Tailor-made Antibodies
and Tools for Life Science
Home | | | | | Technical Support

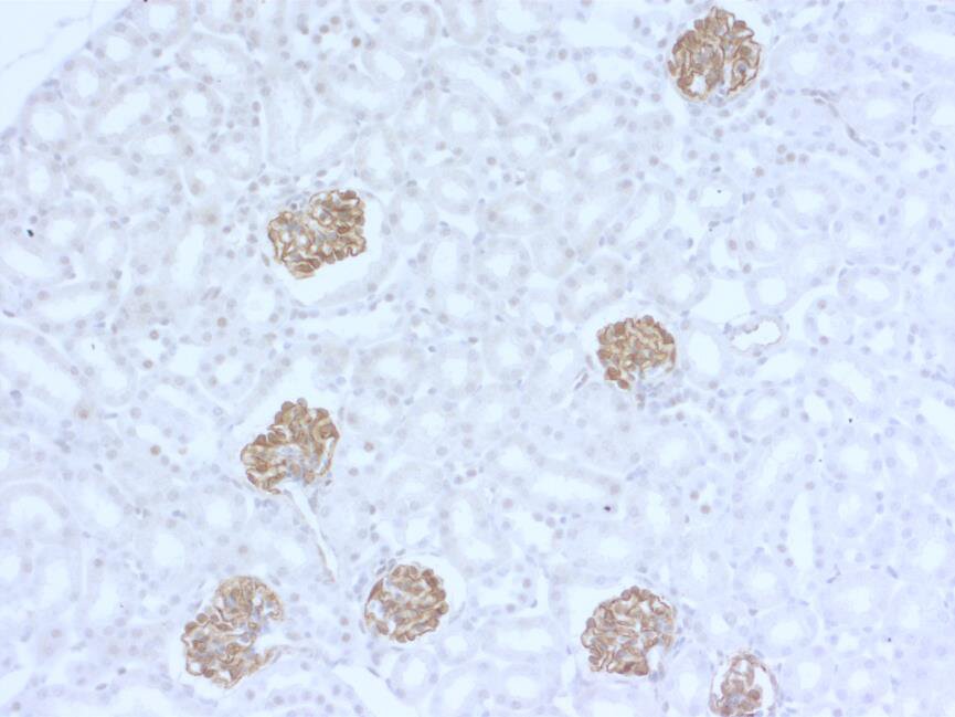
Synaptopodin antibody - 163 002 K.O.

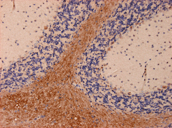
Synaptopodin is an actin associated protein present in renal podocytes and telencephalic dendrites
Rabbit polyclonal antiserum
Cat. No.: 163 002
Amount: 200 µl
Price: $360.00
Cat. No. 163 002 200 µl antiserum, lyophilized. For reconstitution add 200 µl H2O, then aliquot and store at -20°C until use.
Antibodies should be stored at +4°C when still lyophilized. Do not freeze!
Applications
 
WB: 1 : 1000 (AP staining) gallery  
IP: yes
ICC: 1 : 600 gallery  
IHC: 1 : 250 up to 1 : 500 gallery  
IHC-P: 1 : 250 up to 1 : 500 gallery  
EM: external data (see remarks)

Western blot (WB); separation of proteins by PAGE and subsequent transfer to a membrane. Detection of target molecules is carried out with antibodies. Some antibodies require special sample preparation steps. For details, please refer to the “Remarks” section.

Immunoprecipitation (IP); Immunoisolation or pulldown of a target molecule using an antibody. For details and product specific hints, please refer to the ”Remarks” section.

Immunocytochemistry (ICC) on 4% PFA fixed cells. Immunoreactivity is usually revealed by fluorescence. Some antibodies require special fixation methods. For details, please refer to the “Remarks” section.

Immunohistochemistry (IHC) on 4% PFA perfusion fixed tissue with 24h PFA post fixation. Immunoreactivity is usually revealed by fluorescence or a chromogenic substrate. Some antibodies require special fixation methods or antigen retrieval steps. For details, please refer to the ”Remarks” section.

Immunohistochemistry (IHC-P) of formalin fixed, paraffin embedded (FFPE) tissue (some antibodies require special antigen retrieval steps, please refer to the ”Remarks” section). Immunoreactivity is usually revealed by fluorescence or a chromogenic substrate.

Electron microscopy (EM) is a microscopy technique that detects the scatter of electrons through thin tissue sections. In Immuno-EM the antigen is usually revealed by colloidal gold conjugated secondary antibodies linking electron dense structures to antigen-bound primary antibodies.

Immunogen Recombinant protein corresponding to residues near the central region of mouse Synaptopodin. (UniProt Id: Q8CC35)
Reactivity Reacts with: human (Q8N3V7), rat (Q9Z327), mouse (Q8CC35).
Other species not tested yet.
Specificity This antibody detects the renal Synpo-long and the neuronal Synpo-short isofoms but is negativ for the T-variant. K.O. validated
Matching control protein/peptide 163-0P
Remarks

EM: This antibody has been successfully applied and published for this method by customers (see application-specific references).

Data sheet 163_002.pdf

References for Synaptopodin - 163 002

Expression of synaptic proteins and development of dendritic spines in fetal and postnatal neocortex of the pig, the European wild boar Sus scrofa.
Sobierajski E, Czubay K, Schmidt MR, Wiedenski S, Rettschlag S, Beemelmans C, Beemelmans C, Wahle P
Brain structure & function (2025) 2302: 38. 163 002 WB; tested species: pig
EW-7197 Attenuates the Progression of Diabetic Nephropathy in db/db Mice through Suppression of Fibrogenesis and Inflammation.
Ha KB, Sangartit W, Jeong AR, Lee ES, Kim HM, Shim S, Kukongviriyapan U, Kim DK, Lee EY, Chung CH
Endocrinology and metabolism (Seoul, Korea) (2022) 371: 96-111. 163 002 WB; tested species: mouse
miR-124-dependent tagging of synapses by synaptopodin enables input-specific homeostatic plasticity.
Dubes S, Soula A, Benquet S, Tessier B, Poujol C, Favereaux A, Thoumine O, Letellier M
The EMBO journal (2022) : e109012. 163 002 WB, ICC; tested species: rat
Proteome dynamics during homeostatic scaling in cultured neurons.
Dörrbaum AR, Alvarez-Castelao B, Nassim-Assir B, Langer JD, Schuman EM
eLife (2020) 9: . 163 002 WB; tested species: rat
Synaptopodin is regulated by aromatase activity.
Fester L, Zhou L, Ossig C, Labitzke J, Bläute C, Bader M, Vollmer G, Jarry H, Rune GM
Journal of neurochemistry (2017) 1401: 126-139. 163 002 WB, ICC, IHC
Proteomic screening of glutamatergic mouse brain synaptosomes isolated by fluorescence activated sorting.
Biesemann C, Grønborg M, Luquet E, Wichert SP, Bernard V, Bungers SR, Cooper B, Varoqueaux F, Li L, Byrne JA, Urlaub H, et al.
The EMBO journal (2014) 332: 157-70. 163 002 WB; tested species: mouse
Alzheimer brain-derived amyloid β-protein impairs synaptic remodeling and memory consolidation.
Borlikova GG, Trejo M, Mably AJ, Mc Donald JM, Sala Frigerio C, Regan CM, Murphy KJ, Masliah E, Walsh DM
Neurobiology of aging (2013) 345: 1315-27. 163 002 WB; tested species: rat
Chronic corticosterone exposure alters postsynaptic protein levels of PSD-95, NR1, and synaptopodin in the mouse brain.
Cohen JW, Louneva N, Han LY, Hodes GE, Wilson RS, Bennett DA, Lucki I, Arnold SE
Synapse (New York, N.Y.) (2011) 658: 763-70. 163 002 WB, IHC
Synaptopodin regulates plasticity of dendritic spines in hippocampal neurons.
Vlachos A, Korkotian E, Schonfeld E, Copanaki E, Deller T, Segal M
The Journal of neuroscience : the official journal of the Society for Neuroscience (2009) 294: 1017-33. 163 002 WB, ICC
Synaptopodin Regulates Denervation-Induced Plasticity at Hippocampal Mossy Fiber Synapses.
Kruse P, Brandes G, Hemeling H, Huang Z, Wrede C, Hegermann J, Vlachos A, Lenz M
Cells (2024) 132: . 163 002 IP; tested species: mouse
Unveiling the cell biology of hippocampal neurons with dendritic axon origin.
Han Y, Hacker D, Donders BC, Parperis C, Thuenauer R, Leterrier C, Grünewald K, Mikhaylova M
The Journal of cell biology (2025) 2241: . 163 002 ICC; tested species: rat
Caldendrin and myosin V regulate synaptic spine apparatus localization via ER stabilization in dendritic spines.
Konietzny A, Grendel J, Kadek A, Bucher M, Han Y, Hertrich N, Dekkers DHW, Demmers JAA, Grünewald K, Uetrecht C, Mikhaylova M, et al.
The EMBO journal (2022) 414: e106523. 163 002 ICC; tested species: mouse,rat
miR-124-dependent tagging of synapses by synaptopodin enables input-specific homeostatic plasticity.
Dubes S, Soula A, Benquet S, Tessier B, Poujol C, Favereaux A, Thoumine O, Letellier M
The EMBO journal (2022) : e109012. 163 002 WB, ICC; tested species: rat
Stabilization of Spine Synaptopodin by mGluR1 Is Required for mGluR-LTD.
Speranza L, Inglebert Y, De Sanctis C, Wu PY, Kalinowska M, McKinney RA, Francesconi A
The Journal of neuroscience : the official journal of the Society for Neuroscience (2022) 429: 1666-1678. 163 002 ICC; tested species: mouse
RIPK3 Contributes to Lyso-Gb3-Induced Podocyte Death.
Kim SY, Park S, Lee SW, Lee JH, Lee ES, Kim M, Kim Y, Kang JS, Chung CH, Moon JS, Lee EY, et al.
Cells (2021) 102: . 163 002 ICC; tested species: mouse
Synaptic activity and strength are reflected by changes in the post-synaptic secretory pathway.
Gürth CM, Dankovich TM, Rizzoli SO, D'Este E
Scientific reports (2020) 101: 20576. 163 002 ICC; tested species: rat
Synaptopodin is regulated by aromatase activity.
Fester L, Zhou L, Ossig C, Labitzke J, Bläute C, Bader M, Vollmer G, Jarry H, Rune GM
Journal of neurochemistry (2017) 1401: 126-139. 163 002 WB, ICC, IHC
Synaptopodin regulates plasticity of dendritic spines in hippocampal neurons.
Vlachos A, Korkotian E, Schonfeld E, Copanaki E, Deller T, Segal M
The Journal of neuroscience : the official journal of the Society for Neuroscience (2009) 294: 1017-33. 163 002 WB, ICC
Combined DiI and Antibody Labeling Reveals Complex Dysgenesis of Hippocampal Dendritic Spines in a Mouse Model of Fragile X Syndrome.
Speranza L, Filiz KD, Goebel S, Perrone-Capano C, Pulcrano S, Volpicelli F, Francesconi A
Biomedicines (2022) 1011: . 163 002 IHC; tested species: mouse
Podocyte endowment and the impact of adult body size on kidney health.
Cullen-McEwen LA, van der Wolde J, Haruhara K, Tribolet L, Dowling JP, Bertram MG, de Matteo R, Haas F, Czogalla J, Okabayashi Y, Armitage JA, et al.
American journal of physiology. Renal physiology (2021) 3213: F322-F334. 163 002 IHC; tested species: rat
All-trans retinoic acid induces synaptic plasticity in human cortical neurons.
Lenz M, Kruse P, Eichler A, Straehle J, Beck J, Deller T, Vlachos A
eLife (2021) 10: . 163 002 IHC, EM; tested species: human,mouse
The BDNF Val66Met polymorphism (rs6265) enhances dopamine neuron graft efficacy and side-effect liability in rs6265 knock-in rats.
Mercado NM, Stancati JA, Sortwell CE, Mueller RL, Boezwinkle SA, Duffy MF, Fischer DL, Sandoval IM, Manfredsson FP, Collier TJ, Steece-Collier K, et al.
Neurobiology of disease (2020) 148: 105175. 163 002 IHC; tested species: rat
Granule Cell Ensembles in Mouse Dentate Gyrus Rapidly Upregulate the Plasticity-Related Protein Synaptopodin after Exploration Behavior.
Paul MH, Choi M, Schlaudraff J, Deller T, Del Turco D
Cerebral cortex (New York, N.Y. : 1991) (2019) : . 163 002 IHC, EM; tested species: mouse
Structural Plasticity of Synaptopodin in the Axon Initial Segment during Visual Cortex Development.
Schlüter A, Del Turco D, Deller T, Gutzmann A, Schultz C, Engelhardt M
Cerebral cortex (New York, N.Y. : 1991) (2017) 279: 4662-4675. 163 002 IHC
Synaptopodin is regulated by aromatase activity.
Fester L, Zhou L, Ossig C, Labitzke J, Bläute C, Bader M, Vollmer G, Jarry H, Rune GM
Journal of neurochemistry (2017) 1401: 126-139. 163 002 WB, ICC, IHC
Interrogating the aged striatum: robust survival of grafted dopamine neurons in aging rats produces inferior behavioral recovery and evidence of impaired integration.
Collier TJ, O'Malley J, Rademacher DJ, Stancati JA, Sisson KA, Sortwell CE, Paumier KL, Gebremedhin KG, Steece-Collier K
Neurobiology of disease (2015) 77: 191-203. 163 002 IHC
NKG2D ligand overexpression in lupus nephritis correlates with increased NK cell activity and differentiation in kidneys but not in the periphery.
Spada R, Rojas JM, Pérez-Yagüe S, Mulens V, Cannata-Ortiz P, Bragado R, Barber DF
Journal of leukocyte biology (2015) 973: 583-98. 163 002 IHC
Distinct synaptic and neurochemical changes to the granule cell-CA3 projection in Bassoon mutant mice.
Dieni S, Nestel S, Sibbe M, Frotscher M, Hellwig S
Frontiers in synaptic neuroscience (2015) 7: 18. 163 002 IHC; tested species: mouse
Glomerular endothelial cell injury and damage precedes that of podocytes in adriamycin-induced nephropathy.
Sun YB, Qu X, Zhang X, Caruana G, Bertram JF, Li J
PloS one (2013) 81: e55027. 163 002 IHC
Chronic corticosterone exposure alters postsynaptic protein levels of PSD-95, NR1, and synaptopodin in the mouse brain.
Cohen JW, Louneva N, Han LY, Hodes GE, Wilson RS, Bennett DA, Lucki I, Arnold SE
Synapse (New York, N.Y.) (2011) 658: 763-70. 163 002 WB, IHC
Podocytes require the engagement of cell surface heparan sulfate proteoglycans for adhesion to extracellular matrices.
Chen S, Wassenhove-McCarthy D, Yamaguchi Y, Holzman L, van Kuppevelt TH, Orr AW, Funk S, Woods A, McCarthy K
Kidney international (2010) 7811: 1088-99. 163 002 IHC
Effect of the monocyte chemoattractant protein-1/CC chemokine receptor 2 system on nephrin expression in streptozotocin-treated mice and human cultured podocytes.
Tarabra E, Giunti S, Barutta F, Salvidio G, Burt D, Deferrari G, Gambino R, Vergola D, Pinach S, Perin PC, Camussi G, et al.
Diabetes (2009) 589: 2109-18. 163 002 IHC
All-trans retinoic acid induces synaptic plasticity in human cortical neurons.
Lenz M, Kruse P, Eichler A, Straehle J, Beck J, Deller T, Vlachos A
eLife (2021) 10: . 163 002 IHC, EM; tested species: human,mouse
The actin-modulating protein synaptopodin mediates long-term survival of dendritic spines.
Yap K, Drakew A, Smilovic D, Rietsche M, Paul MH, Vuksic M, Del Turco D, Deller T
eLife (2020) 9: . 163 002 EM; tested species: mouse
Granule Cell Ensembles in Mouse Dentate Gyrus Rapidly Upregulate the Plasticity-Related Protein Synaptopodin after Exploration Behavior.
Paul MH, Choi M, Schlaudraff J, Deller T, Del Turco D
Cerebral cortex (New York, N.Y. : 1991) (2019) : . 163 002 IHC, EM; tested species: mouse
Cat. No.: 163 002
Amount: 200 µl
Price: $360.00
Expression of synaptic proteins and development of dendritic spines in fetal and postnatal neocortex of the pig, the European wild boar Sus scrofa.
Sobierajski E, Czubay K, Schmidt MR, Wiedenski S, Rettschlag S, Beemelmans C, Beemelmans C, Wahle P
Brain structure & function (2025) 2302: 38. 163 002 WB; tested species: pig
EW-7197 Attenuates the Progression of Diabetic Nephropathy in db/db Mice through Suppression of Fibrogenesis and Inflammation.
Ha KB, Sangartit W, Jeong AR, Lee ES, Kim HM, Shim S, Kukongviriyapan U, Kim DK, Lee EY, Chung CH
Endocrinology and metabolism (Seoul, Korea) (2022) 371: 96-111. 163 002 WB; tested species: mouse
miR-124-dependent tagging of synapses by synaptopodin enables input-specific homeostatic plasticity.
Dubes S, Soula A, Benquet S, Tessier B, Poujol C, Favereaux A, Thoumine O, Letellier M
The EMBO journal (2022) : e109012. 163 002 WB, ICC; tested species: rat
Proteome dynamics during homeostatic scaling in cultured neurons.
Dörrbaum AR, Alvarez-Castelao B, Nassim-Assir B, Langer JD, Schuman EM
eLife (2020) 9: . 163 002 WB; tested species: rat
Synaptopodin is regulated by aromatase activity.
Fester L, Zhou L, Ossig C, Labitzke J, Bläute C, Bader M, Vollmer G, Jarry H, Rune GM
Journal of neurochemistry (2017) 1401: 126-139. 163 002 WB, ICC, IHC
Proteomic screening of glutamatergic mouse brain synaptosomes isolated by fluorescence activated sorting.
Biesemann C, Grønborg M, Luquet E, Wichert SP, Bernard V, Bungers SR, Cooper B, Varoqueaux F, Li L, Byrne JA, Urlaub H, et al.
The EMBO journal (2014) 332: 157-70. 163 002 WB; tested species: mouse
Alzheimer brain-derived amyloid β-protein impairs synaptic remodeling and memory consolidation.
Borlikova GG, Trejo M, Mably AJ, Mc Donald JM, Sala Frigerio C, Regan CM, Murphy KJ, Masliah E, Walsh DM
Neurobiology of aging (2013) 345: 1315-27. 163 002 WB; tested species: rat
Chronic corticosterone exposure alters postsynaptic protein levels of PSD-95, NR1, and synaptopodin in the mouse brain.
Cohen JW, Louneva N, Han LY, Hodes GE, Wilson RS, Bennett DA, Lucki I, Arnold SE
Synapse (New York, N.Y.) (2011) 658: 763-70. 163 002 WB, IHC
Synaptopodin regulates plasticity of dendritic spines in hippocampal neurons.
Vlachos A, Korkotian E, Schonfeld E, Copanaki E, Deller T, Segal M
The Journal of neuroscience : the official journal of the Society for Neuroscience (2009) 294: 1017-33. 163 002 WB, ICC
Synaptopodin Regulates Denervation-Induced Plasticity at Hippocampal Mossy Fiber Synapses.
Kruse P, Brandes G, Hemeling H, Huang Z, Wrede C, Hegermann J, Vlachos A, Lenz M
Cells (2024) 132: . 163 002 IP; tested species: mouse
Unveiling the cell biology of hippocampal neurons with dendritic axon origin.
Han Y, Hacker D, Donders BC, Parperis C, Thuenauer R, Leterrier C, Grünewald K, Mikhaylova M
The Journal of cell biology (2025) 2241: . 163 002 ICC; tested species: rat
Caldendrin and myosin V regulate synaptic spine apparatus localization via ER stabilization in dendritic spines.
Konietzny A, Grendel J, Kadek A, Bucher M, Han Y, Hertrich N, Dekkers DHW, Demmers JAA, Grünewald K, Uetrecht C, Mikhaylova M, et al.
The EMBO journal (2022) 414: e106523. 163 002 ICC; tested species: mouse,rat
miR-124-dependent tagging of synapses by synaptopodin enables input-specific homeostatic plasticity.
Dubes S, Soula A, Benquet S, Tessier B, Poujol C, Favereaux A, Thoumine O, Letellier M
The EMBO journal (2022) : e109012. 163 002 WB, ICC; tested species: rat
Stabilization of Spine Synaptopodin by mGluR1 Is Required for mGluR-LTD.
Speranza L, Inglebert Y, De Sanctis C, Wu PY, Kalinowska M, McKinney RA, Francesconi A
The Journal of neuroscience : the official journal of the Society for Neuroscience (2022) 429: 1666-1678. 163 002 ICC; tested species: mouse
RIPK3 Contributes to Lyso-Gb3-Induced Podocyte Death.
Kim SY, Park S, Lee SW, Lee JH, Lee ES, Kim M, Kim Y, Kang JS, Chung CH, Moon JS, Lee EY, et al.
Cells (2021) 102: . 163 002 ICC; tested species: mouse
Synaptic activity and strength are reflected by changes in the post-synaptic secretory pathway.
Gürth CM, Dankovich TM, Rizzoli SO, D'Este E
Scientific reports (2020) 101: 20576. 163 002 ICC; tested species: rat
Synaptopodin is regulated by aromatase activity.
Fester L, Zhou L, Ossig C, Labitzke J, Bläute C, Bader M, Vollmer G, Jarry H, Rune GM
Journal of neurochemistry (2017) 1401: 126-139. 163 002 WB, ICC, IHC
Synaptopodin regulates plasticity of dendritic spines in hippocampal neurons.
Vlachos A, Korkotian E, Schonfeld E, Copanaki E, Deller T, Segal M
The Journal of neuroscience : the official journal of the Society for Neuroscience (2009) 294: 1017-33. 163 002 WB, ICC
Combined DiI and Antibody Labeling Reveals Complex Dysgenesis of Hippocampal Dendritic Spines in a Mouse Model of Fragile X Syndrome.
Speranza L, Filiz KD, Goebel S, Perrone-Capano C, Pulcrano S, Volpicelli F, Francesconi A
Biomedicines (2022) 1011: . 163 002 IHC; tested species: mouse
Podocyte endowment and the impact of adult body size on kidney health.
Cullen-McEwen LA, van der Wolde J, Haruhara K, Tribolet L, Dowling JP, Bertram MG, de Matteo R, Haas F, Czogalla J, Okabayashi Y, Armitage JA, et al.
American journal of physiology. Renal physiology (2021) 3213: F322-F334. 163 002 IHC; tested species: rat
All-trans retinoic acid induces synaptic plasticity in human cortical neurons.
Lenz M, Kruse P, Eichler A, Straehle J, Beck J, Deller T, Vlachos A
eLife (2021) 10: . 163 002 IHC, EM; tested species: human,mouse
The BDNF Val66Met polymorphism (rs6265) enhances dopamine neuron graft efficacy and side-effect liability in rs6265 knock-in rats.
Mercado NM, Stancati JA, Sortwell CE, Mueller RL, Boezwinkle SA, Duffy MF, Fischer DL, Sandoval IM, Manfredsson FP, Collier TJ, Steece-Collier K, et al.
Neurobiology of disease (2020) 148: 105175. 163 002 IHC; tested species: rat
Granule Cell Ensembles in Mouse Dentate Gyrus Rapidly Upregulate the Plasticity-Related Protein Synaptopodin after Exploration Behavior.
Paul MH, Choi M, Schlaudraff J, Deller T, Del Turco D
Cerebral cortex (New York, N.Y. : 1991) (2019) : . 163 002 IHC, EM; tested species: mouse
Structural Plasticity of Synaptopodin in the Axon Initial Segment during Visual Cortex Development.
Schlüter A, Del Turco D, Deller T, Gutzmann A, Schultz C, Engelhardt M
Cerebral cortex (New York, N.Y. : 1991) (2017) 279: 4662-4675. 163 002 IHC
Synaptopodin is regulated by aromatase activity.
Fester L, Zhou L, Ossig C, Labitzke J, Bläute C, Bader M, Vollmer G, Jarry H, Rune GM
Journal of neurochemistry (2017) 1401: 126-139. 163 002 WB, ICC, IHC
Interrogating the aged striatum: robust survival of grafted dopamine neurons in aging rats produces inferior behavioral recovery and evidence of impaired integration.
Collier TJ, O'Malley J, Rademacher DJ, Stancati JA, Sisson KA, Sortwell CE, Paumier KL, Gebremedhin KG, Steece-Collier K
Neurobiology of disease (2015) 77: 191-203. 163 002 IHC
NKG2D ligand overexpression in lupus nephritis correlates with increased NK cell activity and differentiation in kidneys but not in the periphery.
Spada R, Rojas JM, Pérez-Yagüe S, Mulens V, Cannata-Ortiz P, Bragado R, Barber DF
Journal of leukocyte biology (2015) 973: 583-98. 163 002 IHC
Distinct synaptic and neurochemical changes to the granule cell-CA3 projection in Bassoon mutant mice.
Dieni S, Nestel S, Sibbe M, Frotscher M, Hellwig S
Frontiers in synaptic neuroscience (2015) 7: 18. 163 002 IHC; tested species: mouse
Glomerular endothelial cell injury and damage precedes that of podocytes in adriamycin-induced nephropathy.
Sun YB, Qu X, Zhang X, Caruana G, Bertram JF, Li J
PloS one (2013) 81: e55027. 163 002 IHC
Chronic corticosterone exposure alters postsynaptic protein levels of PSD-95, NR1, and synaptopodin in the mouse brain.
Cohen JW, Louneva N, Han LY, Hodes GE, Wilson RS, Bennett DA, Lucki I, Arnold SE
Synapse (New York, N.Y.) (2011) 658: 763-70. 163 002 WB, IHC
Podocytes require the engagement of cell surface heparan sulfate proteoglycans for adhesion to extracellular matrices.
Chen S, Wassenhove-McCarthy D, Yamaguchi Y, Holzman L, van Kuppevelt TH, Orr AW, Funk S, Woods A, McCarthy K
Kidney international (2010) 7811: 1088-99. 163 002 IHC
Effect of the monocyte chemoattractant protein-1/CC chemokine receptor 2 system on nephrin expression in streptozotocin-treated mice and human cultured podocytes.
Tarabra E, Giunti S, Barutta F, Salvidio G, Burt D, Deferrari G, Gambino R, Vergola D, Pinach S, Perin PC, Camussi G, et al.
Diabetes (2009) 589: 2109-18. 163 002 IHC
All-trans retinoic acid induces synaptic plasticity in human cortical neurons.
Lenz M, Kruse P, Eichler A, Straehle J, Beck J, Deller T, Vlachos A
eLife (2021) 10: . 163 002 IHC, EM; tested species: human,mouse
The actin-modulating protein synaptopodin mediates long-term survival of dendritic spines.
Yap K, Drakew A, Smilovic D, Rietsche M, Paul MH, Vuksic M, Del Turco D, Deller T
eLife (2020) 9: . 163 002 EM; tested species: mouse
Granule Cell Ensembles in Mouse Dentate Gyrus Rapidly Upregulate the Plasticity-Related Protein Synaptopodin after Exploration Behavior.
Paul MH, Choi M, Schlaudraff J, Deller T, Del Turco D
Cerebral cortex (New York, N.Y. : 1991) (2019) : . 163 002 IHC, EM; tested species: mouse
Background

Synaptopodin is the founding member of a class of proline-rich actin-associated proteins and has been originally identified in podocytes of renal glomeruli (1, 2). In brain it localizes to the post-synaptic density (PSD) and the spine aparatus (1). In humans, three isoforms of synaptopodin with a distinct expression profile have been identified, neuronal Synpo-short, renal Synpo-long and Synpo-T. All three isoforms interact with alpha-actinin and induce alpha-actinin-induced actin filaments (3).
Synaptopodin deficient mice lack the dendritic spine apparatus and exhibit impaired activity-dependent long-term synaptic plasticity (4).