 011 WB, IP, IHC; tested species: mouse
Vesicular localization and activity-dependent trafficking of presynaptic choline transporters.
Ferguson SM, Savchenko V, Apparsundaram S, Zwick M, Wright J, Heilman CJ, Yi H, Levey AI, Blakely RD
The Journal of neuroscience : the official journal of the Society for Neuroscience (2003) 2330: 9697-709. 216 011 WB, IP, IHC; tested species: mouse
Central Cholinergic Synapse Formation in Optimized Primary Septal-Hippocampal Co-cultures.
Djemil S, Ressel CR, Abdel-Ghani M, Schneeweis AK, Pak DTS
Cellular and molecular neurobiology (2020) : . 216 011 ICC; tested species: rat
Vesicular acetylcholine transporter (VAChT) over-expression induces major modifications of striatal cholinergic interneuron morphology and function.
Janickova H, Prado VF, Prado MAM, El Mestikawy S, Bernard V
Journal of neurochemistry (2017) : . 216 011 IHC; tested species: mouse
Vesicular localization and activity-dependent trafficking of presynaptic choline transporters.
Ferguson SM, Savchenko V, Apparsundaram S, Zwick M, Wright J, Heilman CJ, Yi H, Levey AI, Blakely RD
The Journal of neuroscience : the official journal of the Society for Neuroscience (2003) 2330: 9697-709. 216 011 WB, IP, IHC; tested species: mouse
Distribution of high affinity choline transporter immunoreactivity in the primate central nervous system.
Kus L, Borys E, Ping Chu Y, Ferguson SM, Blakely RD, Emborg ME, Kordower JH, Levey AI, Mufson EJ
The Journal of comparative neurology (2003) 4633: 341-57. 216 011 IHC; tested species: monkey
Cat. No.: 216 011
Amount: 100 µg
Price: $420.00
Aberrant trafficking of the high-affinity choline transporter in AP-3-deficient mice.
Misawa H, Fujigaya H, Nishimura T, Moriwaki Y, Okuda T, Kawashima K, Nakata K, Ruggiero AM, Blakely RD, Nakatsu F, Ohno H, et al.
The European journal of neuroscience (2008) 2712: 3109-17. 216 011 WB
Vesicular localization and activity-dependent trafficking of presynaptic choline transporters.
Ferguson SM, Savchenko V, Apparsundaram S, Zwick M, Wright J, Heilman CJ, Yi H, Levey AI, Blakely RD
The Journal of neuroscience : the official journal of the Society for Neuroscience (2003) 2330: 9697-709. 216 011 WB, IP, IHC; tested species: mouse
Vesicular localization and activity-dependent trafficking of presynaptic choline transporters.
Ferguson SM, Savchenko V, Apparsundaram S, Zwick M, Wright J, Heilman CJ, Yi H, Levey AI, Blakely RD
The Journal of neuroscience : the official journal of the Society for Neuroscience (2003) 2330: 9697-709. 216 011 WB, IP, IHC; tested species: mouse
Central Cholinergic Synapse Formation in Optimized Primary Septal-Hippocampal Co-cultures.
Djemil S, Ressel CR, Abdel-Ghani M, Schneeweis AK, Pak DTS
Cellular and molecular neurobiology (2020) : . 216 011 ICC; tested species: rat
Vesicular acetylcholine transporter (VAChT) over-expression induces major modifications of striatal cholinergic interneuron morphology and function.
Janickova H, Prado VF, Prado MAM, El Mestikawy S, Bernard V
Journal of neurochemistry (2017) : . 216 011 IHC; tested species: mouse
Vesicular localization and activity-dependent trafficking of presynaptic choline transporters.
Ferguson SM, Savchenko V, Apparsundaram S, Zwick M, Wright J, Heilman CJ, Yi H, Levey AI, Blakely RD
The Journal of neuroscience : the official journal of the Society for Neuroscience (2003) 2330: 9697-709. 216 011 WB, IP, IHC; tested species: mouse
Distribution of high affinity choline transporter immunoreactivity in the primate central nervous system.
Kus L, Borys E, Ping Chu Y, Ferguson SM, Blakely RD, Emborg ME, Kordower JH, Levey AI, Mufson EJ
The Journal of comparative neurology (2003) 4633: 341-57. 216 011 IHC; tested species: monkey
Background

Acetylcholine (ACh) functions as a neurotransmitter in both the central and peripheral nervous systems of all vertebrates, and is the principal neurotransmitter used at the neuromuscular junction. This neurotransmitter is synthesized from choline (Ch) and acetyl-coenzyme A by choline acetyltransferase (ChAT). For this pathway choline is required, which neurons acquire through high-affinity choline transporters (ChTs). ChT have been found on the presynaptic membrane but also on ACh containing synaptic vesicles.