Tailor-made Antibodies
and Tools for Life Science
Home | | | | | Technical Support

Arc antibody - 156 017

Arc is a cytoskeleton-associated protein involved in neuronal plasticity
Rat monoclonal purified IgG
Cat. No.: 156 017
Amount: 100 µg
Price: $420.00
Cat. No. 156 017 100 µg purified IgG, lyophilized. Albumin and azide were added for stabilization. For reconstitution add 100 µl H2O to get a 1mg/ml solution in PBS. Then aliquot and store at -20°C to -80°C until use.
Antibodies should be stored at +4°C when still lyophilized. Do not freeze!
Applications
 
WB: 1 : 1000 (AP staining) gallery  
IP: not tested yet
ICC: 1 : 500 gallery  
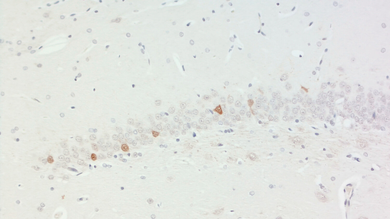
IHC: 1 : 500 gallery  
IHC-P: 1 : 200 gallery  
EM: not tested yet

Western blot (WB); separation of proteins by PAGE and subsequent transfer to a membrane. Detection of target molecules is carried out with antibodies. Some antibodies require special sample preparation steps. For details, please refer to the “Remarks” section.

Immunoprecipitation (IP); Immunoisolation or pulldown of a target molecule using an antibody. For details and product specific hints, please refer to the ”Remarks” section.

Immunocytochemistry (ICC) on 4% PFA fixed cells. Immunoreactivity is usually revealed by fluorescence. Some antibodies require special fixation methods. For details, please refer to the “Remarks” section.

Immunohistochemistry (IHC) on 4% PFA perfusion fixed tissue with 24h PFA post fixation. Immunoreactivity is usually revealed by fluorescence or a chromogenic substrate. Some antibodies require special fixation methods or antigen retrieval steps. For details, please refer to the ”Remarks” section.

Immunohistochemistry (IHC-P) of formalin fixed, paraffin embedded (FFPE) tissue (some antibodies require special antigen retrieval steps, please refer to the ”Remarks” section). Immunoreactivity is usually revealed by fluorescence or a chromogenic substrate.

Electron microscopy (EM) is a microscopy technique that detects the scatter of electrons through thin tissue sections. In Immuno-EM the antigen is usually revealed by colloidal gold conjugated secondary antibodies linking electron dense structures to antigen-bound primary antibodies.

Clone SY-150H10
Subtype IgG2a (κ light chain)
Immunogen Full length recombinant mouse Arc. (UniProt Id: Q9WV31)
Reactivity Reacts with: mouse (Q9WV31), rat (Q63053).
Other species not tested yet.
Data sheet 156_017.pdf
Cat. No.: 156 017
Amount: 100 µg
Price: $420.00
Background
Immediate-early genes (IEGs) are rapidely induced after patterned synaptic activity. Genes that are involved in this complex response code for transcription and growth factors, metabolic and signaling enzymes, small GTP binding proteins and structural proteins. Some of these proteins may play a crucial role in long term plasticity which is important for learning processes.
The activity regulated cytoskeleton associated protein Arc or Arg 3.1 is enriched in dendrites and colocalizes with F-Actin. Direct interaction of Arc with actin has also been demonstrated by biochemical studies.