Tailor-made Antibodies
and Tools for Life Science
Home | | | | | Technical Support

Clathrin light chain antibody - 113 004

Clathrin light chain is a small clathrin coat subunit involved in endocytosis
Guinea pig polyclonal antiserum
Cat. No.: 113 004
Amount: 100 µl
Price: $370.00
Cat. No. 113 004 100 µl antiserum, lyophilized. For reconstitution add 100 µl H2O, then aliquot and store at -20°C until use.
Antibodies should be stored at +4°C when still lyophilized. Do not freeze!
Applications
 
WB: 1 : 1000 (AP staining) gallery  
IP: yes
ICC: 1 : 500 gallery  
IHC: 1 : 500 gallery  
IHC-P: 1 : 500 gallery  

Western blot (WB); separation of proteins by PAGE and subsequent transfer to a membrane. Detection of target molecules is carried out with antibodies. Some antibodies require special sample preparation steps. For details, please refer to the “Remarks” section.

Immunoprecipitation (IP); Immunoisolation or pulldown of a target molecule using an antibody. For details and product specific hints, please refer to the ”Remarks” section.

Immunocytochemistry (ICC) on 4% PFA fixed cells. Immunoreactivity is usually revealed by fluorescence. Some antibodies require special fixation methods. For details, please refer to the “Remarks” section.

Immunohistochemistry (IHC) on 4% PFA perfusion fixed tissue with 24h PFA post fixation. Immunoreactivity is usually revealed by fluorescence or a chromogenic substrate. Some antibodies require special fixation methods or antigen retrieval steps. For details, please refer to the ”Remarks” section.

Immunohistochemistry (IHC-P) of formalin fixed, paraffin embedded (FFPE) tissue (some antibodies require special antigen retrieval steps, please refer to the ”Remarks” section). Immunoreactivity is usually revealed by fluorescence or a chromogenic substrate.

Immunogen Synthetic peptide corresponding to AA 156 to 173 from rat Clathrin light chainB (UniProt Id: P08082)
Reactivity Reacts with: rat, mouse.
Other species not tested yet.
Specificity Specific for both neuronal light chains, does not cross-react with the non-neuronal variants.
Matching control protein/peptide 113-0P
Data sheet 113_004.pdf

References for Clathrin light chain - 113 004

The actin-spectrin submembrane scaffold restricts endocytosis along proximal axons.
Wernert F, Moparthi SB, Pelletier F, Lainé J, Simons E, Moulay G, Rueda F, Jullien N, Benkhelifa-Ziyyat S, Papandréou MJ, Leterrier C, et al.
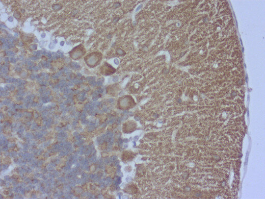
Science (New York, N.Y.) (2024) 3856711: eado2032. 113 004 IHC; tested species: rat
Cat. No.: 113 004
Amount: 100 µl
Price: $370.00
The actin-spectrin submembrane scaffold restricts endocytosis along proximal axons.
Wernert F, Moparthi SB, Pelletier F, Lainé J, Simons E, Moulay G, Rueda F, Jullien N, Benkhelifa-Ziyyat S, Papandréou MJ, Leterrier C, et al.
Science (New York, N.Y.) (2024) 3856711: eado2032. 113 004 IHC; tested species: rat
Background
Clathrin consists of heavy chains and light chains that co-assemble to triskelions. The light chains are differentially spliced, with neurons expressing a special variant that is not detectable elsewhere. The neuron-specific light chains are enriched in synaptic nerve terminals where they participate in synaptic vesicle endocytosis.