Tailor-made Antibodies
and Tools for Life Science
Home | | | | | Technical Support

Synaptotagmin1 (p65) antibody cytoplasmic tail - 105 011BT K.O.

Synaptotagmin1 is a Ca2+-sensor on synaptic vesicles that triggers neurotransmitter release
Mouse monoclonal purified IgG
Cat. No.: 105 011BT
Amount: 100 µg
Price: $475.00
Cat. No. 105 011BT 100 µg purified IgG, lyophilized, labeled with Biotin.

Biotin is a small vitamin B complex molecule. Its small size minimizes interference with antibody binding sites and allows for efficient conjugation without compromising antibody functionality.
Biotin conjugated antibodies can be easily detected with Avidin/Streptavidin based secondary detection systems.
The streptavidin-biotin bond is one of the strongest non-covalent biological bonds known.

For reconstitution add 100 µl H2O to get a 1mg/ml solution in PBS. Then aliquot and store at -20°C to -80°C until use.
Antibodies should be stored at +4°C when still lyophilized. Do not freeze!
Applications
 
WB: 1 : 1000 (AP staining) gallery  
IP: yes
ICC: 1 : 100 up to 1 : 1000 gallery  
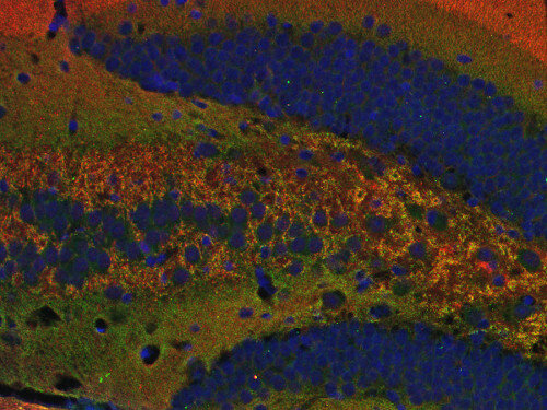
IHC: 1 : 500      gallery  
IHC-P: 1 : 500 gallery  

Western blot (WB); separation of proteins by PAGE and subsequent transfer to a membrane. Detection of target molecules is carried out with antibodies. Some antibodies require special sample preparation steps. For details, please refer to the “Remarks” section.

Immunoprecipitation (IP); Immunoisolation or pulldown of a target molecule using an antibody. For details and product specific hints, please refer to the ”Remarks” section.

Immunocytochemistry (ICC) on 4% PFA fixed cells. Immunoreactivity is usually revealed by fluorescence. Some antibodies require special fixation methods. For details, please refer to the “Remarks” section.

Immunohistochemistry (IHC) on 4% PFA perfusion fixed tissue with 24h PFA post fixation. Immunoreactivity is usually revealed by fluorescence or a chromogenic substrate. Some antibodies require special fixation methods or antigen retrieval steps. For details, please refer to the ”Remarks” section.

Immunohistochemistry (IHC-P) of formalin fixed, paraffin embedded (FFPE) tissue (some antibodies require special antigen retrieval steps, please refer to the ”Remarks” section). Immunoreactivity is usually revealed by fluorescence or a chromogenic substrate.

Label biotin
Clone 41.1
Subtype IgG2a (κ light chain)
Immunogen Recombinant protein corresponding to AA 80 to 421 from rat Synaptotagmin1 (UniProt Id: P21707)
Epitop AA 150 to 240 from rat Synaptotagmin1 (UniProt Id: P21707)
Reactivity Reacts with: human (P21579), rat (P21707), mouse (P46096), mammals, zebrafish.
Other species not tested yet.
Specificity K.O. validated
Remarks

Since synaptotagmin 1 is unevenly expressed in neuronal subpopulations and may, in fact, be missing from some, it is less well suited as a general marker for synapses.
WB: To avoid protein aggregation, do not heat samples for SDS-PAGE.

Data sheet 105_011bt.pdf

References for Synaptotagmin1 - 105 011BT

A minimalist model to measure interactions between proteins and synaptic vesicles.
Perego E, Reshetniak S, Lorenz C, Hoffmann C, Milovanović D, Rizzoli SO, Köster S
Scientific reports (2020) 101: 21086. 105 011BT IP
Synaptic vesicle traffic is supported by transient actin filaments and regulated by PKA and NO.
Chenouard N, Xuan F, Tsien RW
Nature communications (2020) 111: 5318. 105 011BT UPTAKE; tested species: rat
Cat. No.: 105 011BT
Amount: 100 µg
Price: $475.00
A minimalist model to measure interactions between proteins and synaptic vesicles.
Perego E, Reshetniak S, Lorenz C, Hoffmann C, Milovanović D, Rizzoli SO, Köster S
Scientific reports (2020) 101: 21086. 105 011BT IP
Synaptic vesicle traffic is supported by transient actin filaments and regulated by PKA and NO.
Chenouard N, Xuan F, Tsien RW
Nature communications (2020) 111: 5318. 105 011BT UPTAKE; tested species: rat
Background

Synaptotagmin1, also known as p65, is an integral membrane glycoprotein of neuronal synaptic vesicles and secretory granules of neuroendocrine cells that is widely (but not ubiquitously) expressed in the central and peripheral nervous system. It has a variable N-terminal domain that is exposed to the lumen of the vesicle and a conserved cytoplasmic tail that contains two Ca2+-binding C2-domains.
Ca2+-binding to synaptotagmin triggers exocytosis of synaptic vesicles, thus linking Ca2+-influx during depolarization to neurotransmitter release.
Lumenal antibodies were used in living neurons to label synaptic vesicles from the outside via endocytotic uptake.