Tailor-made Antibodies
and Tools for Life Science
Home | | | | | Technical Support

APP antibody - 127 002

APP is a protein involved in Alzheimer's disease
Rabbit polyclonal antiserum
Cat. No.: 127 002
Amount: 200 µl
Price: $360.00
Cat. No. 127 002 200 µl antiserum, lyophilized. For reconstitution add 200 µl H2O, then aliquot and store at -20°C until use.
Antibodies should be stored at +4°C when still lyophilized. Do not freeze!
Applications
 
WB: 1 : 500 up to 1 : 1000 (AP staining)
IP: not tested yet
ICC: 1 : 500 gallery  
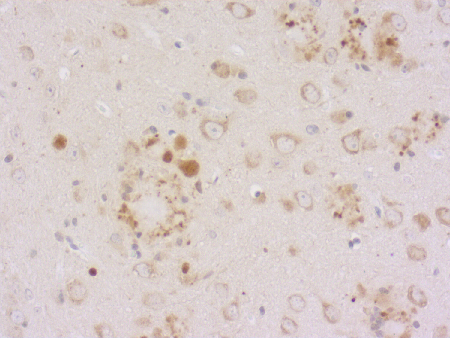
IHC: 1 : 500 up to 1 : 1000      gallery  
IHC-P: 1 : 500 up to 1 : 1000 gallery  

Western blot (WB); separation of proteins by PAGE and subsequent transfer to a membrane. Detection of target molecules is carried out with antibodies. Some antibodies require special sample preparation steps. For details, please refer to the “Remarks” section.

Immunoprecipitation (IP); Immunoisolation or pulldown of a target molecule using an antibody. For details and product specific hints, please refer to the ”Remarks” section.

Immunocytochemistry (ICC) on 4% PFA fixed cells. Immunoreactivity is usually revealed by fluorescence. Some antibodies require special fixation methods. For details, please refer to the “Remarks” section.

Immunohistochemistry (IHC) on 4% PFA perfusion fixed tissue with 24h PFA post fixation. Immunoreactivity is usually revealed by fluorescence or a chromogenic substrate. Some antibodies require special fixation methods or antigen retrieval steps. For details, please refer to the ”Remarks” section.

Immunohistochemistry (IHC-P) of formalin fixed, paraffin embedded (FFPE) tissue (some antibodies require special antigen retrieval steps, please refer to the ”Remarks” section). Immunoreactivity is usually revealed by fluorescence or a chromogenic substrate.

Immunogen Synthetic peptide corresponding to AA 756 to 770 from rat APP (UniProt Id: P08592)
Reactivity Reacts with: rat (P08592), mouse (P12023), chicken, frog, human (P05067).
Other species not tested yet.
Specificity Specific for APP.
Matching control protein/peptide 127-0P
Data sheet 127_002.pdf

References for APP - 127 002

Mint3/X11gamma is an ADP-ribosylation factor-dependent adaptor that regulates the traffic of the Alzheimer's Precursor protein from the trans-Golgi network.
Shrivastava-Ranjan P, Faundez V, Fang G, Rees H, Lah JJ, Levey AI, Kahn RA
Molecular biology of the cell (2008) 191: 51-64. 127 002 WB; tested species: human
Recruitment of the Mint3 adaptor is necessary for export of the amyloid precursor protein (APP) from the Golgi complex.
Caster AH, Kahn RA
The Journal of biological chemistry (2013) 28840: 28567-80. 127 002 ICC
Computational method for calculating fluorescence intensities within three-dimensional structures in cells.
Caster AH, Kahn RA
Cellular logistics (2012) 24: 176-188. 127 002 ICC; tested species: human
Early intraneuronal accumulation and increased aggregation of phosphorylated Abeta in a mouse model of Alzheimer's disease.
Kumar S, Wirths O, Theil S, Gerth J, Bayer TA, Walter J
Acta neuropathologica (2013) 1255: 699-709. 127 002 IHC
Formic acid is essential for immunohistochemical detection of aggregated intraneuronal Abeta peptides in mouse models of Alzheimer's disease.
Christensen DZ, Bayer TA, Wirths O
Brain research (2009) 1301: 116-25. 127 002 IHC-P; tested species: human
Cat. No.: 127 002
Amount: 200 µl
Price: $360.00
Mint3/X11gamma is an ADP-ribosylation factor-dependent adaptor that regulates the traffic of the Alzheimer's Precursor protein from the trans-Golgi network.
Shrivastava-Ranjan P, Faundez V, Fang G, Rees H, Lah JJ, Levey AI, Kahn RA
Molecular biology of the cell (2008) 191: 51-64. 127 002 WB; tested species: human
Recruitment of the Mint3 adaptor is necessary for export of the amyloid precursor protein (APP) from the Golgi complex.
Caster AH, Kahn RA
The Journal of biological chemistry (2013) 28840: 28567-80. 127 002 ICC
Computational method for calculating fluorescence intensities within three-dimensional structures in cells.
Caster AH, Kahn RA
Cellular logistics (2012) 24: 176-188. 127 002 ICC; tested species: human
Early intraneuronal accumulation and increased aggregation of phosphorylated Abeta in a mouse model of Alzheimer's disease.
Kumar S, Wirths O, Theil S, Gerth J, Bayer TA, Walter J
Acta neuropathologica (2013) 1255: 699-709. 127 002 IHC
Formic acid is essential for immunohistochemical detection of aggregated intraneuronal Abeta peptides in mouse models of Alzheimer's disease.
Christensen DZ, Bayer TA, Wirths O
Brain research (2009) 1301: 116-25. 127 002 IHC-P; tested species: human
Background

Alzheimer's disease is characterized by the accumulation of β-amyloid peptides in plaques and vessel walls and by the intraneuronal accumulation of paired helical filaments composed of hyperphosphorylated tau.
Amyloid precursor protein APP is part of a super-family of transmembrane and secreted proteins. It appears to have a number of roles, including regulation of haemostasis and mediation of neuroprotection. APP also has metal and heparin-binding properties. Cleavage of amyloid precursor protein by β- and γ-secretases results in the generation of the Aβ (βA4)peptide, whereas α-secretase cleaves within the Aβ sequence and prevents formation from APP.
Recent findings indicate that the site of γ-secretase cleavage is critical to the development of amyloid deposits. Aβ1-42 is much more amyloidogenic than Aβ1-40. Aβ1-42 formation is favoured by mutations in the two presenilin genes (PS1 and PS2), and by the commonest amyloid precursor protein mutations.