Tailor-made Antibodies
and Tools for Life Science
Home | | | | | Technical Support

Homer1b/c antibody - 160 018

Homer1, 2 and 3 are post synaptic density (PSD) proteins involved in the targeting of glutamate receptors
Rabbit monoclonal recombinant IgG
Cat. No.: 160 018
Amount: 50 µg
Price: $420.00
Cat. No. 160 018 50 µg purified recombinant IgG, lyophilized. Albumin and azide were added for stabilization. For reconstitution add 50 µl H2O to get a 1mg/ml solution in PBS. Then aliquot and store at -20°C to -80°C until use.
Antibodies should be stored at +4°C when still lyophilized. Do not freeze!
Applications
 
WB: 1 : 1000 (AP staining) gallery  
IP: yes
ICC: 1 : 500 gallery  
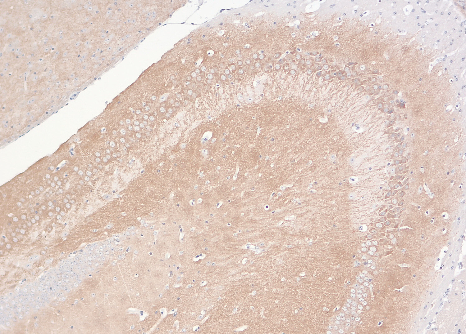
IHC: 1 : 500 gallery  
IHC-P: 1 : 1000 gallery  

Western blot (WB); separation of proteins by PAGE and subsequent transfer to a membrane. Detection of target molecules is carried out with antibodies. Some antibodies require special sample preparation steps. For details, please refer to the “Remarks” section.

Immunoprecipitation (IP); Immunoisolation or pulldown of a target molecule using an antibody. For details and product specific hints, please refer to the ”Remarks” section.

Immunocytochemistry (ICC) on 4% PFA fixed cells. Immunoreactivity is usually revealed by fluorescence. Some antibodies require special fixation methods. For details, please refer to the “Remarks” section.

Immunohistochemistry (IHC) on 4% PFA perfusion fixed tissue with 24h PFA post fixation. Immunoreactivity is usually revealed by fluorescence or a chromogenic substrate. Some antibodies require special fixation methods or antigen retrieval steps. For details, please refer to the ”Remarks” section.

Immunohistochemistry (IHC-P) of formalin fixed, paraffin embedded (FFPE) tissue (some antibodies require special antigen retrieval steps, please refer to the ”Remarks” section). Immunoreactivity is usually revealed by fluorescence or a chromogenic substrate.

Clone Rb72G2
Subtype IgG1 (κ light chain)
Immunogen Recombinant protein corresponding to the C-terminal half of human Homer1b. (UniProt Id: Q86YM7-1)
Reactivity Reacts with: human (Q86YM7-1), mouse (Q9Z2Y3), rat (Q9Z214).
Other species not tested yet.
Specificity Specific for homer 1b and 1c; no cross-reactivity to homer 1a.
Remarks

This antibody is a chimeric antibody based on the monoclonal mouse antibody SY-72G2. The constant regions of the heavy and light chains have been replaced with rabbit specific sequences. The antibody can therefore be used with standard anti-rabbit secondary reagents. The antibody has been expressed in mammalian cells.

Data sheet 160_018.pdf
Cat. No.: 160 018
Amount: 50 µg
Price: $420.00
Background

Homer is a scaffolding protein localized in the postsynaptic density (PSD) and is highly enriched at excitatory synapses. It acts as a molecular adaptor by binding to metabotropic glutamate receptors (mGluRs) (1), TRPC1 channels, Shank family proteins (2), and several other signaling molecules, organizing them into distinct clusters and thereby establishing specific signaling domains within the PSD. 
By cross-linking these proteins, Homer plays a crucial role in structural and functional organization of the PSD, contributing to the maturation of dendritic spines and the regulation of synaptic plasticity. Homer and Shank, in particular, form a mesh-like matrix that serves as a platform for assembly of other PSD proteins (3).
There are three main Homer isoforms—Homer1, Homer2, and Homer3—each of which is subject to alternative splicing, producing multiple splice variants such as a, b, c, and d. These variants can have distinct functional properties, and their dynamic redistribution at synapses is involved in remodeling the PSD in response to neuronal activity (4).
Emerging evidence suggests broader roles for Homer1b/c beyond synaptic scaffolding, including in non-neuronal contexts, although their specific involvement in cancer remains unclear (5).